Добавить в корзинуПозвонить
Найти в Дзене

Когда ортодонтия заходит в тупик: реальная история пациента

Желание создать идеальный прикус часто сталкивается с ограниченными возможностями организма, неправильной механикой лечения, слишком долгим временем в брекетах, а также ограниченными ресурсами пациента — временем и финансами. Я подготовил цикл из трёх историй о пациентах, у которых ортодонтическое лечение зашло в тупик. Сегодня расскажу первую историю. Сначала обратим внимание: у пациента в одной из областей челюсти образовалось большое пространство. Если посчитать зубы: один, два, три, четыре… и так далее до центральной линии — их почему-то оказалось девять. А ведь должно быть всего семь! Ортодонт зачем-то создал место ещё под два премоляра. Итог: три с половиной года лечения до прихода ко мне — и непонятный результат. С другой стороны клык стоит не там, где должен. Его сместили, а зачем — загадка. Более того, уже успели вкрутить имплантат. На нижней челюсти созданы промежутки, но для чего — тоже неясно. Складывалось ощущение, что врач собирался поставить «большой» зуб туда, где долже
Оглавление

Желание создать идеальный прикус часто сталкивается с ограниченными возможностями организма, неправильной механикой лечения, слишком долгим временем в брекетах, а также ограниченными ресурсами пациента — временем и финансами.

Я подготовил цикл из трёх историй о пациентах, у которых ортодонтическое лечение зашло в тупик. Сегодня расскажу первую историю.

Случай с лишними зубами

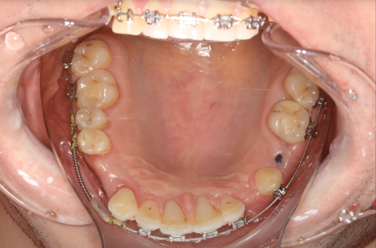
Сначала обратим внимание: у пациента в одной из областей челюсти образовалось большое пространство. Если посчитать зубы: один, два, три, четыре… и так далее до центральной линии — их почему-то оказалось девять.

А ведь должно быть всего семь! Ортодонт зачем-то создал место ещё под два премоляра.

 Верхняя челюсть пациента
Верхняя челюсть пациента

Итог: три с половиной года лечения до прихода ко мне — и непонятный результат.

Ошибки в лечении

С другой стороны клык стоит не там, где должен. Его сместили, а зачем — загадка. Более того, уже успели вкрутить имплантат.

На нижней челюсти созданы промежутки, но для чего — тоже неясно. Складывалось ощущение, что врач собирался поставить «большой» зуб туда, где должен быть небольшой премоляр. В итоге получилось явное несоответствие размеров верхних и нижних зубов.

Нижняя челюсть пациента
Нижняя челюсть пациента

За 3,5 года лечения пациент так и не получил нормального результата. Передние зубы ушли вперёд, между верхними и нижними образовалась щель.

Фронтальная плоскость зубов
Фронтальная плоскость зубов

Особенность случая

У пациента микродентия — зубы слишком маленького размера для его крупных челюстей. Чтобы правильно его пролечить, нужно было равномерно распределить зубы и подготовить их к увеличению при помощи виниров.

Без виниров зубы выглядели бы редкими и неэстетичными, а ортодонтическое лечение было бы нестабильным. Поэтому план включал не только исправление положения зубов, но и последующее протезирование.

Как мы исправляли ситуацию

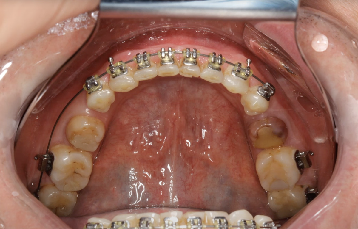
Мы выводили пациента из тупика полтора года. Итого в брекетах он провёл уже пять лет, но три с половиной из них — впустую.

Что мы сделали:

  • аккуратно распределили зубы по всей зубной дуге
  • удалили один старый имплантат и установили новый
  • подготовили промежутки под виниры, чтобы зубы не выглядели слишком крупными
  • на нижней челюсти также создали равномерные промежутки
Фронтальная плоскость зубов
Фронтальная плоскость зубов
Верхняя челюсть
Верхняя челюсть
Нижняя челюсть
Нижняя челюсть

Сейчас пациент находится на финальной стадии лечения и готовится к тотальному протезированию.

Итог

Этот пациент потерял три с половиной года, фактически пройдя путь «в никуда». Он прилетал даже на самолёте из другого города — и всё это ради того, чтобы в итоге услышать: «Ваш случай требует совсем другого подхода».

Главная ошибка изначального лечения — попытка «добавить лишние зубы» там, где их не должно быть. Получилось неэстетично, нефункционально и абсолютно бесперспективно.

👉 Это первая история из цикла «Когда ортодонтия заходит в тупик». В следующих публикациях расскажу ещё два не менее показательных случая.

А если Вас интересует много полезной информации, которая поможет Вам разобраться в нюансах ортодонтического лечения, переходите к нам в телеграм-канал!