Добавить в корзинуПозвонить
Найти в Дзене
AV Clinic Красногорск

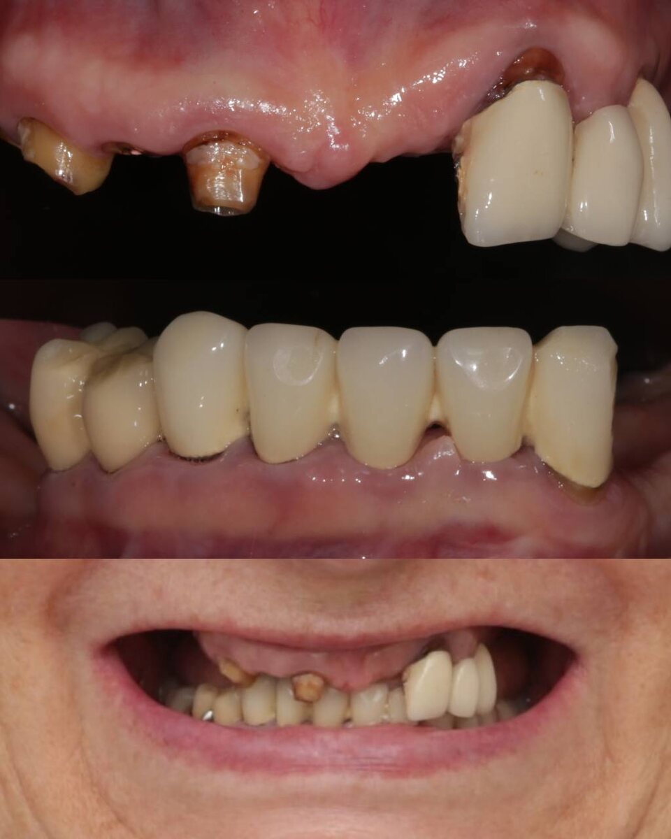
Иногда к нам а AVclinic обращаются за помощью пациенты с очень серьезной проблемой - полным отсутствием зубов или, что бывает значительно

Иногда к нам а AVclinic обращаются за помощью пациенты с очень серьезной проблемой - полным отсутствием зубов или, что бывает значительно чаще, с наличием небольшого количества зубов, но вылечить эти зубы и уж тем более использовать их как опору для какого либо постоянного протезирования не представляется возможным… Раньше таким пациентам предлагался только один метод лечения - это удаление всех оставшихся зубов и изготовление полных съемных протезов. Да-да, те самые челюсти с стакане… К счастью, мы живем в «эру дентальной имплантации» и сегодня в таких случаях можем предложить нашим любимым пациентам метод реабилитации НЕСЪЁМНЫМИ протезами с опорой на дентальные импланты, что, конечно же, предоставляет совершенно иное удобство эксплуатации и более высокое качество жизни. В сегодняшнем примере команде врачей AVclinic удалось вернуть нашему пациенту возможность улыбаться за одну операцию! Жизнь слишком хороша и коротка, чтобы проживать её без зубов, друзья! Здоровья Вам и почаще у

Иногда к нам а AVclinic обращаются за помощью пациенты с очень серьезной проблемой - полным отсутствием зубов или, что бывает значительно чаще, с наличием небольшого количества зубов, но вылечить эти зубы и уж тем более использовать их как опору для какого либо постоянного протезирования не представляется возможным…

Раньше таким пациентам предлагался только один метод лечения - это удаление всех оставшихся зубов и изготовление полных съемных протезов.

Да-да, те самые челюсти с стакане…

К счастью, мы живем в «эру дентальной имплантации» и сегодня в таких случаях можем предложить нашим любимым пациентам метод реабилитации НЕСЪЁМНЫМИ протезами с опорой на дентальные импланты, что, конечно же, предоставляет совершенно иное удобство эксплуатации и более высокое качество жизни.

В сегодняшнем примере команде врачей AVclinic удалось вернуть нашему пациенту возможность улыбаться за одну операцию!

Жизнь слишком хороша и коротка, чтобы проживать её без зубов, друзья!

Здоровья Вам и почаще улыбайтесь!

ВАША УЛЫБКА—НАША ЗАБОТА.

-2
-3