Добавить в корзинуПозвонить
Найти в Дзене

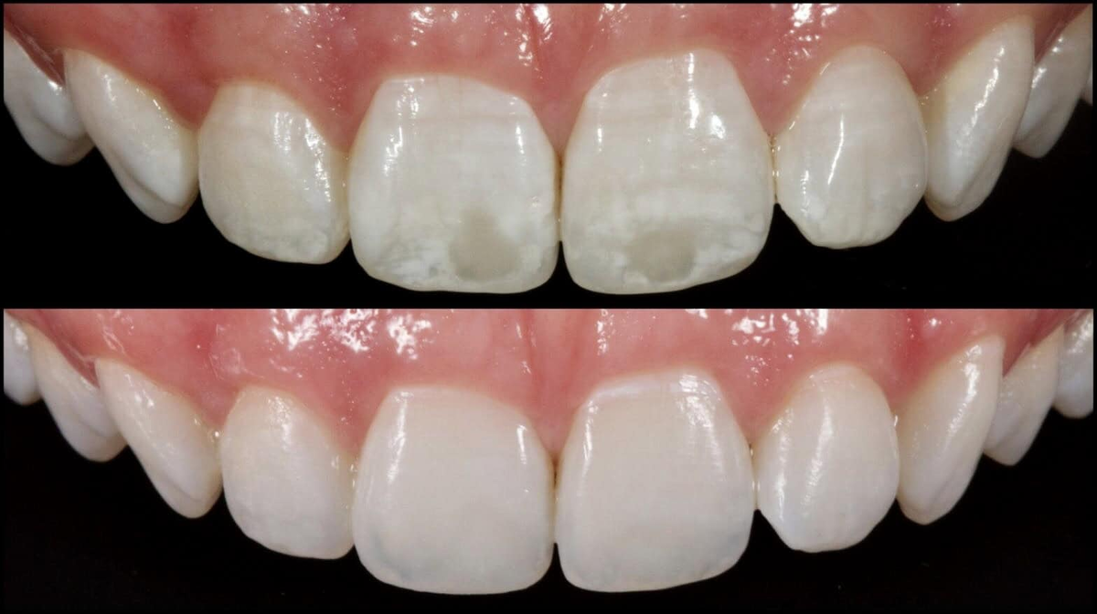
Откуда берутся белые пятна на эмали зубов у детей - что с этим делать

Зубы — это не только важный элемент нашей внешности, но и ключевой аспект здоровья. Несмотря на то, что многие стремятся к идеально белоснежной улыбке, стоит помнить, что зубная эмаль никогда не бывает абсолютно белой. У нее всегда есть свой естественный оттенок, и если на ней появляются пятна или изменения цвета, это может быть признаком проблем. Особенно часто пациенты обращаются к стоматологам с беспокойством по поводу белых точек на зубах. Вопрос в том, откуда они берутся, насколько это серьезно и как с ними бороться. Белые пятна на зубах — это сигнал, который не стоит игнорировать. Здоровая эмаль должна иметь равномерный цвет без каких-либо пятен. Появление белых точек может быть связано как с кариесом, так и с некариозными поражениями. — Белые пятна могут быть начальным этапом кариеса. Обычно мы ассоциируем кариес с темными пятнами и дырками, но на самом деле на ранних стадиях он может проявляться именно в виде белых участков. Эти пятна возникают из-за потери минералов в эмали, ч
Оглавление

Зубы — это не только важный элемент нашей внешности, но и ключевой аспект здоровья. Несмотря на то, что многие стремятся к идеально белоснежной улыбке, стоит помнить, что зубная эмаль никогда не бывает абсолютно белой. У нее всегда есть свой естественный оттенок, и если на ней появляются пятна или изменения цвета, это может быть признаком проблем. Особенно часто пациенты обращаются к стоматологам с беспокойством по поводу белых точек на зубах. Вопрос в том, откуда они берутся, насколько это серьезно и как с ними бороться.

❇️ Причины появления белых пятен на зубах

Белые пятна на зубах — это сигнал, который не стоит игнорировать. Здоровая эмаль должна иметь равномерный цвет без каких-либо пятен. Появление белых точек может быть связано как с кариесом, так и с некариозными поражениями.

Кариозные причины:

— Белые пятна могут быть начальным этапом кариеса. Обычно мы ассоциируем кариес с темными пятнами и дырками, но на самом деле на ранних стадиях он может проявляться именно в виде белых участков. Эти пятна возникают из-за потери минералов в эмали, что приводит к снижению ее прочности и блеска. Такие участки чаще всего расположены в области шейки зуба и становятся чувствительными к различным раздражителям. Если не предпринять меры, такие зубы могут начать разрушаться.

Некариозные причины:

— Гипоплазия эмали: Это состояние характеризуется недоразвитием эмали, что может проявляться в виде белых пятен, тусклости и мелких бороздок. Гипоплазия может затрагивать как один зуб, так и несколько одновременно и часто имеет врожденный характер.

— Флюороз: Это заболевание возникает при избытке фтора в организме. В больших количествах фтор может негативно воздействовать на зубы, вызывая образование белых пятен, которые делают эмаль более уязвимой.

Также стоит отметить, что плохая гигиена полости рта, неправильное питание и недостаток минералов в рационе могут способствовать появлению белых пятен.

-2

❇️ Белые пятна на зубах у детей

У детей белые пятна на зубах часто возникают из-за гипоплазии эмали, которая формируется еще в утробе матери. Причинами могут быть токсикозы, перенесенные инфекции или проблемы со здоровьем матери. В результате эмаль формируется с дефектами, и при прорезывании зубов родители могут заметить белые пятна.

Иногда у детей могут временно появляться белые пятна, особенно на передних зубах. Это может быть связано с активной минерализацией зубов, и такие пятна обычно быстро исчезают. Однако, если белые пятна появляются после падения, это может быть признаком повреждения эмали, и в этом случае необходимо обратиться к стоматологу.

❇️ Что делать, если на зубах появились белые пятна?

При обнаружении белых пятен на зубах важно как можно скорее обратиться к стоматологу. Только специалист сможет точно определить причину их появления и предложить соответствующее лечение.

Если это кариес: Врач проведет лечение, чтобы предотвратить дальнейшее разрушение зуба. Чем раньше вы обратитесь за помощью, тем легче будет устранить проблему.

Если это гипоплазия: Врач может рекомендовать специальную диету с повышенным содержанием кальция и обработку зубов для их защиты. Молочные зубы с гипоплазией особенно уязвимы и могут потребовать покрытия специальными лаками или серебрения.

-3

Если это флюороз: Необходимо изменить рацион и исключить из него продукты, богатые фтором. На ранних стадиях флюороз можно лечить с помощью реминерализации, используя специальные препараты.

Для удаления старых белых пятен можно обратиться к услугам эстетической стоматологии, которая предлагает отбеливающие пасты и полоски без фтора.

❇️ Заключение

Появление белых пятен на зубах — это не только косметическая проблема, но и сигнал о возможных заболеваниях. Не стоит откладывать визит к стоматологу, если вы заметили такие изменения.

Забота о здоровье зубов — это важный аспект общего здоровья, который не следует игнорировать. Помните, что своевременное обращение к специалисту поможет сохранить ваши зубы здоровыми и красивыми на долгие годы.