Найти в Дзене
6stomat.clinic

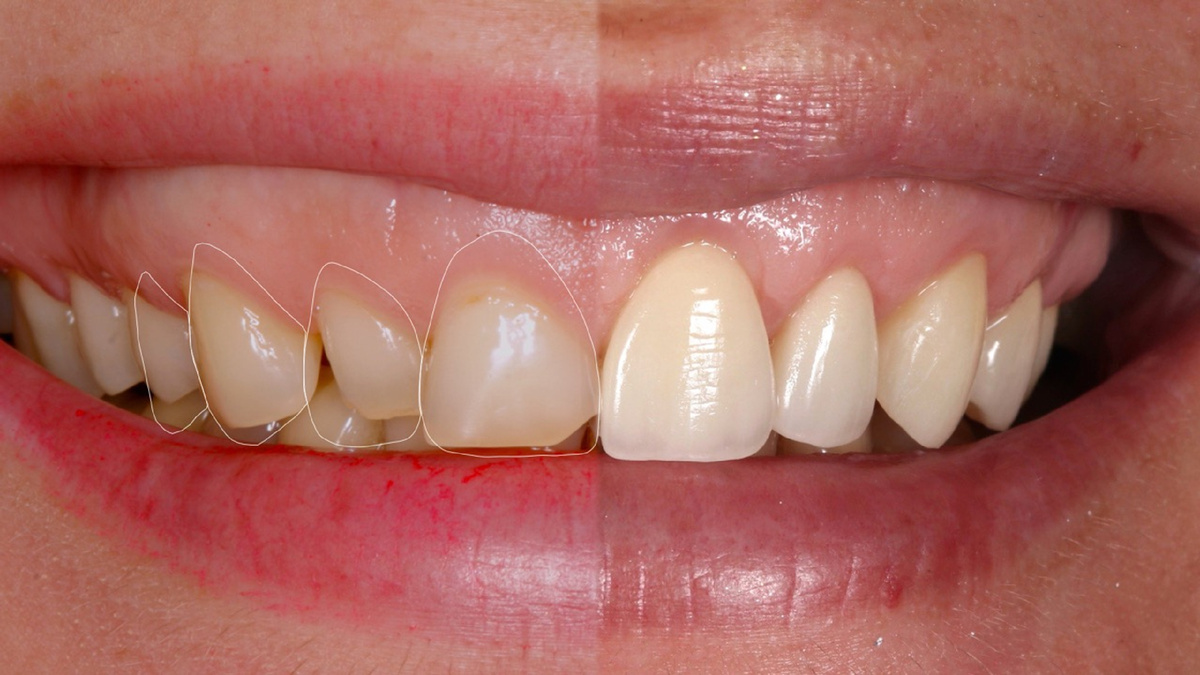
Художественная реставрация зубов

Раньше врачи – стоматологи старались восстановить главную функцию зубов, вернуть человеку способность пережёвывать пищу. В настоящее время уже далеко не первый год применяется художественная реставрация зубов, которая позволяет сделать улыбку красивой. К художественной реставрации относится: 1. Восстановление формы зубов (после скола, травмы и др.) 2. Выравнивание положения зубов 3. Устранение даже самых крошечных трещинок и неровностей на зубах. Основным методом является наращивание зуба при помощи специальных материалов: керамические, металлокерамические и фотополимерные конструкции. Современные технологии позволяют реставрировать зуб так, что и иной специалист не догадается натуральная ли это красота, либо приобретённая в кабинете его коллеги. Виды реставрации зубов - Прямая реставрация, во время которой врач – стоматолог слой за слоем покрывает корректируемый зуб фотополимерным материалом, тем самым наращивая новую коронку, которая благодаря свойствам материалов, будет в точности п
иллюстрация из открытых источников
иллюстрация из открытых источников

Раньше врачи – стоматологи старались восстановить главную функцию зубов, вернуть человеку способность пережёвывать пищу. В настоящее время уже далеко не первый год применяется художественная реставрация зубов, которая позволяет сделать улыбку красивой.

К художественной реставрации относится:

1. Восстановление формы зубов (после скола, травмы и др.)

2. Выравнивание положения зубов

3. Устранение даже самых крошечных трещинок и неровностей на зубах.

Основным методом является наращивание зуба при помощи специальных материалов: керамические, металлокерамические и фотополимерные конструкции. Современные технологии позволяют реставрировать зуб так, что и иной специалист не догадается натуральная ли это красота, либо приобретённая в кабинете его коллеги.

Виды реставрации зубов

- Прямая реставрация, во время которой врач – стоматолог слой за слоем покрывает корректируемый зуб фотополимерным материалом, тем самым наращивая новую коронку, которая благодаря свойствам материалов, будет в точности повторять очертания настоящего зуба, хотя и в данном случае вполне возможно подкорректировать его форму.

- Непрямая реставрация. Зуб покрывается специальным подготовленным материалом. Отдельно, в лабораторных условиях, стоматолог готовит керамическую накладку (это долгий процесс). И лишь потом фиксирует её поверх зуба пациента. Результат превосходен: отличить искусственно созданный зуб от настоящего практически невозможно!

На самом деле, художественная реставрация зубов – это очень трудоёмкое и кропотливое дело.

Стоматолог – это практически скульптор, который из ничего создаёт шедевр, перед этим делая предварительные расчёты и наброски.

Современная стоматология (благодаря новейшим технологиям) достигла небывалых высот.

Материал подготовила:

врач-стоматолог-терапевт

высшей категории БУЗ ВО

«ВСП № 6» ОТС №2 ОПМУ

Елараби Салем

Лариса Александровна