Добавить в корзинуПозвонить
Найти в Дзене

А вам точно правильно сделали пломбу?

Сегодня я расскажу вам, как проверить своего стоматолога. Насколько же качественно вам пролечили зуб? Это очень сложно — и почти невозможно — понять самостоятельно.
Но сегодня я поделюсь с вами несколькими признаками, которые помогут определить, что ваш стоматолог действительно молодец 👇 Посмотрите: это — пломба.
Вот так она выглядеть не должна ❌ А вот ещё одна — тоже пломба.
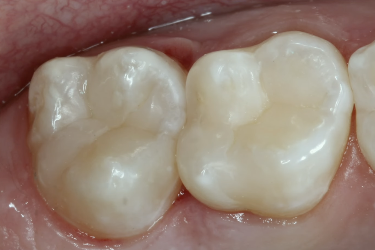
Где она? На каком зубе? Видите? 👀 Это пример качественно завершённой пломбы или даже художественной реставрации зуба.
Анатомия зуба сохранена — значит, не нарушена окклюзия и функция. 🔹 Лечение проводится с кофердамом — специальной изоляцией зуба.
🔹 Зуб после лечения выглядит как натуральный: имеет бугры и углубления.
🔹 При использовании зубной нити она остаётся целой, нигде не цепляется.
🔹 Через несколько дней после лечения десна розовая, без воспаления.
🔹 В процессе лечения допустимо небольшое травмирование десны — это нормально. Современное лечение невозможно без увеличения — бинокуляра или микрос
Оглавление

Сегодня я расскажу вам, как проверить своего стоматолога.

Насколько же качественно вам пролечили зуб?

Это очень сложно — и почти невозможно — понять самостоятельно.

Но сегодня я поделюсь с вами несколькими признаками, которые помогут определить, что ваш стоматолог действительно молодец 👇

📌 Пример некачественной пломбы

Посмотрите: это — пломба.

Вот так она выглядеть не должна ❌

А вот ещё одна — тоже пломба.
Где она? На каком зубе? Видите? 👀

-2

Это пример качественно завершённой пломбы или даже художественной реставрации зуба.

Анатомия зуба сохранена — значит, не нарушена окклюзия и функция.

✅ Признаки качественной пломбы

🔹 Лечение проводится с кофердамом — специальной изоляцией зуба.

🔹 Зуб после лечения выглядит как натуральный: имеет бугры и углубления.

🔹 При использовании зубной нити она остаётся целой, нигде не цепляется.

🔹 Через несколько дней после лечения десна розовая, без воспаления.

🔹 В процессе лечения допустимо небольшое травмирование десны — это нормально.

-3

🔍 Что ещё важно

Современное лечение невозможно без увеличения — бинокуляра или микроскопа, а также фотопротокола на всех этапах.

Это позволяет:

  • Увидеть, что кариозные поражения удалены полностью.
  • Оценить, насколько красивая пломба получилась в результате.

🧠 Диагностика — не только осмотр

Недостаточно просто заглянуть в рот пациенту.

Кариозные полости могут быть скрытыми, а воспаление костной ткани — никак не беспокоить до определённого момента.

Поэтому для точной диагностики и составления плана лечения необходимо:

  • Осмотр врача
  • Анализ рентгенологических исследований
  • В большинстве случаев — компьютерная томография (КТ)

💬 Почему пациенты выбирают нас

В нашей клинике мы внимательно относимся к каждому этапу лечения.

Если вы хотите пролечить зуб один раз и надолго, записывайтесь к нам на приём!

📲 Хотите больше полезного?

Если вам интересна стоматология для детей и взрослых, переходите в наш телеграм-канал!

Там много полезных текстов и видео на самые разные темы!