Найти в Дзене

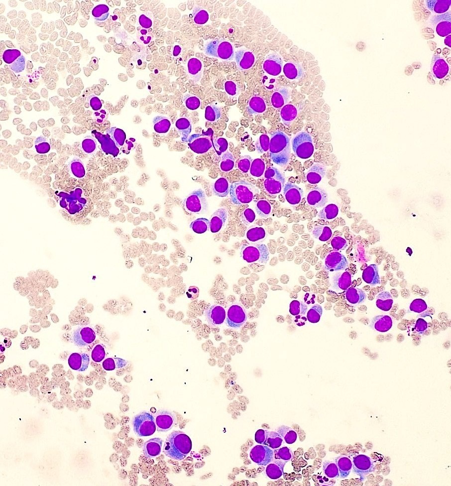
Материал ТАБ околоушной слюнной железы с признаками метастаза меланомы

Материал ТАБ околоушной слюнной железы с признаками метастаза меланомы Как в учебнике: диссоциированные клетки с эксцентрически расположенными ядрами #слюннаяжелеза #цитология

Материал ТАБ околоушной слюнной железы с признаками метастаза меланомы

Как в учебнике: диссоциированные клетки с эксцентрически расположенными ядрами

#слюннаяжелеза #цитология