Добавить в корзинуПозвонить
Найти в Дзене
Деревянная утка

Рождённый летать жаждет ходить | Готовлюсь к 2-й операции

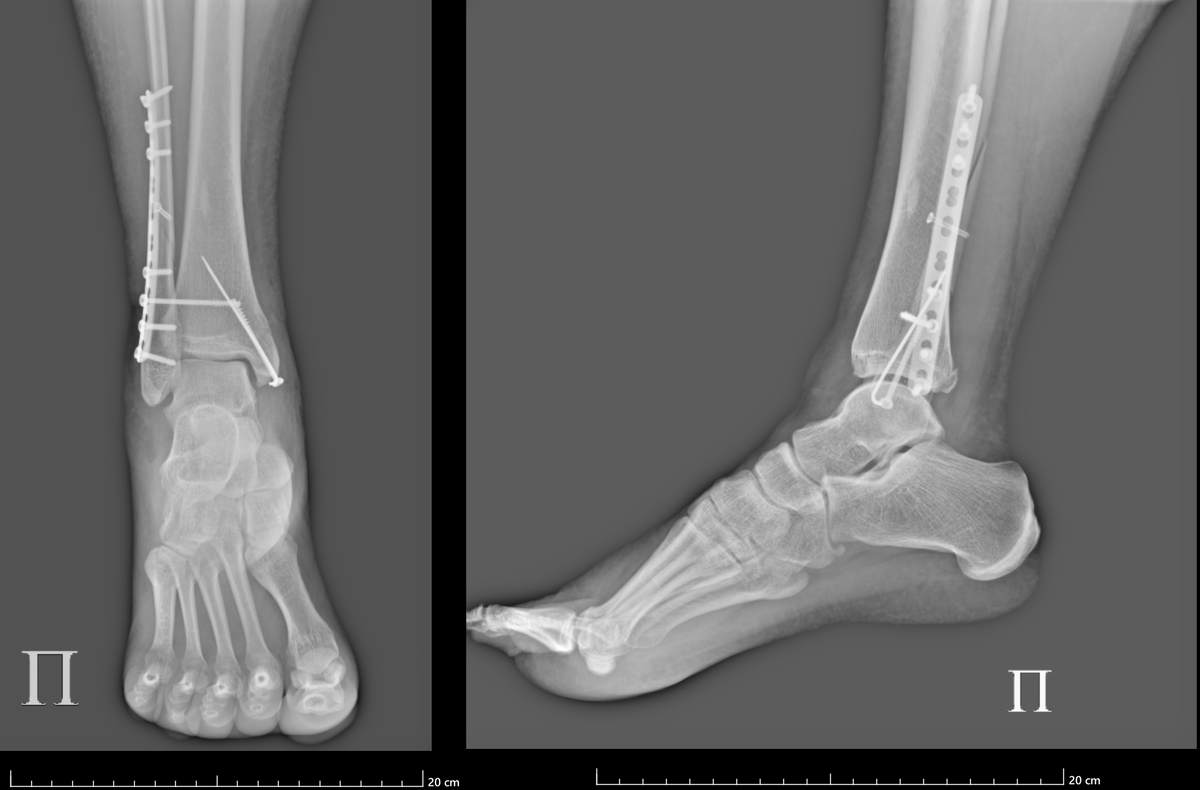
11 августа 2025 года я сломала ногу при самостоятельной посадке на параплане в Чегеме, 18 августа мне успешно собрали ногу обратно в Склифе. Прошло уже 2 месяца с операции, скоро уже будет вторая плановая операция. Пришло время поделиться тем, как у меня идут дела на реабилитации. И идут они хорошо. Если не читали предысторию, ссылки оставила в конце. Там всё: как сломала ногу, как местные СМИ всё переиначили на свой лад (и как всё было на самом деле), как мы выбивали у АльфаСтрахования трансфер из Нальчика в Москву – короче, рекомендую потом почитать. Для меня опыт подобной иммобилизации и такого серьезного перелома был первый (и надеюсь, что последний). До этого все приключения обычно заканчивались очередным шрамом, ушибом, синяком, ссадиной. Руку ломала всего 2 раза, так что тут мне хвастаться нечем. А тут я познакомилась со новыми прелестями жизни: отекшая нога, сложности в самообслуживании, бессонные ночи из-за болей, бытовая недееспособность — короче, ставлю этому опыту ноль из д
Оглавление

11 августа 2025 года я сломала ногу при самостоятельной посадке на параплане в Чегеме, 18 августа мне успешно собрали ногу обратно в Склифе. Прошло уже 2 месяца с операции, скоро уже будет вторая плановая операция.

Пришло время поделиться тем, как у меня идут дела на реабилитации. И идут они хорошо.

Если не читали предысторию, ссылки оставила в конце. Там всё: как сломала ногу, как местные СМИ всё переиначили на свой лад (и как всё было на самом деле), как мы выбивали у АльфаСтрахования трансфер из Нальчика в Москву – короче, рекомендую потом почитать.

Первые шаги после операции

Для меня опыт подобной иммобилизации и такого серьезного перелома был первый (и надеюсь, что последний). До этого все приключения обычно заканчивались очередным шрамом, ушибом, синяком, ссадиной. Руку ломала всего 2 раза, так что тут мне хвастаться нечем.

А тут я познакомилась со новыми прелестями жизни: отекшая нога, сложности в самообслуживании, бессонные ночи из-за болей, бытовая недееспособность — короче, ставлю этому опыту ноль из десяти. Я такой немощной себя никогда не ощущала.

Поэтому я старательно выполняла все рекомендации врача уже в больнице, на следующий же день после операции: вставала, гуляла между туалетом, кроватью и окном, крутила велосипед (достал он меня), растягивала голеностоп, привыкала ходить на костылях.

Мне сняли гипс на следующий же день после операции
Мне сняли гипс на следующий же день после операции

Долго не могла ходить из-за отека, поэтому делала много подходов по чуть-чуть. Но мотивирует меня всегда мысль о том, что к следующему сезону я хочу вернуться в полёты. Да и категория А сама не откроется.

При выписке из больницы мне было дано наставление уже начинать ставить ногу вниз и очень медленно в перспективе увеличивать нагрузку на ногу. Первое время больше делать упор на аккуратную растяжку и разработку стопы.

Пришла в поликлинику — отругали

Врач в травмпункте (у нас поликлиника и травмпункт объединены) на меня ворчал, что ни в коем случае нельзя нагружать ногу, пока не удалят позиционный винт.

Пугал меня тем, что этот винт сломается и останется со мной НА-ВСЕ-ГДА. На мой уточняющий вопрос, а с чего вдруг этот винт должен сломаться (он рассчитан на определенную нагрузку), ответа я не получила.

Фамилия моя колючая, характер трикстера, альтер-эго утиное — короче, зря он старался, потому что это сработало ровно наоборот.
Поэтому я скрестила пальцы на здоровой ноге и обещала на больную ногу не наступать, чтобы увести его от мысли закатать мою ногу в гипс.

А по приезде домой продолжила жить жизнь, заниматься простыми упражнениями и изучать вопрос, что с этим всем делать.

Кто из врачей прав? Так наступать или не наступать?

Меня как-то в комментариях упрекнули тем, что я смею ставить под сомнение заключение лечащего врача – мол, умнее специалиста себя считаю.

Так вот, я вообще-то смелая в этом плане: не боюсь сомневаться и перепроверять информацию. Потому что только в поиске ответов для устранения сомнений можно приблизиться наиболее близко к правильному ответу и пониманию.

А ещё, помимо навыка задавать вопросы, у меня есть довольно обширный и печальный опыт того, как специалисты с красными дипломами в абсолютной уверенности в собственной правоте могут творить фуфню. И на деньги тоже очень хорошо разводят (и не только в медицине), потому что пользуются слепым доверием авторитету.

Доктора — тоже люди, которым свойственны все человеческие атрибуты. Поэтому я не вижу ничего зазорного в том, чтобы поставить под сомнение услышанное и сходить перепроверить (а сомнения у меня возникли). Особенно когда это касается напрямую моей жизни. Лучше перебдеть, чем недобдеть.

Но это я отвлеклась, вернёмся обратно к вопросу: наступать или не наступать?

Источник - https://www.meme-arsenal.com/create/meme/7848028
Источник - https://www.meme-arsenal.com/create/meme/7848028

Короче, оказалось, что единого мнения тут нет... бадум-тсс.

Помимо того, что каждый случай уникален, сама ортопедия тоже развивается. Поэтому там есть как и приверженцы старого проверенного метода – упаковать в гипс, открыть под ёлочкой на Новый год, желательно уметь левитировать – которых большинство, так и подход по возможности снимать гипс и внедрять ОФП как можно быстрее. Чтобы потом не бороться с контрактурой и сократить время реабилитации.

Решила обратиться за третьим мнением

Ну, а потом и за четвёртым к ортопеду-реабилитологу.

И если подводить итог по всем мнениям в моём (!) случае, то звучит он так.

Риск повреждения позиционного винта присутствует всегда. Сломанный винт вытащить целиком можно, но это всегда вопрос рисков и жизненной необходимости. И если уж такое случится, подарочный кусочек металла в кости не создаёт много проблем: фотографируй его на рентгене иногда и всё.
В моём случае этот риск немного повышен из-за телосложения и отягощенного анамнеза, но он некритический. Если не скакать аки горная коза на больной ноге, не падать на неё, ставить ровно, не делать скручивания и аккуратно ходить по неровным поверхностям, то причин резко сломаться для винта нет.
Регулярные упражнения нужны, прогулки нужны, но без фанатизма. Никуда не спешим, ориентируемся на боль и усталость.

А поскольку это моя жизнь, мои решения и мои железки, я приняла решение после всех консультаций добавлять нагрузку и действовать по ситуации.

Поэтому свои первые аккуратные шаги на костылях я делала по квартире через месяц после операции. Дома я хожу уже недели три без костылей маленькими шагами, на улице пока на костылях для перестраховки.

Танцы свои в смешных носках в телеграм-канале выкладываю (тут на правой ноге 70% нагрузки, основной упор и баланс всё равно держит левая нога)
Танцы свои в смешных носках в телеграм-канале выкладываю (тут на правой ноге 70% нагрузки, основной упор и баланс всё равно держит левая нога)

Могу за рулём 2-3 часа провести. Могу даже на корточки аккуратно присесть, чтобы вытащить у собак изо рта очередной уличный трофей. Только вот на стул залезать мне страшно.

Бесит только то, что я ни в одни ботинки не влезаю из-за железок на правой ноге. Буду зиму в валенках гонять, походу.

Какой дальше план?

Сейчас готовлюсь к удалению позиционного винта, потому что уже пора. Анализы сдала, жду подтверждение даты операции.

По словам врача — это приключение на 20 минут: ногу обезболят, надрез маленький сделают, отверткой специальной выкрутят, зашьют.
Немного красиво полежать и можно ехать домой.

Затем мне ещё какое-то время носить остальные железки, которые потом надо будет вытащить. И судя по озвученным прогнозам, носить мне это ещё минимум полгода.

Но я никуда и не спешу, потому что дел полно: поиск работы, лечение животных (теперь и кошка заболела), учеба. Поскольку я пока не имею никаких планов и приглашений на празднование НГ в этом году, скорее всего, я буду на подработке все праздники.

Короче, успею я ещё полетать 🦆

Если вы тут первый раз, познакомиться со мной можно здесь. Бросить монетку в пруд поддержки меня как автора можно по этой ссылке.

Если соскучитесь, можете заходить в мой телеграм-канал. Там я бываю чаще.

Связанные статьи