Добавить в корзинуПозвонить
Найти в Дзене
Доктор Костенков

Гранулематоз ЖКТ

Гранулематоз ЖКТ: когда иммунитет строит «крепости» в неположенном месте 🏰 В мире гастроэнтерологии есть заболевания, которые напоминают детектив с запутанными уликами. Одно из них — гранулематоз желудочно-кишечного тракта. Это не самостоятельный диагноз, а скорее важная подсказка, которую мы находим при обследовании. Давайте расшифруем, что же это значит. Представьте, что иммунная система — это армия, охраняющая ваше тело. Когда она сталкивается с чем-то, что не может быстро уничтожить или «опознать» (например, стойкая бактерия, инородная частица), она поступает мудро: она заключает эту угрозу в прочную капсулу, как в крепость. Эта микроскопическая «крепость» из иммунных клеток и есть гранулема. Она изолирует проблему, не давая ей распространяться. С одной стороны, это защитный механизм. С другой — сами эти «крепости», появляясь в стенке кишечника, могут вызывать массу проблем. Если гистолог в описании биопсии указал «гранулематозное воспаление», для нас это сигнал. Он говорит: «Здес
Оглавление

Гранулематоз ЖКТ: когда иммунитет строит «крепости» в неположенном месте 🏰

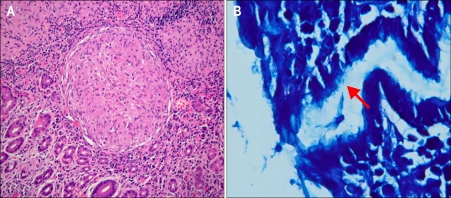
В мире гастроэнтерологии есть заболевания, которые напоминают детектив с запутанными уликами. Одно из них — гранулематоз желудочно-кишечного тракта. Это не самостоятельный диагноз, а скорее важная подсказка, которую мы находим при обследовании. Давайте расшифруем, что же это значит.

Что такое гранулема? 🧐

Представьте, что иммунная система — это армия, охраняющая ваше тело. Когда она сталкивается с чем-то, что не может быстро уничтожить или «опознать» (например, стойкая бактерия, инородная частица), она поступает мудро: она заключает эту угрозу в прочную капсулу, как в крепость.

Эта микроскопическая «крепость» из иммунных клеток и есть гранулема. Она изолирует проблему, не давая ей распространяться. С одной стороны, это защитный механизм. С другой — сами эти «крепости», появляясь в стенке кишечника, могут вызывать массу проблем.

Почему гранулемы появляются в кишечнике? 🤔

Если гистолог в описании биопсии указал «гранулематозное воспаление», для нас это сигнал. Он говорит: «Здесь идет хронический процесс, и иммунная система работает в усиленном режиме». Основные «подозреваемые»:

  1. Болезнь Крона. 🎯 Это чемпион по гранулемам в ЖКТ. При этом заболевании иммунная система атакует собственный кишечник, и гранулемы — ее характерный «почерк». Они могут возникнуть в любом отделе — от рта до ануса.
  2. Инфекции. Некоторые бактерии, такие как туберкулезная палочка или иерсинии, умеют «прятаться» от иммунитета, и для их изоляции организм строит гранулемы.
  3. Саркоидоз. Это системное заболевание, при котором гранулемы могут образовываться в разных органах, и иногда оно «бьет» и по желудку, и по кишечнику.
  4. Инородные тела. Например, мельчайшие частички хирургических швов после операций.

Как это проявляется «в животе»? 🚨

Симптомы полностью зависят от того, где и сколько этих «крепостей» построилось.

  • Боли в животе, часто спастического характера.
  • Диарея, иногда с примесью крови или слизи.
  • Тошнота, вздутие, ощущение тяжести.
  • Слабость, потеря веса, у детей — отставание в росте. 📉
  • При поражении пищевода — трудности с глотанием, при поражении прямой кишки — боли при дефекации.

Коварство в том, что болезнь может тянуться годами, с периодами обострений и затиший.

Как мы это находим и лечим? 🕵️‍♀️

Золотым стандартом диагностики является эндоскопия с взятием биопсии (маленького кусочка ткани). Мы смотрим слизистую изнутри, а гистологи под микроскопом ищут те самые «крепости». Также помогают МРТ или КТ кишечника, которые показывают утолщение стенки и другие изменения.

Лечение направлено на причину:

  • Если это болезнь Крона, мы назначаем специальную терапию, чтобы «усыпить» разбушевавшийся иммунитет. Это могут быть противовоспалительные препараты, иммуносупрессоры или современная генно-инженерная терапия.
  • Если это инфекция (например, туберкулез), подключаются мощные антибиотики.
  • Важнейшую роль играет питание. Иногда требуется специальная диета, чтобы дать кишечнику отдых, или даже энтеральное питание через зонд.

Гранулематоз в ЖКТ — это не приговор, а важный ключ к разгадке. Он помогает нам поставить точный диагноз и подобрать правильное, прицельное лечение. Услышав этот термин, не пугайтесь. Воспринимайте его как начало пути к пониманию того, что происходит с вашим организмом, и к обретению контроля над болезнью.

На связи!