Добавить в корзинуПозвонить
Найти в Дзене

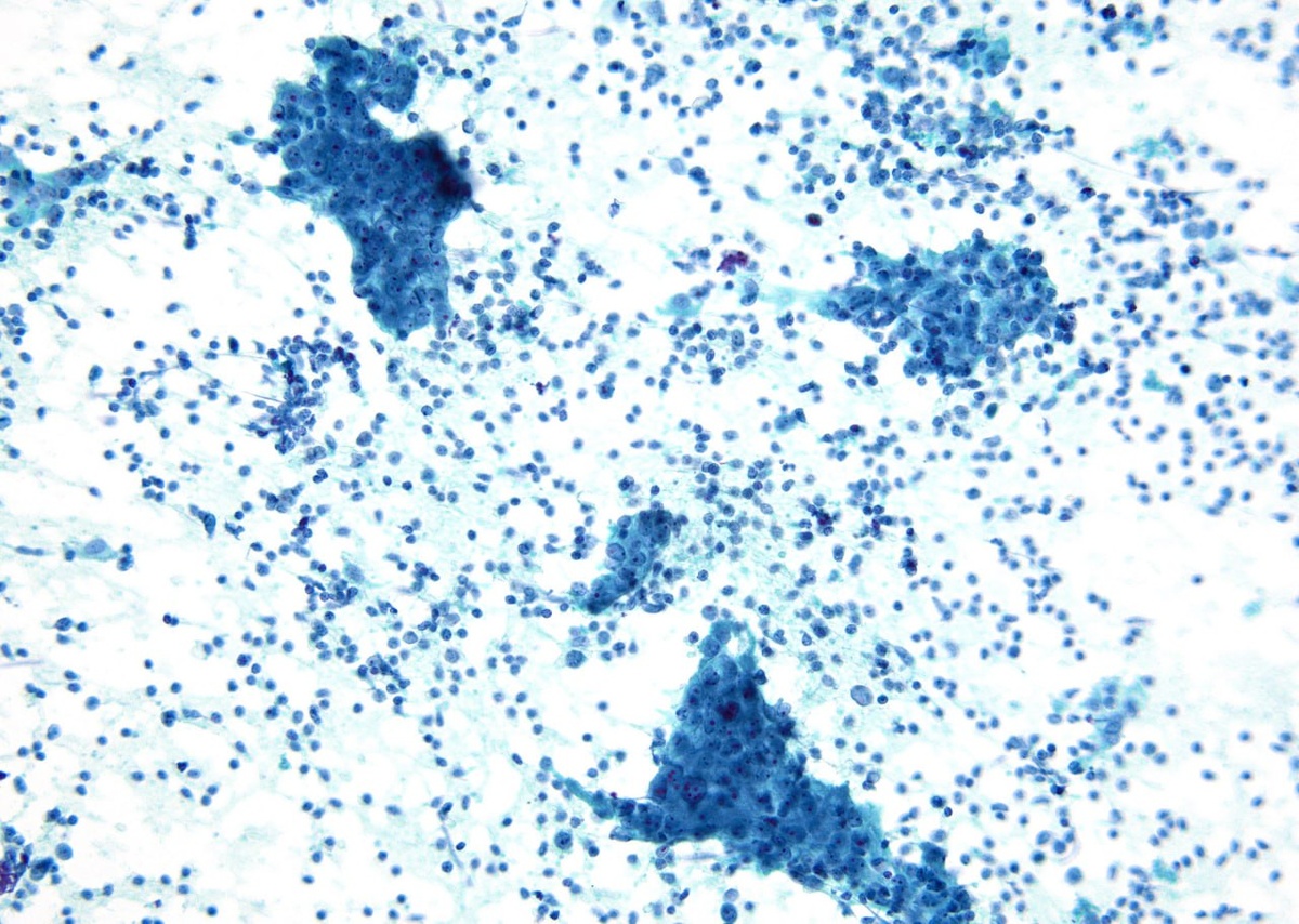
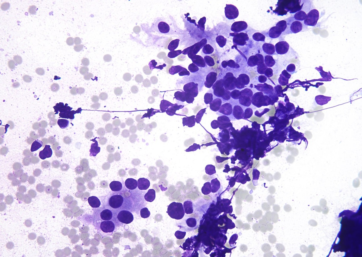
Околоушная слюнная железа

Околоушная слюнная железа Несмотря на лимфоцитарный фон с эпителием, имеющим черты онкоцитов, на малом увеличении наличие клеток с высоким ядерно-цитоплазматических соотношением и крупными ядрышками опровергает предположение об опухоли Уортина (Warthin). Положительное иммунохимическое окрашивание материала ТАБ на андрогеновый рецептор (AR+) подтвердило окончательный диагноз — протоковая карцинома слюнной железы. #цитология #слюннаяжелеза

Околоушная слюнная железа

Несмотря на лимфоцитарный фон с эпителием, имеющим черты онкоцитов, на малом увеличении наличие клеток с высоким ядерно-цитоплазматических соотношением и крупными ядрышками опровергает предположение об опухоли Уортина (Warthin).

Положительное иммунохимическое окрашивание материала ТАБ на андрогеновый рецептор (AR+) подтвердило окончательный диагноз — протоковая карцинома слюнной железы.

#цитология #слюннаяжелеза

-2
-3