А вы можете придумать заставку к теме "сочетанная патология"? Вот и у меня не получилось. Поэтому такая картинка. :-)
Сочетанная патология — это расширенная группа состояний, включающая патологические изменения любого ранга в различных системах и органах, возникающие как при одном заболевании, так и при нескольких взаимосвязанных или совершенно независимых заболеваниях.
Также для обозначения сочетанной патологии часто используют термин «коморбидность» — наличие у пациента одновременно двух и более болезней, связанных между собой единым патогенетическим механизмом или совпадающих по времени.
ВИДЫ КОМОРБИДНОСТИ:
Причинная — вызвана параллельным поражением различных органов и систем, обусловленным единым патологическим агентом.
Осложнённая — является результатом основного заболевания и обычно проявляется в виде поражения органов-мишеней.
Ятрогенная — проявляется при вынужденном негативном воздействии врача на пациента, при условии заранее установленной опасности медицинской процедуры.
«Случайная» — при которой сочетание заболеваний не имеет доказанной связи
Вашему вниманию предлагается случай ультразвуковой диагностики сочетанной патологии. Пациентка А., 55 лет обратилась в отделение ультразвуковой диагностики с целью динамического контроля состояния органов брюшной полости. На момент осмотра жалоб не предъявляет. В анамнезе: эхинококкоз печени, длительное течение цирроза печени, портальная гипертензия. Ранее в клинике наблюдалась эпизодически в течение не менее 10 лет.
Результаты исследования:
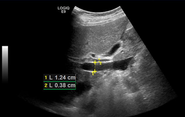
При ультразвуковом исследовании: печень увеличена, правая доля КВР: 170 мм
левая доля ВР, толщина: 70 мм. Контуры четкие, умеренно неровные, структура умеренно неоднородная. Воротная вена 16 мм – расширена. При исследовании, выполненном этой пациентке в 2016 году ширина воротной вены была 12 мм – по верхней границе нормы.
Следующей находкой была киста на границе правой и левой долей. У пациентки в дальнем анамнезе эхинококковое поражение печени с успешным консервативным лечением.
Видео 4. Эхинококковая киста печени
Ультразвуковые характеристики данной кисты указывают, что паразит мертвый. Если обратиться к ультразвуковой классификации эхинококковых кист, то мы увидим следующее:
Классификация эхинококковых кист (по Leval and Mc Local)
Тип 1А — однокамерная киста, имитирующая простую солитарную кисту печени;
Тип 1Б — однокамерная киста, имеющая внутреннее содержимое по типу линейных эхосигналов, напоминающих внутренние перегородки)
Тип 2 — крупная однокамерная киста с множественными внутренними перегородками, образующими дочерние кисты и/или подобие солидной ткани в виде эхогенной структуры или эхогенной взвеси в полости кисты;
Тип 3 —объемное образование с полностью или частично кальцифицированной капсулой и (или) отслойкой внутренней оболочки (мертвый паразит).
В данной кисте мы явно видим кальцинаты, а видимая перегородка внутри, наиболее вероятно, фрагмент отслоившейся оболочки.
Следующее, что было выявлено у пациентки при ультразвуковом исследовании, это реканализация круглой связки печени, что безусловно подтверждает наличие портальной гипертензии.
Для примера, привожу изображение нормальной круглой связки у здорового пациента.
Видео 7. Нормальная круглая связка продольное и поперечное изображение
У пациентки определяется реканализация круглой связки и виден активный кровоток в режиме цветной допплерографии.
Видео 9. Круглая связка с реканализацией и видимым кровотоком. Продольное и поперечное изображение
В норме, остатки облитерированной умбиликальной вены иногда могут быть визуализированы при ультразвуковом исследовании передней брюшной стенки, по средней линии тела в толще слоя предбрюшинного жира.
Видео 12. Визуализация облитерированной умбиликальной вены
В ряде случаев круглая связка и умбиликальная вена могут сохранять сходство с сосудом (напоминают трубчатую структуру) и симулирует реканализацию, но при исследовании в режиме ЦДК кровоток отсутствует.
Видео 14. Визуализация облитерированной умбиликальной вены. Изображение симулирует реканализацию
У обследованной пациентки определяется реканализация умбиликальной вены и виден активный кровоток в режиме цветной допплерографии. Датчик движется по средней линии тела сверху вниз, отслеживаем кровоток в пупочной вене до уровня пупка и далее по параумбиликальной вене до наружной подвздошной вены. Данное изображение и видео демонстрируют исследование, выполненное пациентке в 2016 году.
Видео 16. Реканализация умбиликальной вены, продольное изображение, от круглой связки печени до наружной подвздошной вены.
В 2025 году При контрольном исследовании реканализация умбиликальной вены также хорошо прослеживается, особенно при сканировании брюшной стенки линейным датчиком.
Видео 18. Реканализация умбиликальной вены, поперечное изображение. Сканирование конвексным и линейным датчиком.
Подтверждение реканализации умбиликальной вены было выполнено при цветной допплерографии
Видео 20. Реканализация умбиликальной вены, поперечное изображение, ЦДК
У пациентов с портальной гипертензией и реканализацией пупочной вены иногда можно наблюдать расширенные вены брюшной стенки, расходящиеся от области пупка.
У обследуемой пациентки А. расширенные вены брюшной стенки были обнаружены на ограниченном протяжении, но дополнительно выявилось грыжевое образование в пупочной области. Как правило, пупочная грыжа содержит предбрюшинный жир или фрагмент сальника, реже может быть вовлечена кишка
Первый рисунок - вовлечение в грыжевое содержимое предбрюшинного жира ("предбрюшинная липома"), второй рисунок - вовлечение пряди большого сальника.
У пациентки определяется пупочная грыжа, которой не было при исследовании в 2016 году.
Поскольку в первую очередь в грыжевое содержимое вовлекается предбрюшинная жировая клетчатка, расширенная, реканализованная умбиликальная вена оказалась вовлечена в грыжевой мешок, где вместе с параумбиликальными венами образовала «клубок» извитых расширенных сосудов, что очень показательно доказывается при цветной допплерографии.
Видео 25. Пупочная грыжа с расширенными сосудами. Продольное и поперечное сканирование
Дополнительным показателем, указывающим на наличие портальной гипертензии у данной пациентки была спленомегалия и расширение селезеночной вены. Эти показатели неизменны в сравнении с УЗИ от 2016 г.
Таким образом, имеет место сочетанная патология:
1. Диффузные изменения печени, спленомегалия и портальная гипертензия, связанные между собой единым патогенезом - Причинная коморбидность.
2. Наличие паразитарной кисты, наличие пупочной грыжи - случайная коморбидность
3. Сосудистое содержимое пупочной грыжи - осложненная коморбидность
Дополнительно: С учетом динамики процесса, можно сделать вывод о прогрессировании портальной гипертензии (нарастание расширения воротной вены)
Благодарю за внимание!
