Добавить в корзинуПозвонить
Найти в Дзене
Ильинская больница

🏥 Коленные суставы и избыточный вес

🏥 Коленные суставы и избыточный вес Очень часто пациенты с заболеваниями крупных суставов испытывают выраженные боли и ограничение функции этих суставов. Это вынуждает их вести малоподвижный образ жизни. Как следствие, многие из них испытывают проблемы с лишним весом. Ну а лишний вес нередко является причиной отказа в выполнении операции по замене суставов. Всё, круг замкнулся! Конечно, лучше и для пациента, и для врача, чтобы до операции пациент сбросил вес. Ведь чем лучше общее состояние, тем легче вставать, делать первые шаги, проходить реабилитацию. Но для наших пациентов с хронической болью, ведущих малоподвижный образ жизни, зачастую снижение веса – это непосильная задача. Наша пациентка 74 лет, страдающая двусторонним гонартрозом (разрушены оба коленных сустава), имела аналогичные проблемы. После замены правого коленного сустава она начала вести более подвижный образ жизни, боли уменьшились, а главное – она поняла, что из ее ситуации есть выход! Как следствие, похудела более

🏥 Коленные суставы и избыточный вес

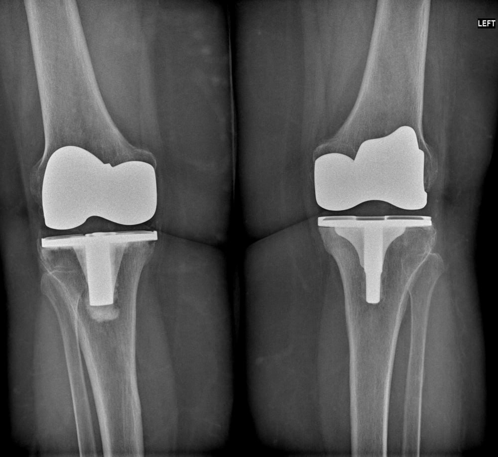
Очень часто пациенты с заболеваниями крупных суставов испытывают выраженные боли и ограничение функции этих суставов. Это вынуждает их вести малоподвижный образ жизни. Как следствие, многие из них испытывают проблемы с лишним весом. Ну а лишний вес нередко является причиной отказа в выполнении операции по замене суставов. Всё, круг замкнулся!

Конечно, лучше и для пациента, и для врача, чтобы до операции пациент сбросил вес. Ведь чем лучше общее состояние, тем легче вставать, делать первые шаги, проходить реабилитацию. Но для наших пациентов с хронической болью, ведущих малоподвижный образ жизни, зачастую снижение веса – это непосильная задача.

Наша пациентка 74 лет, страдающая двусторонним гонартрозом (разрушены оба коленных сустава), имела аналогичные проблемы. После замены правого коленного сустава она начала вести более подвижный образ жизни, боли уменьшились, а главное – она поняла, что из ее ситуации есть выход! Как следствие, похудела более чем на 10 кг!

5 месяцев назад мы заменили ей левый коленный сустав. Теперь она может ходить и вести нормальный образ жизни! Боли не беспокоят. Под наблюдением диетолога и эндокринолога она продолжает нормализовывать свой вес.

🔗Видео пациентки в блоге Ильинской больницы

#Ортопедия