Найти в Дзене

ПРЕОБРАЖЕНИЕ НА БРЕКЕТ-СИСТЕМЕ ОТ SHIFA❤️

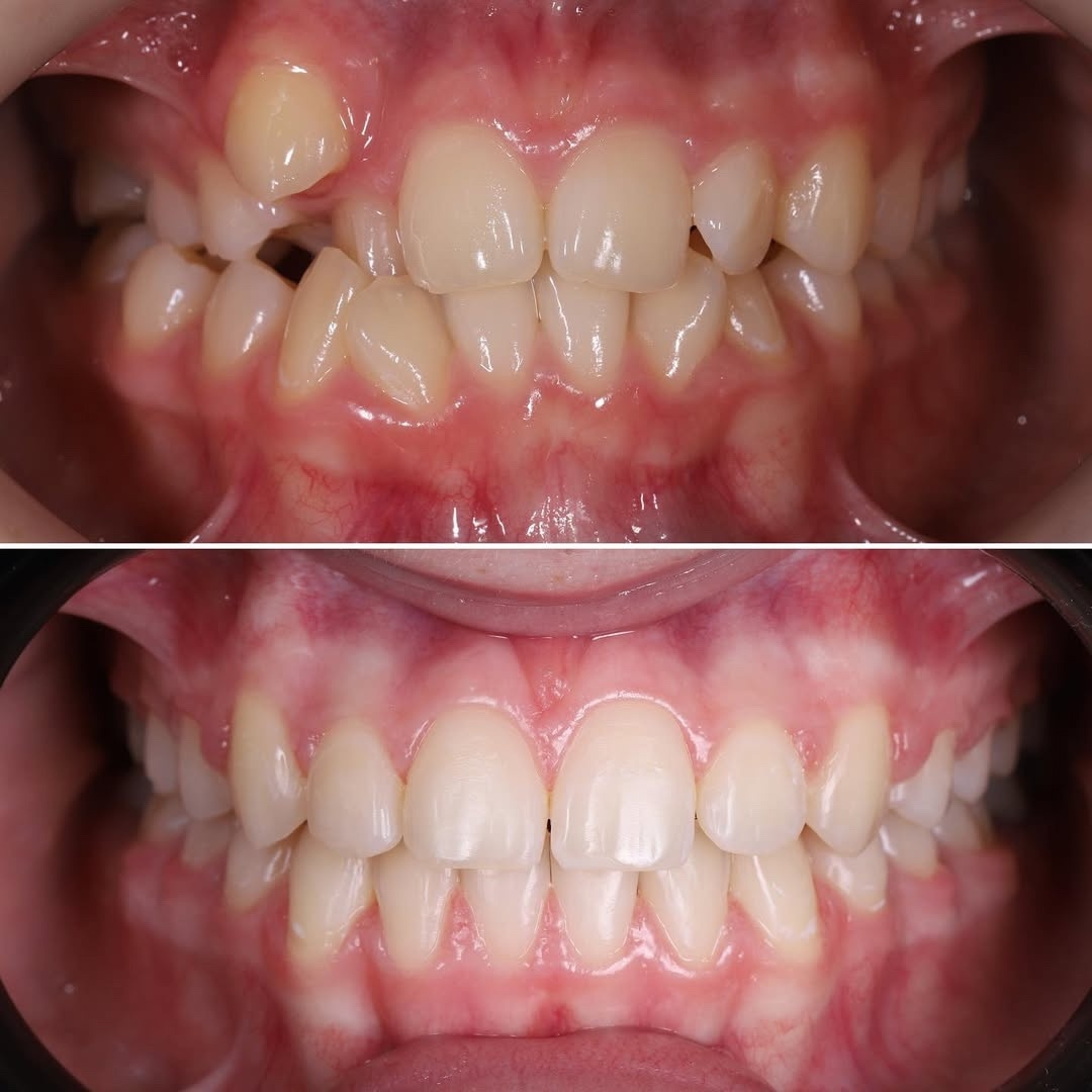
Наша пациентка мечтала об уверенной улыбке, но её смущало расположение клыков.
Мы услышали её пожелания и создали план лечения, который привёл к идеальному результату! 🔥
Что было сделано?👇🏻
✨ Профессиональная гигиена полости рта — подготовили основу для здоровых и красивых зубов.
✨ Несъёмный расширяющий аппарат — мягко скорректировали сужение верхнего зубного ряда.
✨ Лечение на брекет-системе — выровняли зубы и создали гармоничную улыбку.
✨ Исполнение мечты — подарили красивую, голливудскую улыбку, которая меняет жизнь!
Результат говорит сам за себя: уверенность, эстетика и здоровье — всё в одном решении!
Записаться на консультацию в SHIFA


Наша пациентка мечтала об уверенной улыбке, но её смущало расположение клыков.
Мы услышали её пожелания и создали план лечения, который привёл к идеальному результату! 🔥

Что было сделано?👇🏻

✨ Профессиональная гигиена полости рта — подготовили основу для здоровых и красивых зубов.
✨ Несъёмный расширяющий аппарат — мягко скорректировали сужение верхнего зубного ряда.
✨ Лечение на брекет-системе — выровняли зубы и создали гармоничную улыбку.
✨ Исполнение мечты — подарили красивую, голливудскую улыбку, которая меняет жизнь!


Результат говорит сам за себя: уверенность, эстетика и здоровье — всё в одном решении!
Записаться на консультацию в SHIFA

-2