Найти в Дзене

Папиллярный рак щитовидной железы

Папиллярный рак (ПР) является наиболее частой злокачественной опухолью ЩЖ (75-85%). Этот вид рака представляет собой разнородную группу опухолей вследствие довольно широкой вариабельности макроскопического и микроскопического строения. Гистологические варианты папиллярной карциномы: типичный ПР; фолликулярный вариант ПР (инкапсулированный подтип, инфильтративный подтип); кистозный вариант ПР; онкоцитарный вариант ПР; Уортино-подобный вариант ПР; высококлеточный вариант ПР; столбчато-клеточный вариант ПР; hobnail («по типу сапожных гвоздей») вариант ПР; солидный вариант ПР; диффузно-склерозирующий вариант ПР. Типичная папиллярная карцинома встречается наиболее часто, происходит из А-клеток фолликулярного эпителия и характеризуется образованием сосочковых (папиллярных) структур и характерными изменениями в ядрах опухолевых клеток (ядра в виде «глазок Сиротки Энни»); также характерно (65-80%) наличие псаммомных телец – слоистых концентрических микрокальцинатов. Макроскопически ПР ЩЖ наибо
Оглавление

Папиллярный рак (ПР) является наиболее частой злокачественной опухолью ЩЖ (75-85%).

Этот вид рака представляет собой разнородную группу опухолей вследствие довольно широкой вариабельности макроскопического и микроскопического строения.

Гистологические варианты папиллярной карциномы: типичный ПР; фолликулярный вариант ПР (инкапсулированный подтип, инфильтративный подтип); кистозный вариант ПР; онкоцитарный вариант ПР; Уортино-подобный вариант ПР; высококлеточный вариант ПР; столбчато-клеточный вариант ПР; hobnail («по типу сапожных гвоздей») вариант ПР; солидный вариант ПР; диффузно-склерозирующий вариант ПР.

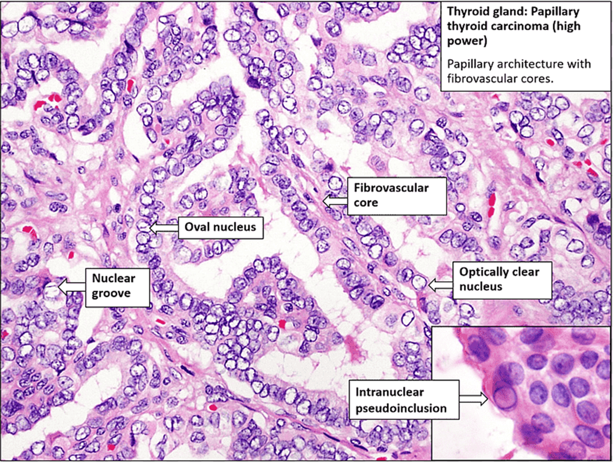
Типичная папиллярная карцинома встречается наиболее часто, происходит из А-клеток фолликулярного эпителия и характеризуется образованием сосочковых (папиллярных) структур и характерными изменениями в ядрах опухолевых клеток (ядра в виде «глазок Сиротки Энни»); также характерно (65-80%) наличие псаммомных телец – слоистых концентрических микрокальцинатов.

Макроскопически ПР ЩЖ наиболее часто представляет собой плотный тканевый узел белесовато-желтоватого цвета; на разрезе имеет мелкозернистый вид без четких границ.

Микроскопически выделяют 2 основные формы: сосочковую цистаденокарциному и папиллярный рак с высоким цилиндрическим эпителием.

Сосочковая цистаденокарцинома встречается относительно часто, представляет собой полость, выстланную опухолевыми клетками, в просвет которой растут сосочкообразные структуры; иногда в опухоли преобладает кистозный компонент.

Реже встречающийся папиллярный рак с высоким цилиндрическим эпителием характеризуется сосочкообразными структурами, выстланными высокими опухолевыми эпителиоцитами. Клетки имеют слабо оксифильную цитоплазму, длина их в 2-3 раза больше, чем ширина. Ядра в клетках расположены базально. Данный вариант рака ЩЖ диагностируется в том случае, если доля высоких клеток в опухоли равна 10-30% или превышает этот порог. Этот вид опухоли имеет более злокачественный потенциал, в отличие от папиллярной цистаденокарциномы.

Характерным признаком ПР ЩЖ является строение ядра: они выглядят как притертые часовые стекла из-за отчетливых контуров ядерной мембраны и распыления хроматина, вследствие чего наблюдается прозрачность внутреннего ядерного содержимого. Ядро смещено к ядерной оболочке и приобретает вид солитарного базофильного ядра. Из-за глубоких бороздок, возникающих вследствие складок в ядерной мембране, ядра могут приобретать вид «осколков толченого стекла». Специфические изменения ядер клеток ПР в зарубежной литературе описывают как «глазки Сиротки Энни».

В ядрах клеток ПР с высоким цилиндрическим эпителием бороздки и включения могут быть множественными, отчего создаётся картина так называемых «мыльных пузырей».

Реактивные фиброзные изменения стромы являются другой характерной чертой ПР ЩЖ.

Для диагностики ПР имеет значение наличие псаммомных телец (мелких слоистых кальцификатов).

Отдельно выделяют фолликулярный вариант ПР, сочетающее в себе признаки как паиллярного рака, так и фолликулярной карциномы. Макроскопически опухоль может выглядеть по-разному в зависимости от преобладающего компонента: в случае преобладания сосочковых структур ткань опухоли имеет желтовато-белый цвет, границы четко не прослеживаются; при преобладании фолликулярных структур опухолевый очаг имеет коллоидный вид. При микроскопическом исследовании ткань опухоли имеет два паттерна: папиллярные структуры, характерные для папиллярного рака, и фолликулярные структуры, характерные для аналогичного вида опухоли.

На сегодняшний день многие исследователи определяют фолликулярный вариант папиллярного рака как отдельный вид опухолей – фолликулярно-папиллярный рак.

-2

В зависимости от размера и степени первичного поражения выделяют 3 категории ПР ЩЖ:

  • Микрокарцинома, или скрытая карцинома, <1,0 см (малая (<5 мм) и большая (≥5 мм));
  • Внутрищитовидная опухоль ≥1,0 см;
  • Экстратиреоидная опухоль, выходящая за пределы ЩЖ и вовлекающая в процесс окружающие органы.

Для папиллярного рака характерна частая многоочаговость (10-20%), обусловленная внутритиреоидным лимфогенным распространением.

В 45-70% случаев при папиллярной карциноме патогистологически выявляются микрометастазы в контрлатеральной доле ЩЖ.

Билатеральное поражение ЩЖ наблюдается в 33% случаев.

-3

Варианты ПР в зависимости от клинико-морфологических особенностей

Неагрессивное клиническое течение

  • Папиллярная микрокарцинома (менее 1 см)
  • Фолликулярный вариант (в том числе, макрофолликулярный в-т)
  • Онкоцитарный (оксифильноклеточный) вариант
  • Светлоклеточный вариант
  • Папиллярный рак с фасциито-подобной стромой

Агрессивное клиническое течение

  • Диффузно-склеротический вариант
  • Высококлеточный вариант
  • Столбчатоклеточный вариант
  • Солидный вариант
  • Папиллярный рак в сочетании с плоскоклеточным раком (в собственных наблюдениях плоскоклеточный рак развивался из высококлеточного компонента папиллярной карциномы)
  • Папиллярный рак в сочетании с мукоэпидермоидным раком
  • Диффузно-узловой (мультинодулярный) фолликулярный вариант

Опухоли неопределенного клинического течения

  • Крибриформный вариант
  • Папиллярный рак с инсулярным компонентом
  • Папиллярный рак в сочетании с веретеноклеточной и/или гигантоклеточной карциномой
  • Комбинированная папиллярно-медуллярная карцинома
-4

Папиллярный рак ЩЖ обычно бывает изолированным заболеванием, но иногда входит в структуру синдрома МЭН (множественной эндокринной неоплазии).

Множественная эндокринная неоплазия (МЭН, МЕN, множественный эндокринный аденоматоз (МЭА)) - редкие наследственные аутосомно-доминантные синдромы с образованием множественных гормонсекретирующих опухолей или гиперплазией нескольких эндокринных желез.

Выделяют разновидности синдрома МЭА (MEN): MEN-1 (или синдром Вермера), MEN-2 - MEN-2A (или синдром Сиппла) и MEN-2В (MEN-3 или синдром Горлина).

Папиллярный рак ЩЖ может быть проявлением синдрома Вермера.

Синдром MEN-1 (синдром Вермера): Рак ЩЖ (в ряде случаев) + аденома или гиперплазия околощитовидных желез + опухоли аденогипофиза + опухоли надпочечников + опухоли поджелудочной железы и др.

-5

При папиллярном раке ЩЖ, являющемся высокодифференцированной опухолью, чаще наблюдается низкая агрессивность с медленным ростом за исключением детей и взрослых старше 50 лет, у которых он имеет крайне агрессивное течение.

Чаще возникает у женщин детородного возраста, в 3 раза чаще, чем у мужчин.

При папиллярном раке в 50% случаев имеются метастазы в регионарные лимфоузлы (передние глубокие шейные, предтрахеальные, щитовидные и средостенные).

Отдаленные метастазы (чаще в легкие и кости) наблюдаются редко, у 5-7% больных.

Частота отдаленных метастазов при папиллярном раке наименьшая (10%) при типичном папиллярном строении и наибольшая (33%) при папиллярной карциноме из клеток Гюртле.

В момент первичного обследования примерно у 4% больных с папиллярной карциномой имеются отдаленные метастазы опухоли.

5-летняя выживаемость при папиллярном раке достигает 92-96%, 20-летняя – 90%.

Папиллярный рак щитовидной железы при УЗИ

Обычно наблюдается одиночное или множественные (до 10-20%) неоднородные (86%) гипоэхогенные (88%), реже смешанной эхогенности или изоэхогенные, солидные (70-90%) образования неправильной формы с неровными нечеткими контурами (60-95%) и отсутствием halo (93%).

Микрокальцинаты обнаруживаются в 85-90% случаев и имеют размеры до 1 мм.

В 20-30% случаев обнаруживается кистозный компонент в опухоли.

Описывается «внутрикистозный вариант» папиллярной карциномы в виде кистозной полости с интракистозными папиллярными разрастаниями и микрокальцинатами.

При ЦДК/ЭДК в 90% случаев определяется интра- и перинодулярная гиперваскуляризация.

В 15-57% случаев наблюдается метастатическое поражение регионарных лимфоузлов с типичной УЗ-картиной (увеличение, округлая форма, гипоэхогенность с отсутствием дифференцировки структуры) с наличием в 80-90% случаев микрокальцинатов.

В большинстве случаев метастазирование в лимфоузлы происходит на стороне локализации опухоли, примерно в 10% случаев - и на противоположной, при отсутствии поражения самой доли.

-6
-7
-8
-9
-10
-11

Автор - Иогансен Юрий Александрович, врач ультразвуковой диагностики, кандидат медицинских наук.