Добавить в корзинуПозвонить
Найти в Дзене

Лимфома средостения⁠⁠

Лимфома представляет из себя злокачественное новообразование возникающее из лимфоцитов (клеток иммунной системы). Существует множество типов лимфом, но в средостении чаще всего встречаются два основных типа: 1. Лимфома Ходжкина. Это один из самых распространенных видов лимфом, локализующихся в средостении. 2. Первичная медиастинальная В-крупноклеточная лимфома. Это подтип неходжкинской лимфомы. Другие типы (встречаются реже): другие В-клеточные и Т-клеточные лимфомы. В настоящее время все типы лимфом хорошо поддаются лечению, это один из самых излечимых видов рака. Современные протоколы химиотерапии и лучевой терапии позволяют добиться полной ремиссии у большинства пациентов. Местные симптомы : Общие симптомы : Молодая пациентка с жалобами на кашель, одышку, была направления на диагностическую рентгенографию ОГК. Рентгенологическая картина расширения тени средостения, говорящая о наличии образования, наиболее соответствует лимфоме средостения. Рек-но: КТ ОГК, конс. онколога. Пример ли

Лимфома представляет из себя злокачественное новообразование возникающее из лимфоцитов (клеток иммунной системы).

Существует множество типов лимфом, но в средостении чаще всего встречаются два основных типа:

1. Лимфома Ходжкина.

Это один из самых распространенных видов лимфом, локализующихся в средостении.

  • Кто болеет: Чаще молодые люди, особенно женщины в возрасте 20-35 лет.
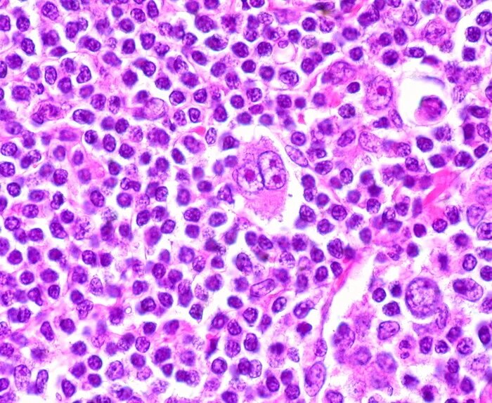
  • Особенности: Для этого типа характерно наличие специфических клеток Рид-Березовского-Штернберга. Часто поражает лимфоузлы средостения, вызывая их значительное увеличение.
Клетки Березовского-Рид-Штернберга
Клетки Березовского-Рид-Штернберга

2. Первичная медиастинальная В-крупноклеточная лимфома.

Это подтип неходжкинской лимфомы.

  • Кто болеет: Чаще люди в возрасте 30-40 лет, несколько чаще женщины.
  • Особенности: Возникает из В-лимфоцитов тимуса (вилочковой железы). Опухоль часто бывает объемной, может прорастать в соседние органы (легкие, перикард, крупные сосуды).

Другие типы (встречаются реже): другие В-клеточные и Т-клеточные лимфомы.

В настоящее время все типы лимфом хорошо поддаются лечению, это один из самых излечимых видов рака. Современные протоколы химиотерапии и лучевой терапии позволяют добиться полной ремиссии у большинства пациентов.

-2

Местные симптомы :

  • Кашель — из-за давления на трахею и бронхи.
  • Одышка — сдавление дыхательных путей.
  • Синдром верхней полой вены (СВПВ):
    Отек и синюшность лица и шеи.
    Набухание вен на шее.
    Головные боли.
    Это грозный симптом, требующий немедленного лечения.
  • Дисфагия (нарушение глотания) — давление на пищевод.
  • Охриплость голоса — поражение возвратного гортанного нерва.
  • Боль в груди.
-3

Общие симптомы :

  • Немотивированная лихорадка (температура выше 38°C без признаков инфекции).
  • Потеря веса (более 10% от массы тела за 6 месяцев).
  • Слабость, утомляемость.

Молодая пациентка с жалобами на кашель, одышку, была направления на диагностическую рентгенографию ОГК.

-4
-5
-6

Рентгенологическая картина расширения тени средостения, говорящая о наличии образования, наиболее соответствует лимфоме средостения. Рек-но: КТ ОГК, конс. онколога.

Пример лимфомы средостения на КТ ОГК:

-7
-8

Биопсия и гистологическое исследование-это единственный метод, позволяющий поставить точный диагноз и определить тип лимфомы.

Категория годности с диагнозом лимфома средостения по ст.9(Злокачественные новообразования лимфоидной, кроветворной и родственных им тканей:) а-Д (не годен к военной службе) по I, II, III графам.

https://t.me/MME_SurgeryRadiolodgy

https://vk.com/club223629464