Добавить в корзинуПозвонить
Найти в Дзене

Рак лёгких: первые признаки, которые легко пропустить

Вы знали, что рак лёгких часто маскируется под банальную простуду? Именно поэтому тысячи людей обращаются к врачу слишком поздно, когда болезнь уже успела распространиться. Врачи называют его одним из самых коварных онкологических заболеваний. В клинике Медалье мы собрали для вас важную информацию о симптомах, которые нельзя игнорировать. Лёгкие практически лишены болевых рецепторов. Небольшая опухоль может расти, не вызывая боли или дискомфорта. Первые жалобы пациенты часто списывают на: Обратите внимание, если у вас или ваших близких появились: Эти симптомы не всегда означают рак, но игнорировать их опасно. Для раннего выявления применяются: На ранних стадиях болезнь можно контролировать и лечить гораздо эффективнее. Не ждите, пока симптомы станут слишком серьёзными. Регулярные обследования — это инвестиция в долгую жизнь. Москва, ул. Таганская, д. 36, корп. 2, пом. 4 Телефоны: 8 (925) 500-71-17 8 (495) 912-57-77 Поддерживайте здоровье вместе с клиникой Медалье. У нашей клиники ес
Оглавление

Вы знали, что рак лёгких часто маскируется под банальную простуду? Именно поэтому тысячи людей обращаются к врачу слишком поздно, когда болезнь уже успела распространиться. Врачи называют его одним из самых коварных онкологических заболеваний.

В клинике Медалье мы собрали для вас важную информацию о симптомах, которые нельзя игнорировать.

Почему рак лёгких сложно обнаружить

Лёгкие практически лишены болевых рецепторов. Небольшая опухоль может расти, не вызывая боли или дискомфорта. Первые жалобы пациенты часто списывают на:

  • усталость,
  • бронхит или ОРВИ,
  • возрастные изменения.

Признаки, которые нельзя игнорировать

Обратите внимание, если у вас или ваших близких появились:

  • кашель более 2–3 недель, особенно с кровью в мокроте,
  • одышка даже при небольшой нагрузке,
  • боль в груди или отдающая в плечо, спину, лопатку,
  • потеря веса без причины, постоянная слабость,
  • длительная температура 37–38 °С,
  • хрипота голоса, которая держится больше двух недель,
  • повторяющиеся «простуды» или пневмонии.

Эти симптомы не всегда означают рак, но игнорировать их опасно.

Кто в группе риска

  • Курильщики (активные и пассивные).
  • Люди, работающие с вредными веществами (асбест, металлы).
  • Жители крупных промышленных городов.
  • Те, у кого в семье уже были случаи рака лёгких.

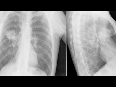
Как проходит диагностика

Для раннего выявления применяются:

  • рентген и компьютерная томография,
  • бронхоскопия с биопсией,
  • дополнительные исследования по назначению врача.

На ранних стадиях болезнь можно контролировать и лечить гораздо эффективнее.

Важный шаг для здоровья

Не ждите, пока симптомы станут слишком серьёзными. Регулярные обследования — это инвестиция в долгую жизнь.

Где нас найти

Москва, ул. Таганская, д. 36, корп. 2, пом. 4
Телефоны:
8 (925) 500-71-17
8 (495) 912-57-77
Поддерживайте здоровье вместе с клиникой Медалье.
У нашей клиники есть Телеграм-канал https://t.me/+v8qRHcC1EIU4ZjJi . Зачем на него подписываться? А мы ответим. Каждый день там выходят материалы от ТОПовых врачей клиники, в которую ходят все звёзды Москвы. Каждый день наши врачи бесплатно дают консультации в комментариях. Подпишитесь по ссылке и задавайте свои вопросы в комментариях.