Добавить в корзинуПозвонить
Найти в Дзене

КТ-Гидроторакс⁠⁠

Гидроторакс — это скопление не воспалительной жидкости (транссудата) в плевральной полости — пространстве между легкими и внутренней стенкой грудной клетки. Двустороннее ассиметричное скопление жидкости плотностью +10-20 HU,с максимальной толщиной выпота справа -42мм,слева-16мм(ориентировочный объем жидкости справа-530мл,слева-157мл). Заключение: Двусторонний гидроторакс, средний по объему-справа, малый-слева. Классификация по гидроторакса по объему жидкости: -Минимальный до 50мл. -Малый 50-150мл. -Средний 150-500 мл. -Большой 500-1000 мл. -Массивный >1000мл. Классификация гидроторакса по уровню жидкости: -Малый -жидкость в пределах реберно-диафрагмального синуса. -Средней-жидкость от угла до уровня середины лопатки. -Большой — уровень жидкости выше середины лопатки. С диагнозом гидроторакс категория годности по ст.53(Временные функциональные расстройства органов дыхания после острого заболевания, обострения хронического заболевания, травмы или хирургического лечения),Г-временно не го

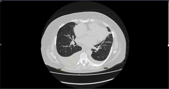
Гидроторакс — это скопление не воспалительной жидкости (транссудата) в плевральной полости — пространстве между легкими и внутренней стенкой грудной клетки.

Двустороннее ассиметричное скопление жидкости плотностью +10-20 HU,с максимальной толщиной выпота справа -42мм,слева-16мм(ориентировочный объем жидкости справа-530мл,слева-157мл).

Заключение: Двусторонний гидроторакс, средний по объему-справа, малый-слева.

Классификация по гидроторакса по объему жидкости:

-Минимальный до 50мл.

-Малый 50-150мл.

-Средний 150-500 мл.

-Большой 500-1000 мл.

-Массивный >1000мл.

Классификация гидроторакса по уровню жидкости:

-Малый -жидкость в пределах реберно-диафрагмального синуса.

-Средней-жидкость от угла до уровня середины лопатки.

-Большой — уровень жидкости выше середины лопатки.

-2

С диагнозом гидроторакс категория годности по ст.53(Временные функциональные расстройства органов дыхания после острого заболевания, обострения хронического заболевания, травмы или хирургического лечения),Г-временно не годен к в/сл., сроком на 3 мес.

https://t.me/MME_SurgeryRadiolodgy