Добавить в корзинуПозвонить
Найти в Дзене

Опасны ли плесневые грибы в сухом или мертвом состоянии?

Как вы считаете, опасны ли плесневые грибы в сухом или мертвом состоянии? Плесень выделяет токсины, опасные для людей, животных и растений.Эти токсины еще называют микотоксины (от греч. mukes — «гриб» и toxicon — «яд»).То есть это вещества, ядовитые для нас. Некоторые микотоксины способны просто вызывать аллергию,а другие - серьезные заболевания и нарушения в работе организма. Большинство микотоксинов выделяется плесневыми грибами в живом состоянии и при определенных условиях (например при определенной влажности и температуре). Но есть и такие микотоксины, которые выделаются из плесневых грибов не только в живом состоянии, но даже в мертвом!Токсины содержатся в клеточных стенках гриба (как мицелия, так и спор гриба) и выделяются независимо от того, мертвый гриб или живой. Поэтому плесневые грибы представляют опасность как в живом, так и в мертвом состоянии! Кроме того, споры плесневых грибов крайне устойчивы к разным неблагоприятным факторам (например высокой и низкой температурам, по

Как вы считаете, опасны ли плесневые грибы в сухом или мертвом состоянии?

Плесень выделяет токсины, опасные для людей, животных и растений.Эти токсины еще называют микотоксины (от греч. mukes — «гриб» и toxicon — «яд»).То есть это вещества, ядовитые для нас. Некоторые микотоксины способны просто вызывать аллергию,а другие - серьезные заболевания и нарушения в работе организма.

Большинство микотоксинов выделяется плесневыми грибами в живом состоянии и при определенных условиях (например при определенной влажности и температуре). Но есть и такие микотоксины, которые выделаются из плесневых грибов не только в живом состоянии, но даже в мертвом!Токсины содержатся в клеточных стенках гриба (как мицелия, так и спор гриба) и выделяются независимо от того, мертвый гриб или живой. Поэтому плесневые грибы представляют опасность как в живом, так и в мертвом состоянии!

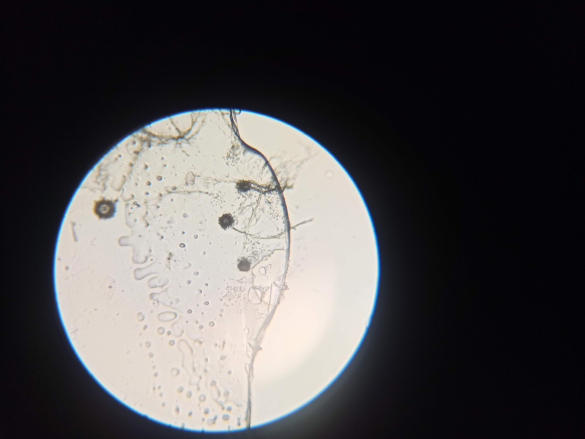
Плесневые грибы под микроскопом
Плесневые грибы под микроскопом

Кроме того, споры плесневых грибов крайне устойчивы к разным неблагоприятным факторам (например высокой и низкой температурам, полному высушиванию) и могут длительное время находиться в "спящем" состоянии. Но при наступлении благоприятных условий (повысится влажность - воздуха ли в помещении, на стене ли, в отделочных ли материалах - там, где есть споры плесени) - плесневые грибы пробуждаются и начинают активно расти!

Если вам нужны эффективные рекомендации - обращайтесь к профессионалам! Я, к примеру, всегда прописываю в своих заключениях рекомендации по устранению плесени с указанием всех необходимых этапов, а также помогаю найти причину образования плесневых грибков. А устранить причину образования плесени - это ключевой момент в борьбе с образованием плесени!