Найти в Дзене
SmartLearn

Поговорим о микоплазмах.

Микоплазмы – от природы, генетически лишены клеточной стенки. Именно поэтому они обладают выраженным полиморфизмом и могут принимать самые разнообразные формы. По размерам эти микроорганизмы близки к вирусам, а систематически их относят к классу Mollicutes («мягкокожие»). В культуральных условиях колонии микоплазм имеют характерный вид, напоминающий «яичницу-глазунью»: осмотическое давление среды вызывает «сплющивание» клеток по периферии и скопление их в центре.🍳 Особенности патогенеза: Несмотря на отсутствие эндотоксина, микоплазмы обладают значительным патогенным потенциалом: 🔵они способны адгезировать к эпителиальным клеткам, эритроцитам, лимфоцитам и другим элементам организма хозяина; 🔵при фиксации к эритроцитам вызывают их лизис и нарушение микроциркуляции; 🔵при связывании с лимфоцитами возможно развитие лимфоцитопении; 🔵нарушают барьерные функции эпителия, изменяют иммунный ответ и могут способствовать аутоиммунным реакциям. Классификация и клиническое значение: Известно б

Микоплазмы – от природы, генетически лишены клеточной стенки. Именно поэтому они обладают выраженным полиморфизмом и могут принимать самые разнообразные формы. По размерам эти микроорганизмы близки к вирусам, а систематически их относят к классу Mollicutes («мягкокожие»).

В культуральных условиях колонии микоплазм имеют характерный вид, напоминающий «яичницу-глазунью»: осмотическое давление среды вызывает «сплющивание» клеток по периферии и скопление их в центре.🍳

Особенности патогенеза:

Несмотря на отсутствие эндотоксина, микоплазмы обладают значительным патогенным потенциалом:

🔵они способны адгезировать к эпителиальным клеткам, эритроцитам, лимфоцитам и другим элементам организма хозяина;

🔵при фиксации к эритроцитам вызывают их лизис и нарушение микроциркуляции;

🔵при связывании с лимфоцитами возможно развитие лимфоцитопении;

🔵нарушают барьерные функции эпителия, изменяют иммунный ответ и могут способствовать аутоиммунным реакциям.

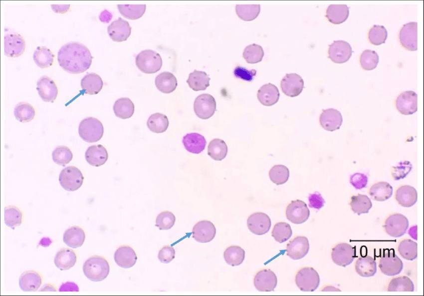
микоплазмы на эритроцитах
микоплазмы на эритроцитах

Классификация и клиническое значение:

Известно более 200 видов микоплазм, однако медицинское значение имеют лишь немногие:

🔴Mycoplasma pneumoniae – возбудитель атипичных пневмоний, часто сопровождающихся внелёгочными проявлениями (поражение кожи, ЦНС, почек, суставов, печени, кроветворной системы).

🔴Mycoplasma genitalium, Mycoplasma hominis и Ureaplasma urealyticum – патогены мочеполовой системы. Они могут вызывать как острые, так и хронические воспалительные процессы, но нередко встречаются в виде длительного бессимптомного носительства.

-3

Диагностика:

🔶ИФА – для обнаружения специфических антител в сыворотке крови;

🔶ПЦР – наиболее чувствительный метод, позволяющий выявить ДНК возбудителя в клиническом материале;

🔶культуральный метод – посев на специальные среды, обогащённые дрожжевым экстрактом, холестерином, а также экстрактами сердца и мозга.

Лечение и профилактика:

🔺Вакцины не существует.

🔺Иммунитет нестойкий.

Терапия проводится строго по результатам антибиотикограммы.

Наиболее часто используют тетрациклины, макролиды и фторхинолоны (учитывая устойчивость ряда штаммов).

-4

P.S. В 2025 году довольно много случае заболеваний микоплазменной пневмонии и как её только не называют (и чем только не лечат!). А всеми любимые антибиотики пенициллинового ряда- не работают(они действуют на клеточную стенку, которой нет у микоплазм).

----------------------------------------------

Больше бесплатных учебных материалов для студентов медВУЗов тут.