Найти в Дзене

На учёте у первоуральских онкологов состоят более 50 человек

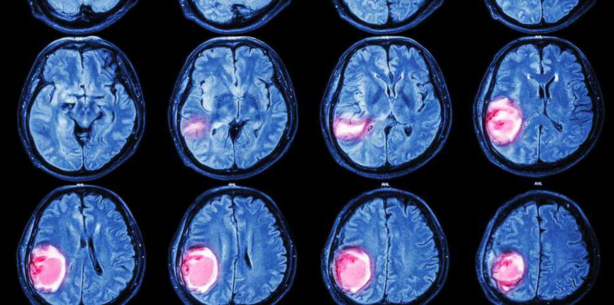
На учёте у первоуральских онкологов состоят более 50 человек со всего Западного округа со злокачественными новообразованиями головного мозга, из них 38 – под наблюдением врачей более 5 лет. Проходят химиотерапию в горбольнице на сегодня 4 пациента. Рак мозга – злокачественная опухоль в области головного мозга. Различают около 130 видов опухолей данного органа. Одной из причин заболевания может быть стресс и недосыпание. Развитие рака головного мозга может быть обусловлено разнообразными причинами: наследственность, радиоактивное облучение, токсическое воздействие ртути или свинца, травмы головы, вредные привычки, повышенное артериальное давление, частые или сильные стрессы, недосыпание и постоянное переутомление. Чаще всего опухоли головного мозга диагностируют у людей старше 45-50 лет. Стресс может стать причиной развития онкологии – рака головного мозга. - Стресс может активировать деления клеток не так, как им положено, и на фоне стресса может произойти «поломка» в организме, у меня
Фото wms-site.com
Фото wms-site.com

На учёте у первоуральских онкологов состоят более 50 человек со всего Западного округа со злокачественными новообразованиями головного мозга, из них 38 – под наблюдением врачей более 5 лет. Проходят химиотерапию в горбольнице на сегодня 4 пациента.

Рак мозга – злокачественная опухоль в области головного мозга. Различают около 130 видов опухолей данного органа. Одной из причин заболевания может быть стресс и недосыпание.

Развитие рака головного мозга может быть обусловлено разнообразными причинами: наследственность, радиоактивное облучение, токсическое воздействие ртути или свинца, травмы головы, вредные привычки, повышенное артериальное давление, частые или сильные стрессы, недосыпание и постоянное переутомление.

Чаще всего опухоли головного мозга диагностируют у людей старше 45-50 лет.

Стресс может стать причиной развития онкологии – рака головного мозга.

- Стресс может активировать деления клеток не так, как им положено, и на фоне стресса может произойти «поломка» в организме, у меня есть пациентка, которая после сильнейшего стресса на фоне случившейся в семье трагедии заболела, и потом у нее обнаружили онкологию. Хотя опять-таки здесь мы можем говорить лишь о вероятности, что стресс послужил толчком, - отмечает врач-онколог, заведующая ЦАОП Первоуральской городской больницы Евгения Романенко.

Расслабления, медитативные практики, занятия йогой помогут в борьбе со стрессом, а значит, позволит избежать и многих причин стресса