Добавить в корзинуПозвонить
Найти в Дзене
DEXIS Russia

Клинический случай: как 3D-визуализация помогла определить источник боли и выстроить план лечения

Доктор Роберт Бенавидес - стоматолог общей практики из Сан-Антонио, владелец многопрофильной клиники Stone Oak Modern Dentistry and Orthodontics. Специализируется на протезировании и цифровых протоколах имплантации, участвует в волонтерских программах, где оказывает помощь пациентам с ограниченным доступом к стоматологическому лечению. В клинику обратился 36-летний мужчина с жалобами на сильную боль в области нижнего квадранта справа и периодические неприятные ощущения слева. «Пациент был расстроен и настроен скептически: до этого он уже получил консультации в двух других стоматологических центрах. Однако, ни один из врачей, к которым он обращался ранее, не смог предложить ему эффективный, на его взгляд, вариант лечения». Специалисты клиники Роберта Бенавидеса продемонстрировали пациенту комплексный подход к клиническому случаю и сделали КЛКТ-снимок на аппарате DEXIS OP 3D Pro для составления корректного плана лечения. В режиме реального времени был проведен консилиум, который позволил
Оглавление

Доктор Роберт Бенавидес - стоматолог общей практики из Сан-Антонио, владелец многопрофильной клиники Stone Oak Modern Dentistry and Orthodontics. Специализируется на протезировании и цифровых протоколах имплантации, участвует в волонтерских программах, где оказывает помощь пациентам с ограниченным доступом к стоматологическому лечению.

Роберт Бенавидес
Роберт Бенавидес

Клинический случай

В клинику обратился 36-летний мужчина с жалобами на сильную боль в области нижнего квадранта справа и периодические неприятные ощущения слева.

«Пациент был расстроен и настроен скептически: до этого он уже получил консультации в двух других стоматологических центрах. Однако, ни один из врачей, к которым он обращался ранее, не смог предложить ему эффективный, на его взгляд, вариант лечения».

Специалисты клиники Роберта Бенавидеса продемонстрировали пациенту комплексный подход к клиническому случаю и сделали КЛКТ-снимок на аппарате DEXIS OP 3D Pro для составления корректного плана лечения. В режиме реального времени был проведен консилиум, который позволил ликвидировать пробелы в диагностике и впоследствии предложить комплексное лечение.

Комплексная диагностика для повышения согласия пациента на лечение

Панорамный снимок и ТРГ, полученные на томографе DEXIS OP 3D Pro позволили специалистам, включая хирурга, пародонтолога и стоматолога общей практики, составить полноценный план лечения пациента.

Мы ставили перед собой задачу не просто устранить болевые ощущения, на которые жаловался пациент, но также воплотить в жизнь его мечту о красивой улыбке с ровными зубами.

Благодаря технологиям получения и построения 3D-изображений хирург-стоматолог смог точно определить расположение ретенированных третьих моляров нижней челюсти вблизи нижнечелюстного нерва, а также четко оценить местоположение сверхкомплектных зубов вблизи структур ментального нерва.

Мы привлекли врача-ортодонта для оценки и регистрации признаков аномалии прикуса, чтобы подготовиться к планированию лечения для достижения конечной цели пациента – иметь более ровные зубы, а стоматолог общей практики совместно с пародонтологом разработали комплексный план лечения.

Благодаря наличию в клинике томографа DEXIS возможно не только правильно диагностировать пациента, но и наглядно продемонстрировать состояние его зубочелюстной системы непосредственно на приеме.

Этапы комплексного лечения

Ниже доктор Бенавидес подробно описывает клинический случай:

Изначально пациент обратился с жалобами на сильную боль в правом нижнем квадранте и периодическую боль в левом нижнем квадранте. Мы провели первичные обследования: 2D-панорамный снимок и КЛКТ- исследование на томографе DEXIS OP 3D Pro (область сканирования FOV 8 x ø 15 см) при стандартном разрешении (90 кВп, 8 мА, время экспозиции 4,5 секунды). Мы обнаружили прорезавшийся сверхкомплектный зуб в нижнем квадранте слева.

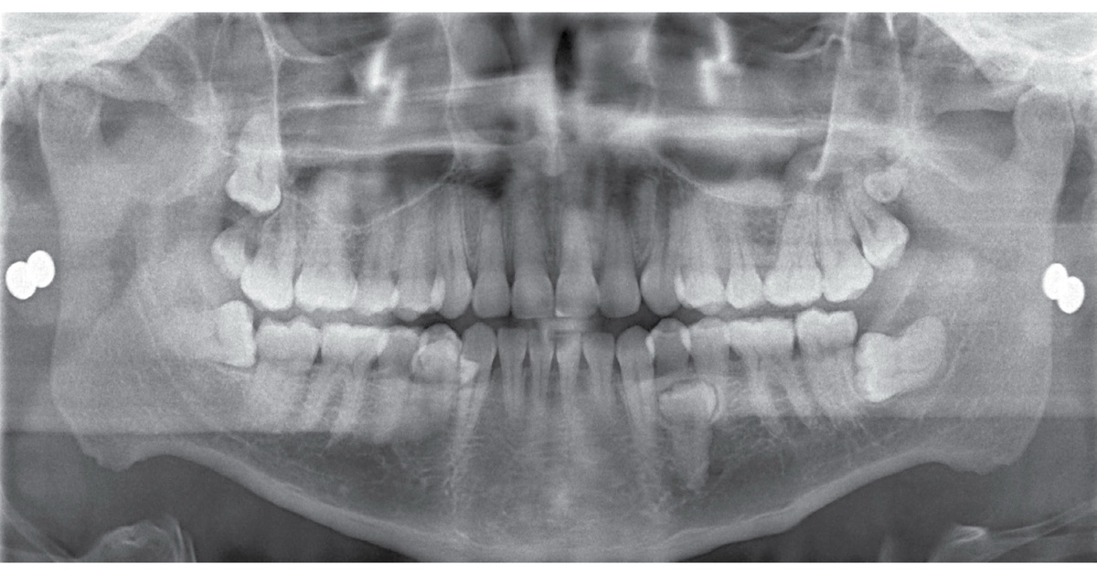
Цифровая ортопантомограмма на аппарате DEXIS OP 3D Pro позволила получить визуализацию всех четырех сверхкомплектных зубов.

Панорамный снимок (OP 3D Pro) демонстрирует целый ряд сверхкомплектных и ретенированных зубов.
Панорамный снимок (OP 3D Pro) демонстрирует целый ряд сверхкомплектных и ретенированных зубов.
Экстраполированная панорамная визуализация с помощью OP 3D Pro.
Экстраполированная панорамная визуализация с помощью OP 3D Pro.
Сверхкомплектный зуб (обведен желтым на аксиальном срезе): поперечные сечения через каждые 0,5 мм.
Сверхкомплектный зуб (обведен желтым на аксиальном срезе): поперечные сечения через каждые 0,5 мм.
Сверхкомплектный зуб 3.5с (обведен желтым на аксиальном срезе): поперечные сечения через каждый 1,0 мм.
Сверхкомплектный зуб 3.5с (обведен желтым на аксиальном срезе): поперечные сечения через каждый 1,0 мм.
Сверхкомплектный зуб 3.5с: признаки резорбции в области соседних зубов 3.5 и 3.4 отсутствуют
Сверхкомплектный зуб 3.5с: признаки резорбции в области соседних зубов 3.5 и 3.4 отсутствуют
Сверхкомплектный зуб 4.4с (обведен желтым на аксиальном срезе): поперечные
сечения через каждые 0,5 мм.
Сверхкомплектный зуб 4.4с (обведен желтым на аксиальном срезе): поперечные сечения через каждые 0,5 мм.

КЛКТ-исследование также позволило получить высокоточную визуализацию третьих моляров. Зуб 3.8 был частично ретенирован и находится в контакте с нижнечелюстным нервом, а зуб 4.8 частично ретенирован и находится вблизи нижнечелюстного нерва.

Поперечный срез зуба 3.8 и 3D-визуализация левой стороны пациента (до средней
линии).
Поперечный срез зуба 3.8 и 3D-визуализация левой стороны пациента (до средней линии).
Поперечный срез зуба 4.8 и 3D-визуализация правой стороны пациента (до средней линии).
Поперечный срез зуба 4.8 и 3D-визуализация правой стороны пациента (до средней линии).

Предположительно, периодические болевые ощущения в нижнем квадранте справа могут быть связаны с третьим нижним моляром, расположенным рядом с нервом, с полностью прорезавшимся сверхкомплектным зубом 4.4с или с иррадиацией боли от тройничного нерва из-за проблемы с верхней челюстью (где обнаружен еще один сверхкомплектный зуб).

После 3D-диагностики и клинического осмотра нам удалось определить, что источником боли является кариес окклюзионной поверхности зуба 4.8, и именно этот зуб имеет первичное поражение, вызывающее жалобы пациента.

Данные комплексной диагностики

Лечение начали с удаления зубов мудрости и сверхкомплектных зубов в седации. Это позволило справиться с главной жалобой пациента на болевые ощущения в связи с кариозным поражением (зуба 4.8), которое мы определили по данным КЛКТ-диагностики.

Затем было проведено нехирургическое лечение пародонта и реставрационное вмешательство, что позволило подготовить пациента к ортодонтическому лечению. Ортодонтическое и пародонтологическое лечение осуществляли с регулярным мониторингом ввиду тонкого биотипа слизистой в нижнем сегменте (в связи с вестибулярным наклоном зубов). В этих участках толщина кости в области корней была минимальной. Совместными усилиями ортодонта, сомнолога и стоматолога общей практики, удалось улучшить просвет дыхательных путей, где мы диагностировали уменьшение объема ротоглотки.

Визуализация дыхательных путей. Сужение просвета ротоглотки.
Визуализация дыхательных путей. Сужение просвета ротоглотки.

Заключение

"Технология КЛКТ от компании DEXIS позволяет всем специалистам нашей клиники взаимодействовать друг с другом, проводить консилиумы и обеспечивать наилучшее лечение нашим пациентам", - резюмирует Роберт Бенавидес

Благодаря проведению КЛКТ-исследований и комплексной диагностике данного клинического случая удалось поставить корректный диагноз и устранить причину главной жалобы пациента на боли в нижнем квадранте справа, что до этого не удалось двум другим клиникам, к которым он обращался. Пациент также рассматривал в отдаленной перспективе возможность выравнивания зубов, и томограф позволил ортодонту собрать всю необходимую информацию, после чего, совместно в пародонтологом, спланировать коррекцию состояния пародонта, принимая во внимание тонкий биотип слизистой, и предложить пациенту комплексное лечение.

____________________

Информация, представленная в данном клиническом кейсе, основана на мнении Роберта Бенавидеса, специалиста в области медицины (врача), работающего с продукцией DEXIS.
Все заявленные мнения и результаты не могут рассматриваться как официальные медицинские рекомендации, не являются медицинскими советами и не заменяют профессиональное медицинское заключение.

Производитель продукции DEXIS, равно как и компания ООО «И Эйч Руссланд», не несет ответственности за любые результаты или последствия, возникшие в результате использования данной информации.
Продукция DEXIS не предназначена для личного, семейного, домашнего использования, в том числе использования не медицинскими специалистами (врачами). Врачи должны руководствоваться собственным профессиональным мнением в случае применения продукции при диагностике и лечении пациентов.