Добавить в корзинуПозвонить
Найти в Дзене
Ильинская больница

Случай из практики: ущемленная паховая грыжа

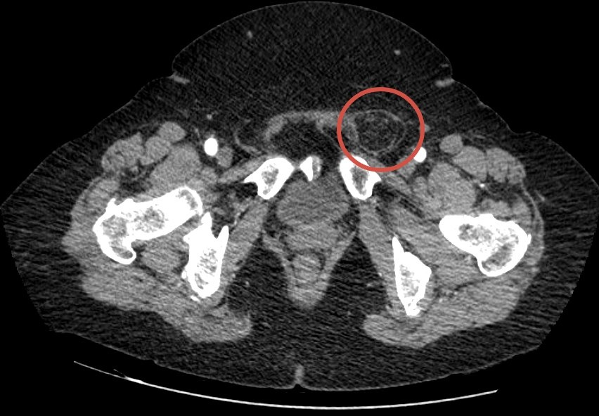
На днях в отделение экстренной помощи обратилась 77-летняя женщина с жалобами на сильную боль в паховой области. Накануне пациентка была на экскурсии, много гуляла и отметила появление тянущих болей. На следующий день обнаружила болезненное уплотнение, которое муж сумел вправить, после чего боль утихла. Однако уже на следующий день после поднятия тяжести снова возникла интенсивная боль, которая не проходила. Компьютерная томография показала паховую грыжу с начальными признаками ущемления большого сальника. Пациентку экстренно прооперировали лапароскопическим доступом. Сейчас её состояние улучшается, и она идёт на поправку. Паховая грыжа — это не безобидное состояние. Даже если удаётся временно «вправить» выпячивание и боль проходит, существует риск ущемления органов, что требует срочного хирургического вмешательства.
При появлении боли или уплотнения в паховой области не откладывайте обращение к врачу. Своевременная помощь может спасти здоровье и жизнь.
Оглавление

На днях в отделение экстренной помощи обратилась 77-летняя женщина с жалобами на сильную боль в паховой области.

Анамнез

Накануне пациентка была на экскурсии, много гуляла и отметила появление тянущих болей.

На следующий день обнаружила болезненное уплотнение, которое муж сумел вправить, после чего боль утихла.

Однако уже на следующий день после поднятия тяжести снова возникла интенсивная боль, которая не проходила.

Диагностика

Компьютерная томография показала паховую грыжу с начальными признаками ущемления большого сальника.

Лечение

Пациентку экстренно прооперировали лапароскопическим доступом. Сейчас её состояние улучшается, и она идёт на поправку.

Важно знать

Паховая грыжа — это не безобидное состояние. Даже если удаётся временно «вправить» выпячивание и боль проходит, существует риск ущемления органов, что требует срочного хирургического вмешательства.
При появлении боли или уплотнения в паховой области не откладывайте обращение к врачу. Своевременная помощь может спасти здоровье и жизнь.

Автор: анестезиолог-реаниматолог Эзугбая Бека Сосоевич.