Добавить в корзинуПозвонить
Найти в Дзене

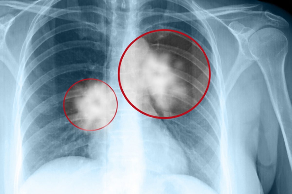
4 необычных признака рака лёгких

Рак лёгких остаётся одним из самых смертоносных онкологических заболеваний в мире, унося ежегодно около 1,8 миллиона жизней, согласно данным Всемирной организации здравоохранения. Это ведущая причина онкологической смертности, опережающая рак груди, простаты и кишечника. Несмотря на известные симптомы, такие как кашель или одышка, рак лёгких часто проявляется необычными признаками, которые легко пропустить, особенно на ранних стадиях. После 50 лет риск заболевания возрастает, особенно у курильщиков, людей с хроническими заболеваниями лёгких или семейной историей рака. Врачи подчёркивают, что раннее выявление может увеличить шансы на выживание, но «скрытые» симптомы часто игнорируются. В этой статье мы разберём, что такое рак лёгких, почему он так опасен, какие четыре необычных признака требуют внимания, и как снизить риск этого коварного заболевания. Рак лёгких — это злокачественная опухоль, возникающая в тканях лёгких, чаще всего в бронхах или альвеолах. Он делится на два основных тип
Оглавление
4 необычных признака рака лёгких
4 необычных признака рака лёгких

Рак лёгких остаётся одним из самых смертоносных онкологических заболеваний в мире, унося ежегодно около 1,8 миллиона жизней, согласно данным Всемирной организации здравоохранения. Это ведущая причина онкологической смертности, опережающая рак груди, простаты и кишечника. Несмотря на известные симптомы, такие как кашель или одышка, рак лёгких часто проявляется необычными признаками, которые легко пропустить, особенно на ранних стадиях. После 50 лет риск заболевания возрастает, особенно у курильщиков, людей с хроническими заболеваниями лёгких или семейной историей рака. Врачи подчёркивают, что раннее выявление может увеличить шансы на выживание, но «скрытые» симптомы часто игнорируются. В этой статье мы разберём, что такое рак лёгких, почему он так опасен, какие четыре необычных признака требуют внимания, и как снизить риск этого коварного заболевания.

Что такое рак лёгких?

Рак лёгких — это злокачественная опухоль, возникающая в тканях лёгких, чаще всего в бронхах или альвеолах. Он делится на два основных типа:

  1. Немелкоклеточный рак лёгких (НМРЛ): составляет 80–85% случаев, включает аденокарциному, плоскоклеточный рак и крупноклеточный рак.
  2. Мелкоклеточный рак лёгких (МРЛ): 10–15% случаев, более агрессивен и быстрее метастазирует.

Лёгкие отвечают за газообмен, обеспечивая организм кислородом и удаляя углекислый газ. Рак нарушает эту функцию, распространяясь на другие органы (мозг, кости, печень) через метастазы.

Ключевые факты:

  • Рак лёгких диагностируется у 12–14 человек на 100 000 населения ежегодно.
  • 5-летняя выживаемость на ранних стадиях (I–II) достигает 50–60%, но на поздних (III–IV) — менее 5%.
  • Мужчины заболевают чаще женщин, но заболеваемость среди женщин растёт из-за курения.

Почему рак лёгких так опасен?

Рак лёгких называют «тихим убийцей» по нескольким причинам:

  1. Поздняя диагностика. Симптомы появляются на стадиях III–IV, когда опухоль уже распространяется за пределы лёгких.
  2. Агрессивное течение. Мелкоклеточный рак метастазирует в течение месяцев, а НМРЛ быстро прогрессирует.
  3. Сложность лечения. Химиотерапия и лучевая терапия менее эффективны на поздних стадиях, а операция возможна только у 15–20% пациентов.
  4. Неспецифические симптомы. Необычные признаки часто принимаются за простуду, усталость или другие болезни.

Почему это важно? Без лечения рак лёгких приводит к смерти в течение 6–12 месяцев на поздних стадиях, а раннее выявление может продлить жизнь на годы.

Причины и факторы риска рака лёгких

Рак лёгких развивается из-за мутаций в клетках, вызванных хроническим воспалением, токсинами или генетическими факторами. Основные причины:

  1. Курение:Что это? Табачный дым содержит более 70 канцерогенов, повреждающих клетки лёгких.
    Как действует? Вызывает хроническое воспаление и мутации ДНК.
    Кто в зоне риска? Курильщики с выкуриванием более 20 сигарет в день или стажем более 10 лет.
    Факты: Курение ответственно за 85–90% случаев рака лёгких.
  2. Пассивное курение:Что это? Вдыхание табачного дыма от окружающих.
    Как действует? Канцерогены повреждают лёгкие, как при активном курении.
    Кто в зоне риска? Люди, живущие или работающие с курильщиками.
    Факты: Пассивное курение повышает риск рака на 20–30%.
  3. Радон:Что это? Радиоактивный газ, выделяющийся из почвы и строительных материалов.
    Как действует? Повреждает клетки лёгких при вдыхании.
    Кто в зоне риска? Жители регионов с высоким уровнем радона или плохо проветриваемых помещений.
    Факты: Радон вызывает 10–15% случаев рака лёгких.
  4. Хронические заболевания лёгких:Что это? ХОЗЛ (хроническая обструктивная болезнь лёгких), фиброз или туберкулёз.
    Как действует? Хроническое воспаление способствует мутациям.
    Кто в зоне риска? Люди с ХОЗЛ или историей туберкулёза.
    Факты: ХОЗЛ повышает риск рака в 4–6 раз.
  5. Профессиональные канцерогены:Что это? Асбест, угольная пыль, пестициды или тяжёлые металлы.
    Как действует? Повреждают лёгочную ткань, вызывая мутации.
    Кто в зоне риска? Работники строительства, шахт или химической промышленности.
    Факты: Асбест повышает риск рака на 20–50%.
  6. Генетическая предрасположенность:Что это? Мутации в генах (EGFR, KRAS) или семейная история рака.
    Как действует? Увеличивают восприимчивость к канцерогенам.
    Кто в зоне риска? Люди с семейной историей рака лёгких.
    Факты: Семейная история повышает риск в 2–3 раза.
  7. Загрязнение воздуха:Что это? Токсичные вещества в воздухе (выхлопные газы, промышленные выбросы).
    Как действует? Вызывают воспаление и повреждение лёгких.
    Кто в зоне риска? Жители мегаполисов или промышленных зон.
    Факты: Загрязнение воздуха повышает риск на 10–15%.

4 необычных признака рака лёгких

Рак лёгких на ранних стадиях (I–II) часто протекает бессимптомно или проявляется симптомами, которые не связывают с онкологией. Врачи выделяют четыре необычных признака, которые требуют немедленного внимания:

1. Хроническая усталость и слабость

  • Что это? Постоянное чувство утомления, не связанное с физической нагрузкой или недосыпом.
  • Почему возникает? Опухоль выделяет цитокины, вызывающие системное воспаление и снижение энергии. Нарушение газообмена снижает уровень кислорода в крови.
  • Как проявляется? Слабость, снижение работоспособности, трудности с концентрацией.
  • Кто в зоне риска? Курильщики, люди с ХОЗЛ или после 50 лет.
  • Факты: Усталость отмечается у 50–60% пациентов на ранних стадиях.
  • Почему пропускают? Списывают на стресс, переутомление или возрастные изменения.

2. Боль в плече или руке

  • Что это? Тупая или ноющая боль в плече, руке или груди, не связанная с травмой.
  • Почему возникает? Опухоль в верхней части лёгкого (опухоль Панкоста) сдавливает нервы плечевого сплетения. Метастазы в кости также вызывают боль.
  • Как проявляется? Дискомфорт в плече, покалывание в руке, слабость в пальцах.
  • Кто в зоне риска? Курильщики или люди с семейной историей рака.
  • Факты: Боль в плече встречается у 10–20% пациентов с опухолью Панкоста.
  • Почему пропускают? Принимают за остеохондроз, артрит или мышечное напряжение.

3. Отёки лица, шеи или рук

  • Что это? Отечность, особенно по утрам, в области лица, шеи или верхних конечностей.
  • Почему возникает? Опухоль сдавливает верхнюю полую вену, нарушая отток крови (синдром верхней полой вены).
  • Как проявляется? Отечность лица, шеи, покраснение, чувство давления в голове.
  • Кто в зоне риска? Люди с мелкоклеточным раком или поздними стадиями НМРЛ.
  • Факты: Синдром верхней полой вены встречается у 5–10% пациентов.
  • Почему пропускают? Списывают на аллергию, сердечную недостаточность или отёки от соли.

4. Изменения в пальцах (симптом «барабанных палочек»)

  • Что это? Утолщение кончиков пальцев и изменение формы ногтей («часовые стёкла»).
  • Почему возникает? Опухоль вызывает гипоксию и выделяет факторы роста, изменяющие ткани пальцев.
  • Как проявляется? Утолщённые кончики пальцев, выпуклые ногти, боль при надавливании.
  • Кто в зоне риска? Курильщики или люди с хроническими заболеваниями лёгких.
  • Факты: Симптом «барабанных палочек» встречается у 10–20% пациентов с НМРЛ.
  • Почему пропускают? Считают косметическим дефектом или последствием травмы.

Почему эти признаки «необычные»?

Эти симптомы неспецифичны и редко ассоциируются с раком лёгких, особенно на ранних стадиях. Усталость путают со стрессом, боль в плече — с артритом, отёки — с аллергией, а изменения пальцев — с косметическими проблемами. После 50 лет люди склонны игнорировать их, что задерживает диагностику. Врачи подчёркивают: любой из этих признаков, особенно в сочетании с курением, ХОЗЛ или семейной историей, требует немедленного обращения к пульмонологу или онкологу.

Диагностика рака лёгких

Раннее выявление рака лёгких возможно только при регулярном скрининге, особенно для групп риска. Основные методы:

  1. Низкодозная КТ лёгких. Золотой стандарт для выявления узлов или опухолей.
  2. Рентген грудной клетки. Первичный скрининг, но менее точный.
  3. Бронхоскопия. Визуализация бронхов для выявления опухолей.
  4. Биопсия. Анализ ткани для подтверждения диагноза.
  5. Анализы крови:Онкомаркеры (CEA, CYFRA 21-1) для оценки риска.
    Общий анализ для выявления воспаления или анемии.
  6. ПЭТ-КТ. Используется для поиска метастазов.
  7. Спирометрия. Оценивает функцию лёгких при подозрении на ХОЗЛ.

Когда обращаться к врачу? Немедленно при усталости, боли в плече, отёках лица или изменениях пальцев, особенно после 50 лет или при курении.

Скрининг:

  • Низкодозная КТ ежегодно для курильщиков со стажем более 20 пачка-лет (1 пачка в день в течение года).
  • Рентген или анализы каждые 6–12 месяцев при ХОЗЛ или семейной истории.

Лечение рака лёгких

Лечение зависит от типа, стадии и состояния пациента:

  1. Хирургическое лечение:Лобэктомия: удаление доли лёгкого (на стадиях I–II).
    Пневмонэктомия: удаление всего лёгкого (редко).
  2. Лучевая терапия:Используется для уменьшения опухоли или снятия симптомов.
    Часто комбинируется с химиотерапией.
  3. Химиотерапия:Препараты (цисплатин, пеметрексед) замедляют рост опухоли.
    Применяется на стадиях III–IV.
  4. Таргетная терапия:Препараты (гефитиниб, осимертиниб) для опухолей с мутациями EGFR.
  5. Иммунотерапия:Препараты (ниволумаб, пембролизумаб) усиливают иммунный ответ.
  6. Паллиативное лечение:Обезболивание, кислородотерапия, снятие отёков.

Прогноз:

  • На стадиях I–II: 5-летняя выживаемость 50–60% после операции.
  • На стадиях III–IV: выживаемость менее 5%, жизнь продлевается на 6–18 месяцев.

Профилактика рака лёгких

Чтобы снизить риск рака лёгких, особенно после 50 лет:

  • Откажитесь от курения. Полный отказ снижает риск в 2–3 раза за 5–10 лет.
  • Избегайте пассивного курения. Пользуйтесь масками в задымлённых местах.
  • Проверяйте уровень радона. Используйте детекторы в домах с плохой вентиляцией.
  • Питайтесь сбалансированно:Упор на овощи (брокколи, шпинат), фрукты (ягоды, цитрусовые), богатые антиоксидантами.
    Ограничьте красное мясо и трансжиры.
  • Будьте активны. 150 минут умеренной активности в неделю (ходьба, плавание) улучшают функцию лёгких.
  • Контролируйте хронические заболевания. Лечите ХОЗЛ и инфекции лёгких.
  • Регулярно проверяйтесь. Низкодозная КТ и рентген для курильщиков или людей с семейной историей.

Правда, о которой молчат

  • Стигма. Курильщики стесняются обращаться за помощью, боясь осуждения.
  • Недостаток скрининга. Низкодозная КТ недоступна в некоторых регионах.
  • Психологическое бремя. Диагноз рака лёгких вызывает страх и депрессию, затрудняя лечение.
  • Экономические барьеры. Хирургия, таргетная терапия и иммунотерапия стоят дорого.

Заключение

Рак лёгких остаётся одним из самых опасных заболеваний из-за его скрытого течения и поздней диагностики. Хроническая усталость, боль в плече, отёки лица и изменения пальцев — четыре необычных признака, которые нельзя игнорировать, особенно после 50 лет или при курении, ХОЗЛ или семейной истории. Регулярный скрининг (низкодозная КТ), отказ от курения, здоровое питание и физическая активность могут предотвратить развитие рака или выявить его на ранней стадии. Не списывайте симптомы на усталость или возраст — обратитесь к пульмонологу или онкологу при первых тревожных сигналах. Раннее выявление спасает жизни.

Вопрос к читателям: Замечали ли вы необычные симптомы, связанные с лёгкими, и какие меры профилактики вы используете? Поделитесь своим опытом в комментариях!