Найти в Дзене

Почему так важна гигиена при ношении брекетов

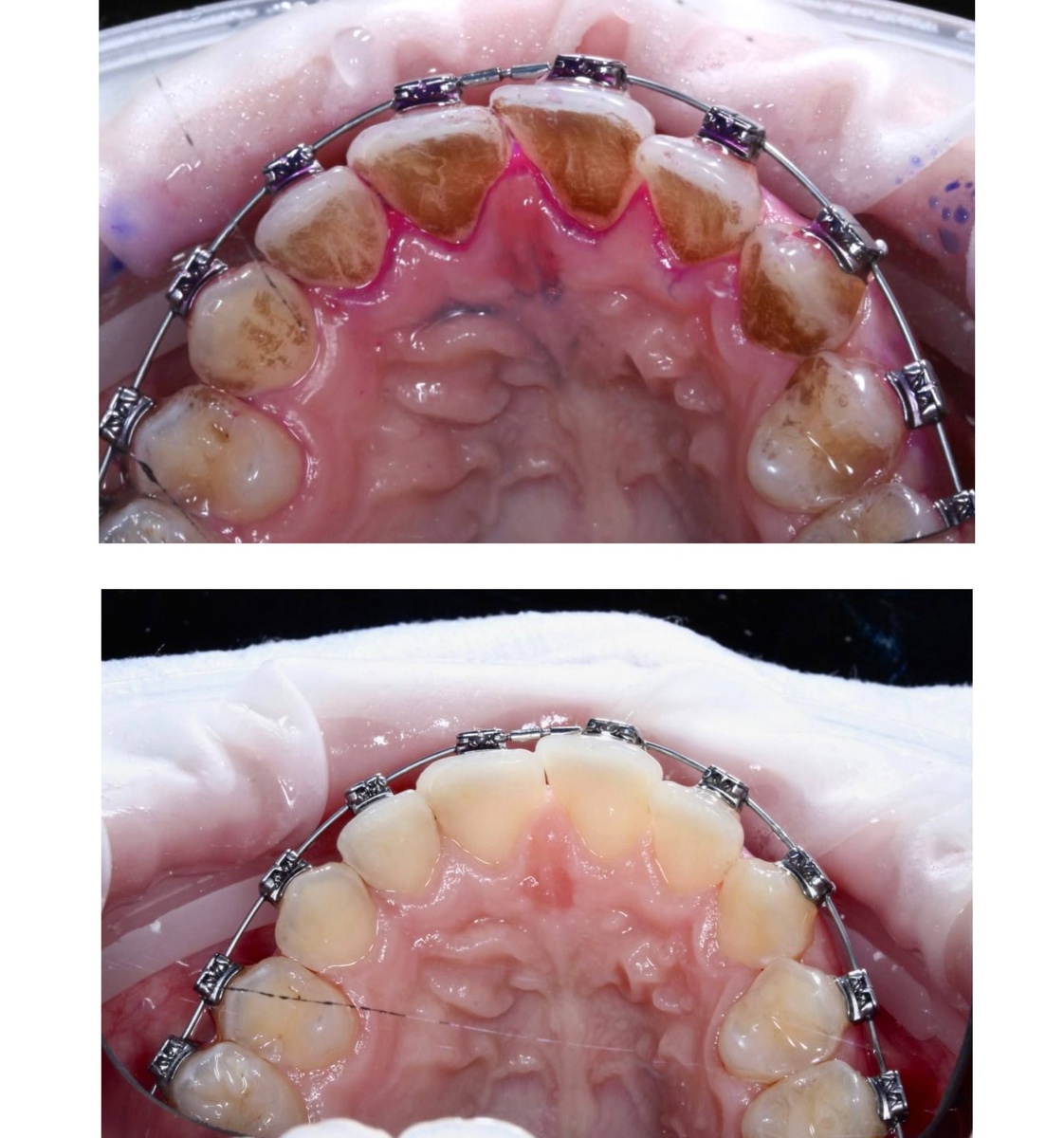
Почему так важна гигиена при ношении брекетов? Брекеты — это отличный способ добиться идеально ровных зубов и красивой улыбки, но они требуют особого ухода. Недостаточная гигиена в период ношения брекетов может привести к ряду проблем: 🦷 Зубной кариес – остатки пищи и налёт на зубах под брекетами создают идеальную среду для развития бактерий, вызывающих кариес. 🦷 Воспаление дёсен (гингивит) – плохая очистка приводит к отёкам, кровоточивости и воспалению десен. 🦷 Потеря природной эмали – налёт и минералы могут разрушать зубную структуру. ✅ Что нужно делать?  • Регулярная чистка зубов дважды в день мягкой щёткой и зубной нитью.  • Использование специальных щёток и ирригаторов для более тщательной очистки.  • Посещение стоматолога-гигиениста для профессиональной чистки каждые 3–4 месяца.  • Исключить из рациона сильно красящие и прилипчивые продукты. 💡 Помните, правильная гигиена — залог успешного лечения и красивой улыбки! Заботьтесь о своих зубах каждый день, и результат не за

Почему так важна гигиена при ношении брекетов?

Брекеты — это отличный способ добиться идеально ровных зубов и красивой улыбки, но они требуют особого ухода. Недостаточная гигиена в период ношения брекетов может привести к ряду проблем:

🦷 Зубной кариес – остатки пищи и налёт на зубах под брекетами создают идеальную среду для развития бактерий, вызывающих кариес.

🦷 Воспаление дёсен (гингивит) – плохая очистка приводит к отёкам, кровоточивости и воспалению десен.

🦷 Потеря природной эмали – налёт и минералы могут разрушать зубную структуру.

✅ Что нужно делать? 

• Регулярная чистка зубов дважды в день мягкой щёткой и зубной нитью. 

• Использование специальных щёток и ирригаторов для более тщательной очистки. 

• Посещение стоматолога-гигиениста для профессиональной чистки каждые 3–4 месяца. 

• Исключить из рациона сильно красящие и прилипчивые продукты.

💡 Помните, правильная гигиена — залог успешного лечения и красивой улыбки! Заботьтесь о своих зубах каждый день, и результат не заставит себя ждать!

🔶Работа выполнена стоматологом- Барановой Д.А.

Если есть вопросы о методах гигиены или подборе средст — обращайтесь! Мы поможем сохранить здоровье ваших зубов во время ношения брекетов.

Для записи звоните по тел.: +7 -911- 92-77-585

-2