Добавить в корзинуПозвонить
Найти в Дзене
Два Дантиста

Мы точно знаем, как сделать улыбку привлекательной

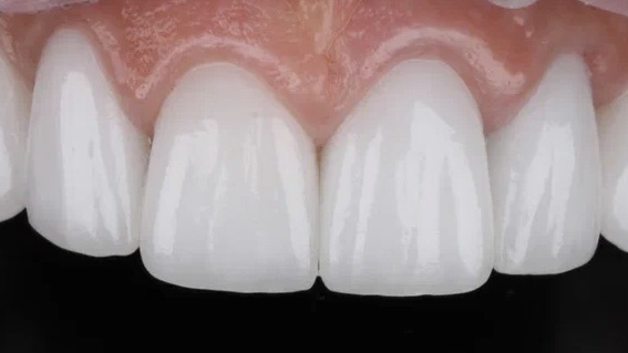
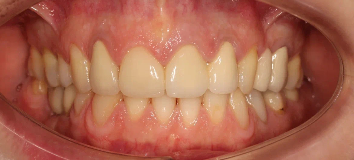
Пациент обратился в нашу клинику с жалобой на пятна и износ цвета, которые не удавалось скрыть обычной чисткой и отбеливанием. Было желание получить естественную, гармоничную улыбку, которая подчеркнула бы черты лица и повысило уверенность в себе. Этапы протезирования Лечение началось с диагностики, цифрового дизайна улыбки и пробный макета для визуализации итогового вида. Далее была выполнена минимальная подготовка зубов, сделаны точные слепки/цифровой скан для создания индивидуальных керамических виниров. На время создания конструкций пациент носил временные протезы, после — постоянные конструкции были закреплены на челюстях пациента, отшлифованы и отполированы, что создало гладкую, блестящую поверхность без видимых переходов. Результат Пациент получил красивую, естественную и гармоничную улыбку, которая идеально подчеркивает глаза и цвет лица.  Оттенок и рельеф виниров максимально соответствуют натуральной эмали, создают единый зубной ряд. Функциональность зубов имеет ровное распре

Пациент обратился в нашу клинику с жалобой на пятна и износ цвета, которые не удавалось скрыть обычной чисткой и отбеливанием. Было желание получить естественную, гармоничную улыбку, которая подчеркнула бы черты лица и повысило уверенность в себе.

-2

Этапы протезирования

Лечение началось с диагностики, цифрового дизайна улыбки и пробный макета для визуализации итогового вида.

Далее была выполнена минимальная подготовка зубов, сделаны точные слепки/цифровой скан для создания индивидуальных керамических виниров. На время создания конструкций пациент носил временные протезы, после — постоянные конструкции были закреплены на челюстях пациента, отшлифованы и отполированы, что создало гладкую, блестящую поверхность без видимых переходов.

Результат

-3

Пациент получил красивую, естественную и гармоничную улыбку, которая идеально подчеркивает глаза и цвет лица. 

Оттенок и рельеф виниров максимально соответствуют натуральной эмали, создают единый зубной ряд. Функциональность зубов имеет ровное распределение жевательной нагрузки и комфорт при прикусе.

-4

Эстетическая стоматология помогает сделать улыбку красивой, что влияет на самооценку, манеру говорить, улыбаться и общаться — люди чувствуют себя увереннее в социальных и профессиональных ситуациях.

В клинике «Два Дантиста» при лечении применяется индивидуальный подход: оттенок, прозрачность, форма и пропорции должны подчеркивать уникальность лица и стиля.

Тотальная реставрация керамическими винирами действительно может изменить вашу улыбку и жизнь.

Записаться в нашу стоматологию можно через сайт или по тел. +7 (931) 002-03-17