Найти в Дзене
Ray shades of gray

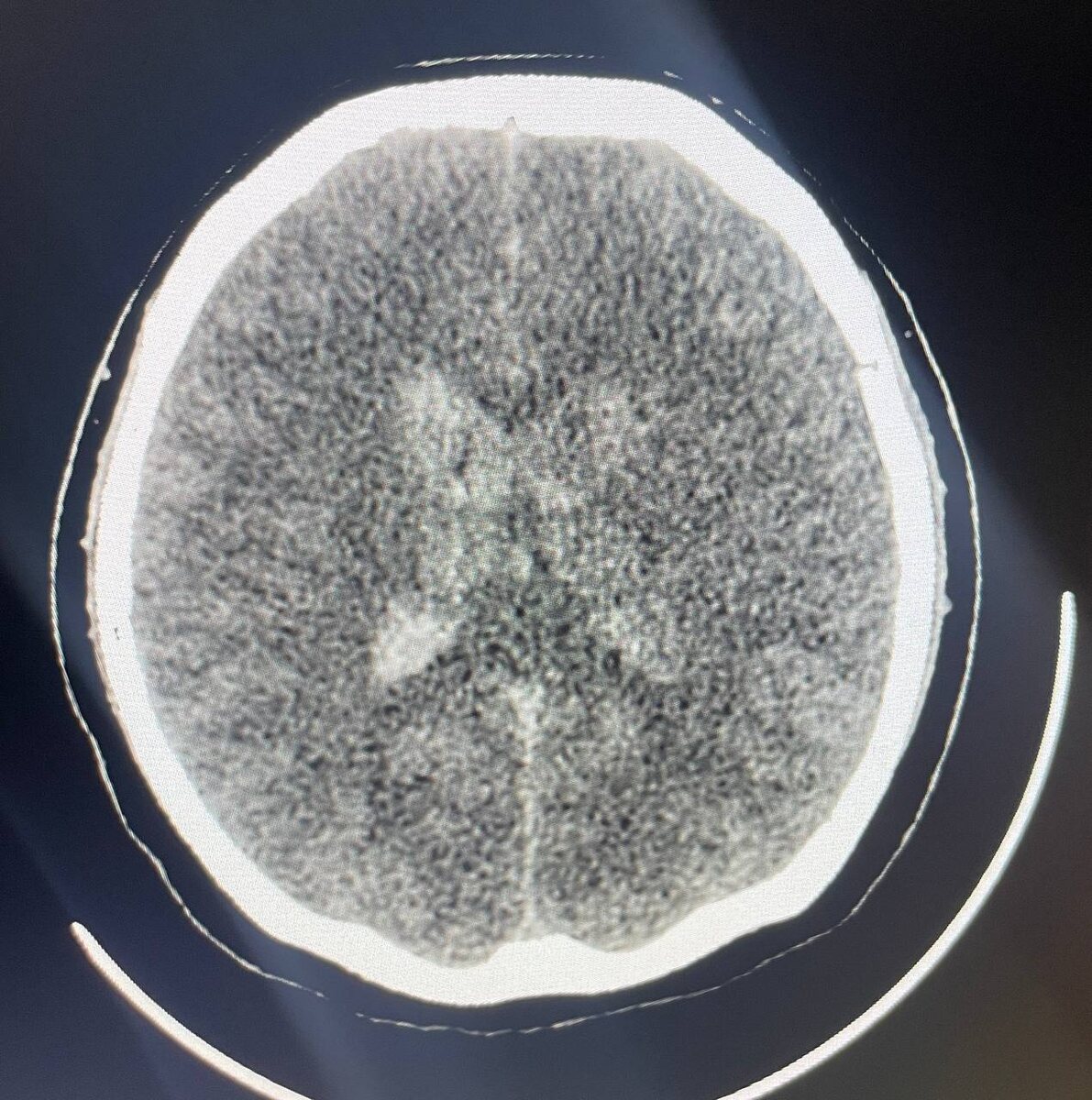
Если симптомом белого мозжечка нас не удивить, то подобное гиперденсное «свечение» базальных ядер и таламусов на фоне диффузного отёка

Если симптомом белого мозжечка нас не удивить, то подобное гиперденсное «свечение» базальных ядер и таламусов на фоне диффузного отёка головного мозга мне лично не встречалось, и в литературе ничего похожего не нашла. Объяснение этому явлению может быть тем же, что и при белом мозжечке: на фоне выраженного гипоксически-ишемического поражения головного мозга белое вещество выглядит очень темным, и на контрасте paradoxal dense sign ( самые уязвимые структуры- особенно бледные шары, таламусы и мозжечок) выглядят белыми. Иногда так выглядит и псевдосубарахноидальный знак - это как оптическая иллюзия. Попадались ли кому - нибудь подобные случаи? Интересную статью с поражениями базальных ядер и таламусов вследствие другого рода патологических изменений добавлю в комментарии. #белыебазыльныеядракт #белыеталамусыкт

Если симптомом белого мозжечка нас не удивить, то подобное гиперденсное «свечение» базальных ядер и таламусов на фоне диффузного отёка головного мозга мне лично не встречалось, и в литературе ничего похожего не нашла.

Объяснение этому явлению может быть тем же, что и при белом мозжечке: на фоне выраженного гипоксически-ишемического поражения головного мозга белое вещество выглядит очень темным, и на контрасте paradoxal dense sign ( самые уязвимые структуры- особенно бледные шары, таламусы и мозжечок) выглядят белыми. Иногда так выглядит и псевдосубарахноидальный знак - это как оптическая иллюзия.

Попадались ли кому - нибудь подобные случаи?

Интересную статью с поражениями базальных ядер и таламусов вследствие другого рода патологических изменений добавлю в комментарии.

#белыебазыльныеядракт #белыеталамусыкт

-2
-3