Найти в Дзене

Ученые КГУ проектируют персонализированные имплантаты с применением искусственных нейронных сетей

Ученые КГУ обучили нейросеть быстро и точно выделять костные ткани по результатам компьютерной томографии. Ученые используют нейросеть для проектирования персонализированных имплантатов, чтобы сократить сроки их изготовления. Старший научный сотрудник молодежной лаборатории «Перспективные материалы для индустрии и биомедицины» Курганского госуниверситета, кандидат физико-математических наук Олег Черепанов занимается проектированием персонализированных имплантатов с использованием искусственных нейронных сетей. —В случаях тяжёлых травм, врождённых дефектов или онкологических заболеваний костной ткани возникает необходимость в замещении фрагмента кости специализированным имплантатом. Каждый такой случай индивидуален, поэтому требуется изготовление персонализированных имплантатов. Такие имплантаты в точности повторяют уникальную геометрию кости пациента, что критически важно для сложных областей. Создание вручную идеальной 3D-модели имплантата, учитывающей все анатомические, биохимически
Олег Черепанов
Олег Черепанов

Ученые КГУ обучили нейросеть быстро и точно выделять костные ткани по результатам компьютерной томографии. Ученые используют нейросеть для проектирования персонализированных имплантатов, чтобы сократить сроки их изготовления.

Старший научный сотрудник молодежной лаборатории «Перспективные материалы для индустрии и биомедицины» Курганского госуниверситета, кандидат физико-математических наук Олег Черепанов занимается проектированием персонализированных имплантатов с использованием искусственных нейронных сетей.

—В случаях тяжёлых травм, врождённых дефектов или онкологических заболеваний костной ткани возникает необходимость в замещении фрагмента кости специализированным имплантатом. Каждый такой случай индивидуален, поэтому требуется изготовление персонализированных имплантатов. Такие имплантаты в точности повторяют уникальную геометрию кости пациента, что критически важно для сложных областей. Создание вручную идеальной 3D-модели имплантата, учитывающей все анатомические, биохимические и хирургические особенности, требует большого опыта и глубоких знаний на стыке медицины и инженерии, — объясняет Олег Черепанов, — Поэтому мы решили задействовать в этой работе искусственный интеллект.

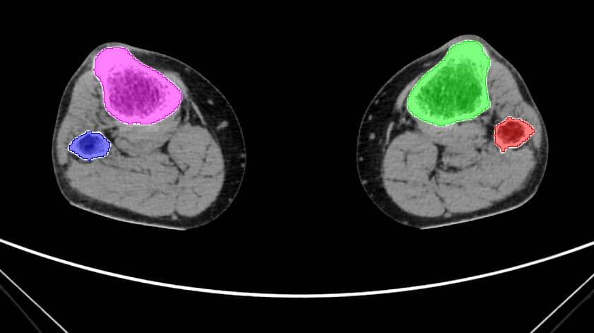
Базой для обучения нейросетей стали изображения, сделанные при помощи компьютерной томографии.

Аппарат компьютерной томографии делает множество послойных снимков. В результате врачи и инженеры получают сотни виртуальных срезов тела человека. Это позволяет увидеть мельчайшие детали анатомии. Но на каждом таком снимке видны как кости, так и мышцы, сосуды, жировая ткань.

Ученые КГУ обучили нейросеть выделять кость из других тканей на каждом срезе компьютерной томографии:

— Нам, людям, кажется, что это несложно, но заставить нейросеть решать данную задачу не так просто. Нейросеть учат, показывая ей тысячи размеченных срезовКТ. Это колоссальный труд: мы в полуручном режиме разметили порядка 5 тысяч срезов, «покрасив» каждый пиксель, относящийся к кости, — рассказывает Олег Черепанов.

Такая задача в машинном обучении называется семантической сегментацией.

-2

После долгого процесса обучения был получен результат — одна из нейронных сетей может с точностью 98% находить все пиксели кости на новых снимках КТ, затрачивая на операцию менее минуты.

Результаты семантической сегментации снимков КТ открывают дорогу к 3D-реконструкции костей и проектированию персонифицированных имплантатов.

-3

Медицинский работник визуально по 3D-реконструкции костей и исходным КТ-снимкам определяет границы будущего имплантата: верхний и нижний срезы, ограничивающие область для замещения кости. Далее с использованием разработанного учеными КГУ программного обеспечения создается 3D-модель имплантата.

В планах ученых КГУ разработать программный комплекс проектирования персонифицированных имплантатов костных тканей, включающий подсистемы сегментации КТ-снимков, автоматического поиска патологий и создания 3D-модели имплантата.