Добавить в корзинуПозвонить
Найти в Дзене
Избушка для Бабы-Яги

Протезирование ТБС (тазобедренного сустава) собаке. Часть 4. Финал

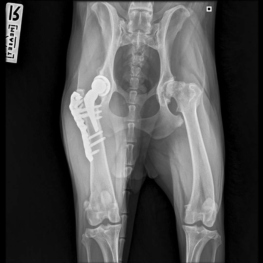
Ну вот и закончилась наша эпопея по протезированию тбс Басе. В этот раз отчет будет коротким, тк особо новостей и нет уже на этой стадии. Вчера - 18.08.2025 - мы съездили на контрольный рентген. Можно было сделать рентген и в любой ближайшей клинике, но мы предпочли не рисковать. Во-первых, делать снимки нужно было в каких-то особенных проекциях, на которых виден процесс приживления, а, во-вторых, для такого рентгена требовался наркоз. Потому мы решили не искать легких путей и сразу сделать там, где гарантированно все получится в лучшем виде. Так что записались мы в Медвет в Троицке и покатили к 9 утра. Далее стандартная процедура: разговор с доктором о самочувствии собаки и наличии жалоб, осмотр анестезиологом и Басю забрали. Где-то через час нам вернули ее уже полностью отошедшую от наркоза, сказали, что все у нас хорошо, ограничения с нас сняты и мы можем быть свободны. Вот как теперь выглядит ее внутренний мир Что еще могу добавить? Конечно, второй месяц реабилитации был намного п

Ну вот и закончилась наша эпопея по протезированию тбс Басе. В этот раз отчет будет коротким, тк особо новостей и нет уже на этой стадии.

После археологических изысканий с чумазым носом
После археологических изысканий с чумазым носом

Вчера - 18.08.2025 - мы съездили на контрольный рентген. Можно было сделать рентген и в любой ближайшей клинике, но мы предпочли не рисковать. Во-первых, делать снимки нужно было в каких-то особенных проекциях, на которых виден процесс приживления, а, во-вторых, для такого рентгена требовался наркоз. Потому мы решили не искать легких путей и сразу сделать там, где гарантированно все получится в лучшем виде. Так что записались мы в Медвет в Троицке и покатили к 9 утра.

Далее стандартная процедура: разговор с доктором о самочувствии собаки и наличии жалоб, осмотр анестезиологом и Басю забрали. Где-то через час нам вернули ее уже полностью отошедшую от наркоза, сказали, что все у нас хорошо, ограничения с нас сняты и мы можем быть свободны.

Вот как теперь выглядит ее внутренний мир

-2
-3

Что еще могу добавить? Конечно, второй месяц реабилитации был намного проще. Почти без ограничений и проблем. Мы ездили в деревню, на дачу, спокойно гуляли. Да, не контактировали с другими животными и не давали ей особо скакать и прыгать. Но на этом и все. И то, за недели две до рентгена мохнатая коза встретила в деревне зайца и припустила за ним на всех парах. И ничего, даже не хромала. После этого мы поняли, что все у нас хорошо. Да и в целом собака стала заметно активней. Ей больше хочется бегать, прыгать, она делает это легко и с удовольствием. Даже несмотря на то, что вторая лапа еще требует ремонта. Уже разница колоссальна по сравнению с тем, какой была Бася до операции.

Пока ждали свою принцессу с рентгена, видели еще как минимум трех собачек на операцию в этот день. Очень радует, что о питомцах заботятся и берегут их. И, конечно, отдельная благодарность врачам и клинике за шанс на нормальную жизнь для наших хвостов. Ну а мы ждем весны теперь, чтобы прооперировать и вторую лапу. Теперь уже не так страшно, знаем чего ждать и как готовиться.