Найти в Дзене
Прецедент ТВ

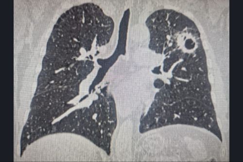
Врачи удалили новосибирцу три раковых опухоли

У мужчины обнаружили рак легких и щитовидной железы.
В Новосибирске онкологи удалили три опухоли у одного пациента. Об этом сообщили в пресс-службе регионального Минздрава 7 ноября. Изначально мужчине диагностировали центральный рак правого лёгкого. Онкологи удалили часть органа, сшив здоровые части между собой. После операции, через непродолжительное время, врачи выявили опухоли в левом легком и в щитовидной железе. В итоге щитовидку сибиряку удалили, после чего он прошел радиойодтерапию. - После последней операции в течение года у пациента была ремиссия. Но, к сожалению, рак начал помаленьку прогрессировать. Сейчас пациент находится на химиотерапии, лечится. Тем не менее, если бы мы сразу выполнили ему удаление всего легкого, то на этом бы его лечение закончилось, – подчеркивает Вадим Козлов. Ранее мы писали о том, что названы районы Новосибирска с наибольшим числом подростков-наркоманов. Читайте также: хирурги вырезали из груди пациента 4-килограмовую опухоль.
   Фото: Минздрав НСО
Фото: Минздрав НСО

У мужчины обнаружили рак легких и щитовидной железы.
В Новосибирске онкологи удалили три опухоли у одного пациента. Об этом сообщили в пресс-службе регионального Минздрава 7 ноября.

Изначально мужчине диагностировали центральный рак правого лёгкого. Онкологи удалили часть органа, сшив здоровые части между собой. После операции, через непродолжительное время, врачи выявили опухоли в левом легком и в щитовидной железе.

В итоге щитовидку сибиряку удалили, после чего он прошел радиойодтерапию.

- После последней операции в течение года у пациента была ремиссия. Но, к сожалению, рак начал помаленьку прогрессировать. Сейчас пациент находится на химиотерапии, лечится. Тем не менее, если бы мы сразу выполнили ему удаление всего легкого, то на этом бы его лечение закончилось, – подчеркивает Вадим Козлов.

Ранее мы писали о том, что названы районы Новосибирска с наибольшим числом подростков-наркоманов. Читайте также: хирурги вырезали из груди пациента 4-килограмовую опухоль.