Найти в Дзене

Последствия перенесенной болезни Пертеса

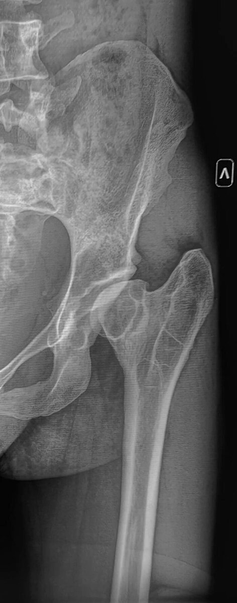
Болезнь Пертеса (полное название: болезнь Легга-Кальве-Пертеса) — это заболевание возникающее в детском возрасте, при котором нарушается кровоснабжение головки бедренной кости, это приводит к ее некрозу и последующей деформации. Рентгенография левого тазобедренного сустава молодого пациента с жалобы на боли ,ограничение движений в суставе. Головка левой бедренной кости овоидно деформирована, уменьшена в размере, вертлужная впадина деформирована, уплощена, склерозирована, суставная щель неравномерно сужена. Шейка бедренной кости укорочена, расширена. Заключение: Признаки перенесенной болезни Пертеса левого тазобедренного сустава, вторичный коксартроз слева 2 ст. Наиболее вероятно такая рентгенологическая картина сложилась вследствие не пролеченной болезни Пертеса в детском возрасте, что привело к деформации головки бедренной кости, вторичным изменениям в суставе. Категория годности с данным диагнозом по ст.65(Хирургические болезни и поражения костей, крупных суставов, хрящей:)б-В(ограни

⁠⁠

Болезнь Пертеса (полное название: болезнь Легга-Кальве-Пертеса) — это заболевание возникающее в детском возрасте, при котором нарушается кровоснабжение головки бедренной кости, это приводит к ее некрозу и последующей деформации.

Рентгенография левого тазобедренного сустава молодого пациента с жалобы на боли ,ограничение движений в суставе.

-2

Головка левой бедренной кости овоидно деформирована, уменьшена в размере, вертлужная впадина деформирована, уплощена, склерозирована, суставная щель неравномерно сужена. Шейка бедренной кости укорочена, расширена. Заключение: Признаки перенесенной болезни Пертеса левого тазобедренного сустава, вторичный коксартроз слева 2 ст.

Наиболее вероятно такая рентгенологическая картина сложилась вследствие не пролеченной болезни Пертеса в детском возрасте, что привело к деформации головки бедренной кости, вторичным изменениям в суставе.

Категория годности с данным диагнозом по ст.65(Хирургические болезни и поражения костей, крупных суставов, хрящей:)б-В(ограниченно годен к в/сл).

https://t.me/MME_SurgeryRadiolodgy