Найти в Дзене

«Ты в маму такая кривозубая?». Дело семейное: передаются ли кариес, плохие зубы и неправильный прикус по наследству

Оглавление

Многие уверены, что проблемные зубы – это наследственная история.

Бесконечные кариесы, неправильный прикус, повышенная чувствительность, сколы на эмали – кажется, что это чуть ли не семейное проклятие. Но так ли это на самом деле?

  • Какие проблемы с зубами передаются по наследству, а какие – нет, расскажем в этой статье.

Что действительно передают гены?

По наследству нам могут достаться особенности строения зубочелюстной системы:

  • форма и размер зубов;
  • толщина эмали;
  • цвет зубов;
  • строение челюстей и черепа.

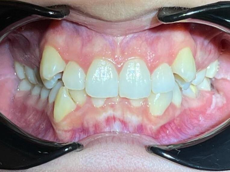
Именно расположение челюстей и зубных рядов напрямую влияет на прикус. Если у родителей узкая челюсть, скученность зубов или дистальный прикус, высока вероятность, что у ребёнка будет то же самое.

Важно понимать, что неправильное смыкание зубов — это не только про эстетику. Прикус определяет профиль лица, чёткие линии подбородка и щёк, правильность речи и даже работу суставов. Поэтому он считается одной из самых заметных «наследственных меток».

Хорошая новость в том, что это поддаётся коррекции. Брекеты или элайнеры позволяют изменить положение зубов и челюстей, а значит, скорректировать то, что досталось от родителей.

-2

Кариес и болезни дёсен: причём тут наследственность?

По наследству передаются не болезни, а предрасположенность. То есть никто не рождается с врождённым кариесом. Проблемы возникают позже — в зависимости от того, как человек ухаживает за зубами и какой образ жизни ведёт.

Например:

  • у человека с тонкой эмалью выше риск сколов;
  • глубокие фиссуры (бороздки на жевательных зубах) сложнее чистить, из-за чего появляется больше налёта.

Также гены могут влиять через общие болезни организма. Так, при сахарном диабете страдает кровоснабжение дёсен, и повышается риск воспалений.

А колебания гормонального фона у женщин могут отражаться на чувствительности дёсен и прочности зубов.

-3

Что действительно портит зубы?

Наследственность — далеко не главный фактор, влияющий на состояние зубов. По статистике, первое место занимают гигиена и пищевые привычки.

Здоровые зубы чаще у тех, кто:

  • чистит их 2 раза в день правильной щёткой и пастой;
  • пользуется нитью или ирригатором;
  • регулярно проходит профессиональную чистку и осмотр.

А вот плохие привычки способны перебить даже хорошую генетику: частые сладости, газировка, курение, привычка грызть ручки или семечки.

Также на здоровье зубов может влиять окружающая обстановка, вроде качества питьевой воды, воздух на рабочем производстве, чистота воздуха.
-4

Можно ли обмануть гены?

Да. Современная стоматология позволяет скорректировать то, что вы получили по наследству.

  • Гигиеной и регулярными визитами к стоматологу можно снизить риск кариеса, даже, если эмаль тонкая. А профилактика и контроль здоровья помогут свести наследственные риски к минимуму.

Вывод: плохие зубы и кариес — не семейное проклятие. Да, гены влияют на прикус и некоторые особенности эмали, но решающим остаётся то, как вы ухаживаете за полостью рта.

А если с прикусом есть проблемы, то ортодонт поможет его исправить и вернуть лицу гармоничный вид.

А какие мифы о зубах и наследственности слышали вы?

Поделитесь в комментариях!