Найти в Дзене
Наука наизнанку

Интересные факты о митохондриях – энергостанциях в живых клетках

Все слышали про митохондрии – про крохотные органеллы внутри клеток, имеющие размер от 1 до 70 мкм. Это энергетические станции клеток. Основная их функция - окисление органических молекул и использование освобождающейся при реакции энергии для генерации электрического потенциала, синтеза АТФ и термогенеза (поддержания температуры). Впервые митохондрии были обнаружены в мышечных клетках насекомых в 1850 году и ученые обозначали их как какие-то гранулы (работы Р. Келликера) - их сначала назвали саркосомами (этот термин до сих пор применяется для обозначения митохондрий мышечной ткани). Называть митохондриями эти органеллы стали в 1898 г. Однако более подробное их изучение биохимиками началось лишь в 40-50-х годах прошлого столетия. А история исследования митохондрий насчитывает всего около 130 лет. И до сих пор мы мало знаем про эти структуры. Число митохондрий в клетке непостоянно. Их особенно много в клетках, у которых велика потребность в энергии. Так, одноклеточные зелёные водоросли

Все слышали про митохондрии – про крохотные органеллы внутри клеток, имеющие размер от 1 до 70 мкм. Это энергетические станции клеток. Основная их функция - окисление органических молекул и использование освобождающейся при реакции энергии для генерации электрического потенциала, синтеза АТФ и термогенеза (поддержания температуры).

Впервые митохондрии были обнаружены в мышечных клетках насекомых в 1850 году и ученые обозначали их как какие-то гранулы (работы Р. Келликера) - их сначала назвали саркосомами (этот термин до сих пор применяется для обозначения митохондрий мышечной ткани). Называть митохондриями эти органеллы стали в 1898 г. Однако более подробное их изучение биохимиками началось лишь в 40-50-х годах прошлого столетия. А история исследования митохондрий насчитывает всего около 130 лет. И до сих пор мы мало знаем про эти структуры.

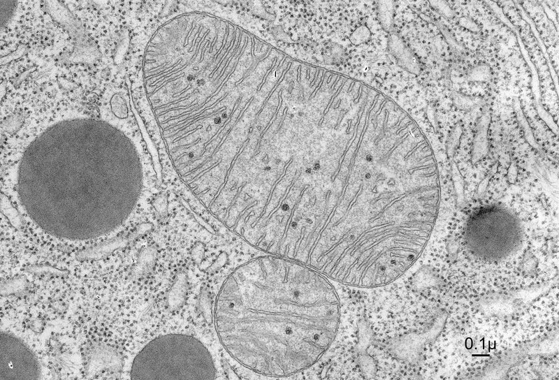
Митохондрия при наблюдении в микроскоп
Митохондрия при наблюдении в микроскоп

Число митохондрий в клетке непостоянно. Их особенно много в клетках, у которых велика потребность в энергии. Так, одноклеточные зелёные водоросли (например, хлорелла), имеют лишь одну гигантскую митохондрию, тогда как амёба Chaos chaos содержит до 500 000 митохондрий. У кишечных анаэробных паразитов и других простейших из этого класса митохондрии в клетках вообще отсутствуют.

Геном митохондрий растений значительно больше, чем у животных и может достигать до 370000 нуклеотидных пар, что примерно в 20 раз больше генома митохондрий человека.

-3

У митохондрий 2 мембраны – наружная и внутренняя и у них есть собственная ДНК (мтДНК), а так же собственная система синтеза белка (рибосомы). ДНК митохондрий наследуются исключительно по материнской линии. Все свои митохондрии мы получаем только от матери! Сперматозоид тоже имеет митохондрии (ему нужна энергия для движения хвостика), но его митохондрии помечаются и уничтожаются после оплодотворения, чтобы генетический их материал не попал в яйцеклетку.

Почему митохондрии сохранили свою собственную ДНК, передав большинство генов в ядро клетки? На этот вопрос до сих пор нет ответа.

-4

Митохондрии - это самостоятельные клетки внутри обычной клетки. Ученые считают, что на заре зарождения жизни произошел симбиоз различных видов одноклеточных бактерий.

В соответствии с теорией симбиогенеза, митохондрии появились внутри клеток в результате захвата примитивными клетками (прокариотами) нужных их бактерий. Но не для пищи, а для симбиоза. Клетки, которые не могли сами использовать кислород для генерации энергии, имели серьёзные ограничения в возможностях. А другие бактерии (прогеноты, протомитохондрии) - могли это делать.

Одной из основных функций митохондрий является синтез АТФ - универсальной формы химической энергии в любой живой клетке. Данная молекула может образовываться двумя путями: в результате субстратного фосфорилирования в жидкой фазе (например, при гликолизе) или в процессе мембранного фосфорилирования, связанного с использованием энергии трансмембранного электрохимического градиента протонов (ионов водорода). Митохондрии реализуют оба эти механизма.

-5

Митохондрии, как и обычные клетки умеют размножаться и размножаться независимо от клетки! Этот процесс называется биогенез. Делают это путем деления пополам. Нет потребности в АТФ – митохондрий в клетках будет мало. Если человек тренируется с большими нагрузками и энергозатратами на мышечную массу – количество митохондрий в клетках увеличится, сила мышц вырастет даже без увеличения мышечной массы. Отсутствие сил и энергии, особенно в возрасте – все это связано именно с работой митохондрий. Их или мало, либо они старые.

Еще митохондрии могут сливаться! Возможно, тогда, когда клеткам не нужно столько АТФ. Есть исследования, что последний всем известный вирус вызывает гиперслияние митохондрий, что подавляет выработку противовирусных интерферонов и упадку сил.

Митохондрии не сидят в клетке на одном и том же месте всю жизнь. Они могут перемещаться внутри клетки, двигаясь по тубулиновым микротрубочкам с помощью белков кинезина и динеина. Самый известный пример такого движения митохондрий - по аксону в нервной клетке. Перемещаются митохондрии туда, где больше всего есть потребность в энергии. Более того, митохондрии могут перемещаться от клетки к клетке! По нанотрубкам, через межклеточные контакты или в экстраклеточных везикулах. Происходит обмен «энергостанциями» между клетками.

Отдельный вопрос – почему митохондрии выбрали для энергоносителя молекулу АТФ (аденозинтрифосфат). Это достаточно сложная короткоживущая молекула кислоты.

-6

Энергия расщепления АТФ – тепловая энергия. Но жизнь любого организма – это еще и электрические процессы переноса ионов. Это тоже важный механизм. Процесс синтеза АТФ в митохондриях биохимики изображают так:

-7

Как видно, митохондрии используют электроны, отрицательные заряды в этом синтезе, высвобождая ионы водорода.

Недавно было установлено, что температура внутри митохондрий в среднем выше на 15 гр выше, чем в самой клетке. И даже внутри митохондрий температура не однородна, разница от 4 до 22 гр. в зависимости от места внутри митохондрии. А самые горячие части митохондрий разогреваются до температуры в 50 градусов. Здесь для науки непонятно, как к таким условиям адаптировались белки, из которых состоят митохондрии.

Есть мнение, что 1 грамм митохондрий вырабатывает энергии больше, чем 1 грамм вещества на Солнце.

Особый интерес вызывает информация о том, что митохондрии вырабатывают электрический потенциал. Особенно в свете того, что именно электричество важно для клеток мышц. До сих пор не объяснено на уровне физики, как мышцы используют энергию АТФ для своего сокращения. Химическая реакция – это одно, а сам физический принцип сокращения, совсем другое. Физика и химия здесь не соединены в одну науку для понимания процесса.

Подумайте, как тепловая энергия от распада АТФ может превратиться в механическую энергию? Это разные виды энергий. Для сокращения мышц нужна энергия взаимодействия (притяжения или отталкивания). Кроме электростатических сил на ум ничего не приходит. Мышцы же не обладают магнетизмом. Сокращение мышц еще и контролируемое.

Этот вопрос обсуждали в статье:

Электрический потенциал, полученный от митохондрий может пролить свет на эти процессы сокращения мышц. Но пока любые работы говорят только про АТФ, как про химическую молекулу, а не про ионный обмен.