Добавить в корзинуПозвонить
Найти в Дзене

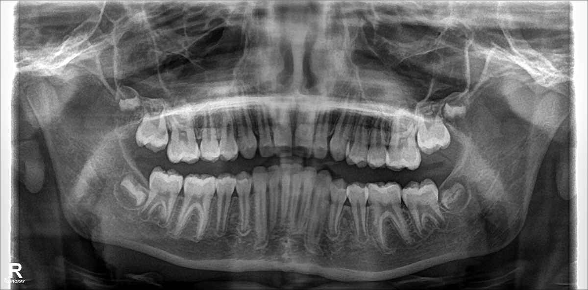
Почему ортодонты удаляют зачатки зубов у подростков?

Зубы мудрости часто ассоциируются с болью и сложным удалением уже во взрослом возрасте. Но мало кто знает, что они могут мешать ещё до появления — на стадии зачатков. А вместе с ними ортодонты часто рекомендуют и другую процедуру — пластику уздечки языка. Разберёмся, зачем всё это нужно, в каком возрасте делать и как проходят операции. У многих людей челюсть слишком мала, чтобы вместить все зубы. Зачатки «восьмёрок» начинают давить на вторые моляры, провоцируя скученность передних зубов и тормозя движение при лечении брекетами. Основные проблемы: Поэтому современные ортодонты рекомендуют удалять зачатки зубов мудрости ещё до их прорезывания. Но удаление зачатков зубов - не единственная операция, которую проводят ортодонты перед установкой брекетов. Также врачи часто выполяют пластику уздечки языка. Короткая уздечка ограничивает движение языка. Он не достаёт до нёба, и это приводит к миофункциональным нарушениям: Пластика уздечки языка помогает вернуть языку правильное положение и сниз
Оглавление

Зубы мудрости часто ассоциируются с болью и сложным удалением уже во взрослом возрасте. Но мало кто знает, что они могут мешать ещё до появления — на стадии зачатков. А вместе с ними ортодонты часто рекомендуют и другую процедуру — пластику уздечки языка.

Разберёмся, зачем всё это нужно, в каком возрасте делать и как проходят операции.

Почему зубы мудрости мешают прикусу ещё до прорезывания

У многих людей челюсть слишком мала, чтобы вместить все зубы. Зачатки «восьмёрок» начинают давить на вторые моляры, провоцируя скученность передних зубов и тормозя движение при лечении брекетами.

-2

Основные проблемы:

  • скученность зубов;
  • давление на соседние зубы сзади;
  • замедление ортодонтического лечения.

Поэтому современные ортодонты рекомендуют удалять зачатки зубов мудрости ещё до их прорезывания.

Зачем удалять зачатки, а не ждать появления зуба

  • Меньше осложнений. Пока корни не сформированы, операция проходит быстрее и легче.
  • Прогноз лечения лучше. Брекеты работают эффективнее, срок лечения сокращается.
  • Стабильный результат. Без давления со стороны восьмёрок снижается риск рецидива.
  • Профилактика кист и воспалений. Потенциальные проблемы устраняются заранее.

Но удаление зачатков зубов - не единственная операция, которую проводят ортодонты перед установкой брекетов. Также врачи часто выполяют пластику уздечки языка.

Как уздечка языка влияет на прикус

Короткая уздечка ограничивает движение языка. Он не достаёт до нёба, и это приводит к миофункциональным нарушениям:

  • неправильному глотанию;
  • открытому прикусу;
  • скученности зубов;
  • рецидивам после брекетов.
-3

Пластика уздечки языка помогает вернуть языку правильное положение и снизить нагрузку на зубные ряды.

Как проходит операция

  • Удаление зачатка зуба мудрости длится 20–30 минут, обычно под местной анестезией.
  • Пластика уздечки занимает 5–15 минут.
-4

Восстановление проходит быстро: за 2–3 недели после удаления и несколько дней после пластики уздечки.

В каком возрасте лучше проводить вмешательства?

  • Удаление зачатков — оптимально в 15–18 лет, пока корни не сформированы. Чем старше пациент, тем сложнее операция.
  • Пластика уздечки языка — лучше сделать в детстве, чтобы предотвратить проблемы с прикусом и речью. Но выполнить её можно и во взрослом возрасте, если есть показания.

❓ Частые вопросы пациентов

Нужно ли удалять все зачатки зубов мудрости?
Не всегда. Решение принимает ортодонт и хирург после диагностики. Если на снимке видно, что «восьмёрки» растут неправильно и будут мешать, врач рекомендует удаление.

В каком возрасте лучше удалять зачатки зубов мудрости?
Оптимально — в 15–18 лет. В этом возрасте корни ещё не сформированы, операция проходит проще, а заживление — быстрее.

Больно ли удалять зачатки зубов мудрости?
Нет. Операция проводится под местной анестезией. Возможен небольшой дискомфорт после вмешательства, который снимается обезболивающими.

Обязательно ли делать пластику уздечки языка?
Если уздечка ограничивает движение языка, мешает правильному глотанию или вызывает дефекты речи, пластика нужна. Она улучшает прогноз ортодонтического лечения и снижает риск рецидива.

Можно ли делать пластику уздечки во взрослом возрасте?
Да. Взрослым тоже показана операция, если уздечка влияет на прикус или речь. Но у детей вмешательство особенно эффективно — оно предотвращает формирование неправильного прикуса.

Сколько длится заживление после пластики уздечки языка?
Обычно всего несколько дней. Неприятные ощущения быстро проходят, а результат заметен почти сразу.

В LD Dental мы работаем в концепции функциональной и эстетической стоматологии.

Наши ортодонты и гнатологи используют международные протоколы (в том числе методику Славичека), чтобы устранить не только последствия, но и причины проблем с прикусом.

-5

Что нас отличает:

  • комплексный подход — в команде работают ортодонты, гнатологи, хирурги, терапевты;
  • точная диагностика: от 3D-снимков до кондилографии и анализа прикуса в артикуляторе;
  • минимальная травматичность операций и комфорт для пациента;
  • сопровождение на каждом этапе лечения.

Мы уверены: стоматология должна быть не про страх и боль, а про заботу, предсказуемый результат и доверие.

👉 Хотите получить индивидуальный план лечения и понять, нужны ли вам удаление зачатков зубов мудрости или пластика уздечки языка?

Переходите на наш сайт LD Dental и запишитесь на консультацию.