Найти в Дзене

Метастаз в лимфоузел уротелиального рака с плоскоклеточной дифференцировкой

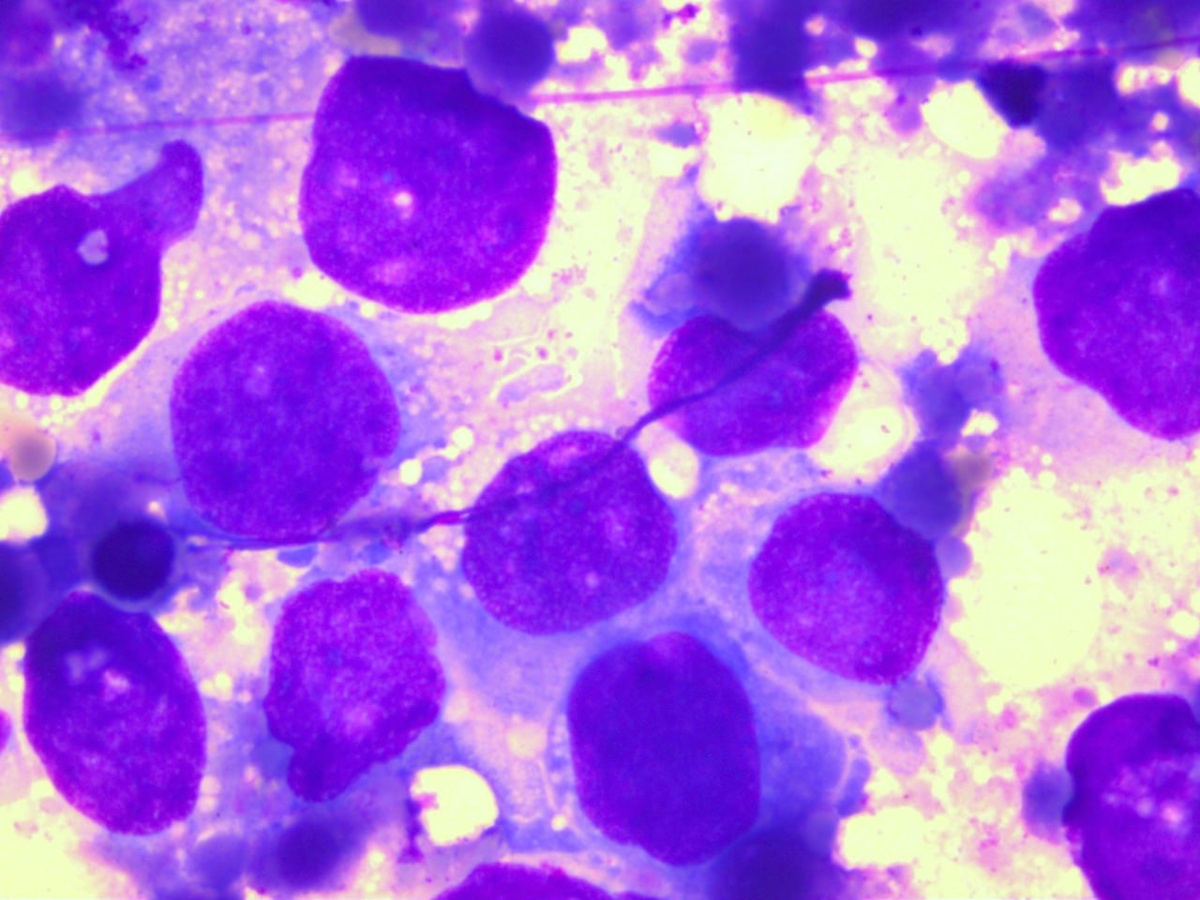
Метастаз в лимфоузел уротелиального рака с плоскоклеточной дифференцировкой Объективы 10x, 100x #цитология #метастаз #лимфоузел

Метастаз в лимфоузел уротелиального рака с плоскоклеточной дифференцировкой

Объективы 10x, 100x

#цитология #метастаз #лимфоузел

-2
-3
-4
-5
-6
-7
-8