Добавить в корзинуПозвонить
Найти в Дзене

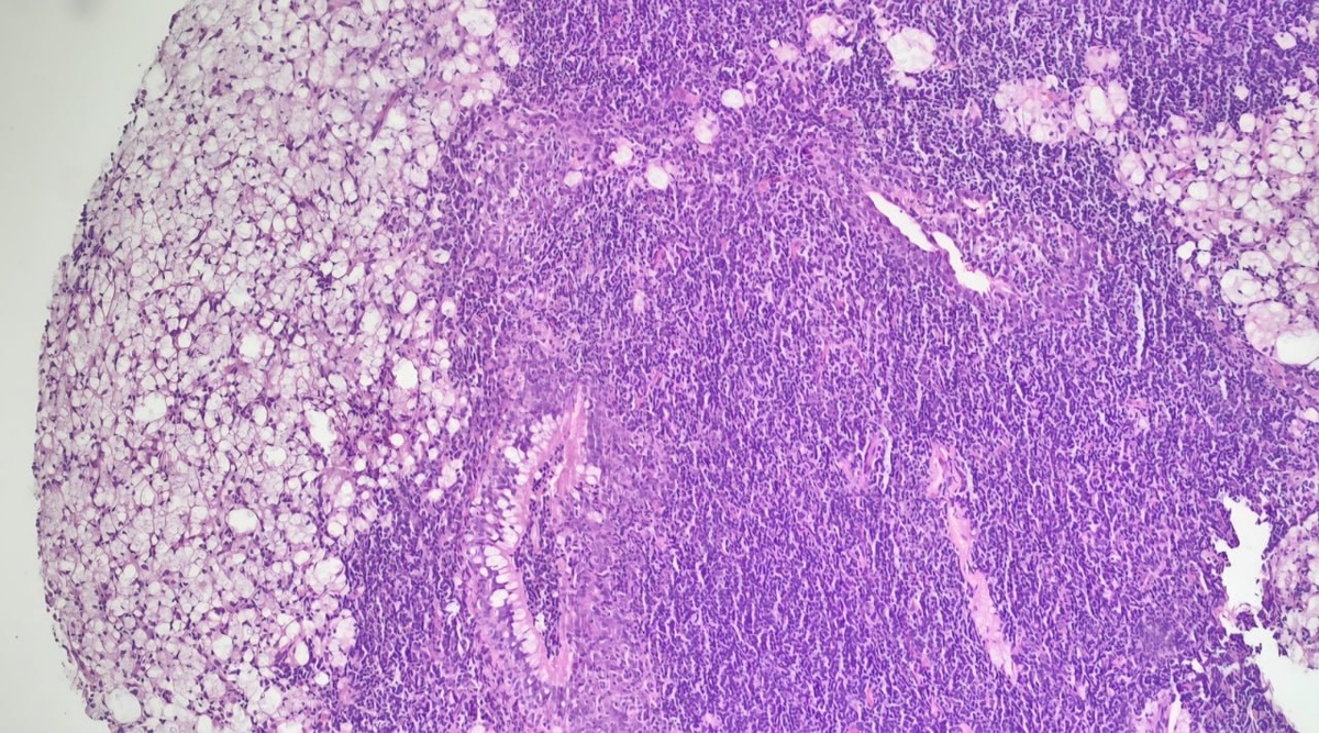
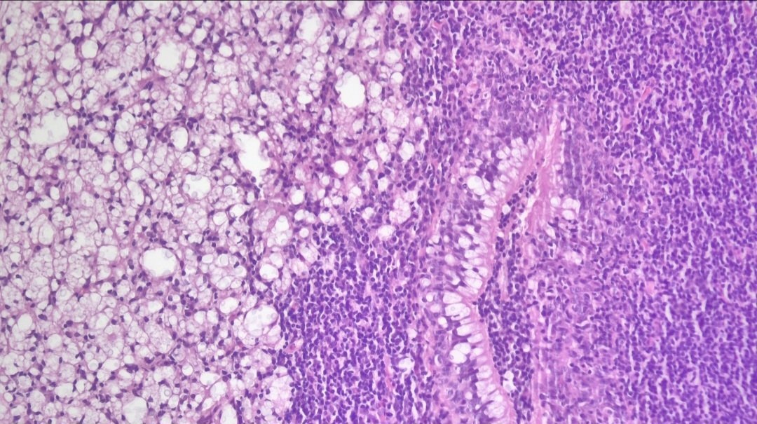
Клинический случай

Клинический случай Пациент: мужчина 51 года, ВИЧ-положительный статус Жалобы: шум в ушах (продолжительность — 3 месяца) Данные обследования: * При оториноларингологическом осмотре выявлено: утолщение слизистой оболочки носоглотки * Выполнена биопсия Гистологическое заключение: Криптококкоз носоглотки #cryptococcus #гистология

Клинический случай

Пациент: мужчина 51 года, ВИЧ-положительный статус

Жалобы: шум в ушах (продолжительность — 3 месяца)

Данные обследования:

* При оториноларингологическом осмотре выявлено: утолщение слизистой оболочки носоглотки

* Выполнена биопсия

Гистологическое заключение:

Криптококкоз носоглотки

#cryptococcus #гистология

-2
-3