Найти в Дзене

Киста пяточной кости⁠⁠

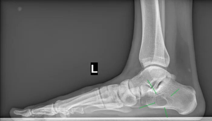
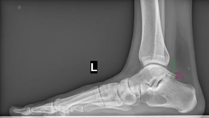
Кейс призывника обратившегося за консультацией по категории годности к военной службе. На Р-грамме левой стопы с нагрузкой: в структуре пяточной кости отмечается зона просветления костной ткани размером 29х27х17мм (точные размеры по данным КТ, которая была пройдена призывником),неправильной овоидной формы, с склеротическим контуром, соответствует кисте левой пяточной кости. По заднему контуру таранной кости визуализируется добавочная кость- os trigonum размером 1.1х1.5см,наиболее вероятно вызывающая импиджмент-синдром заднего отдела голеностопного сустава. Угол продольного свода левой стопы 160 град., высота 19 мм, соответствует продольному плоскостопию 3 ст. левой стопы. 1)Добавочная кость- os trigonum не дает право освобождения от срочной службы, соответствует категории годности Б3. 2)Плоскостопие 3ст.-68в-В(ограниченно годен к в/сл.) 3)Киста левой пяточной кости: с учетом ее крупного размера, имеется риск возникновения патологического перелома пяточной кости, риск патологического пе

Кейс призывника обратившегося за консультацией по категории годности к военной службе.

На Р-грамме левой стопы с нагрузкой: в структуре пяточной кости отмечается зона просветления костной ткани размером 29х27х17мм (точные размеры по данным КТ, которая была пройдена призывником),неправильной овоидной формы, с склеротическим контуром, соответствует кисте левой пяточной кости.

-2

По заднему контуру таранной кости визуализируется добавочная кость- os trigonum размером 1.1х1.5см,наиболее вероятно вызывающая импиджмент-синдром заднего отдела голеностопного сустава.

-3

Угол продольного свода левой стопы 160 град., высота 19 мм, соответствует продольному плоскостопию 3 ст. левой стопы.

1)Добавочная кость- os trigonum не дает право освобождения от срочной службы, соответствует категории годности Б3.

2)Плоскостопие 3ст.-68в-В(ограниченно годен к в/сл.)

3)Киста левой пяточной кости: с учетом ее крупного размера, имеется риск возникновения патологического перелома пяточной кости, риск патологического перелома возникает когда размер кисты составляет примерно 50% или более диаметра кости, как в данном случае. Категория годности по ст.10а-Д(не годен к военной службе),однако зачастую при данном диагнозе ставится ст.10б-В(ограниченно годен к в/сл),это делается для того чтобы не "портить" военный билет категорией Д.

-4

https://t.me/MME_SurgeryRadiolodgy