Найти в Дзене
Ferra.ru

Микрочип PRIMA вернул зрение слепым людям

В Великобритании слепые пациенты снова смогли читать благодаря новому микрочипу PRIMA, разработанному в США. Испытания проводились в лондонской больнице и охватили 38 человек с возрастной макулярной дегенерацией (ВМД).

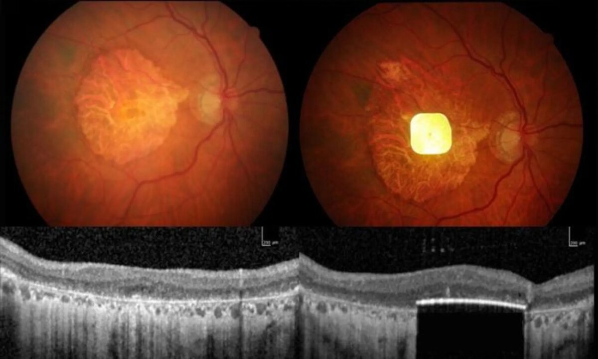
Чип толщиной меньше человеческого волоса хирург помещает под сетчатку глаза. Пациент носит специальные очки дополненной реальности с камерой. Камера фиксирует окружающее, передаёт сигнал на чип с помощью инфракрасного света, а мини-компьютер переводит его в электрические импульсы, которые мозг воспринимает как изображение.

Результаты следующие: 84% участников снова смогли различать буквы, цифры и слова. 70-летняя Шейла Ирвайн, например, теперь читает, решает кроссворды и видит мелкий шрифт. Операция длится менее двух часов, а сам чип проще в производстве и распространении, чем сложные генетические или стволовые терапии.

Материалы новостного характера нельзя приравнивать к назначению врача. Перед принятием решения посоветуйтесь со специалистом.