Добавить в корзинуПозвонить
Найти в Дзене

КЕЙС 1: Пациентка 48 лет

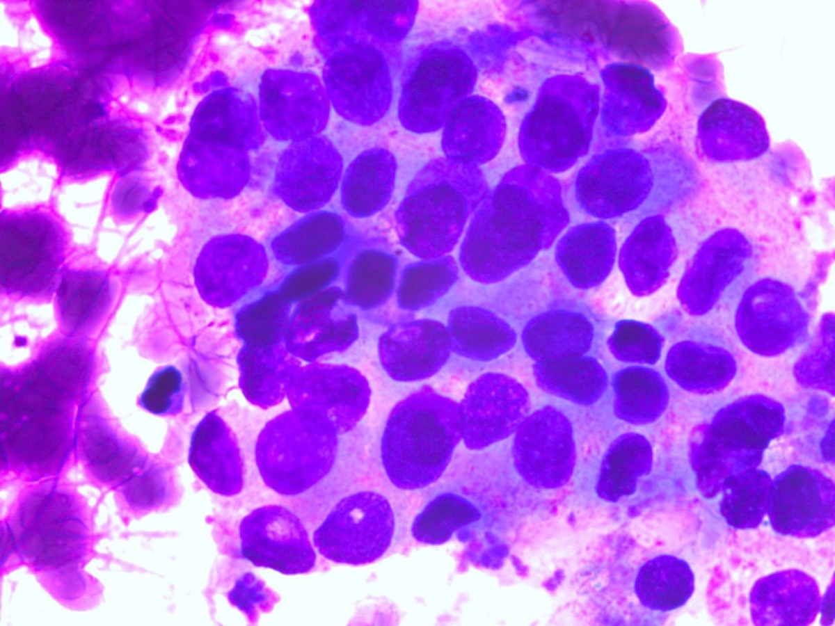
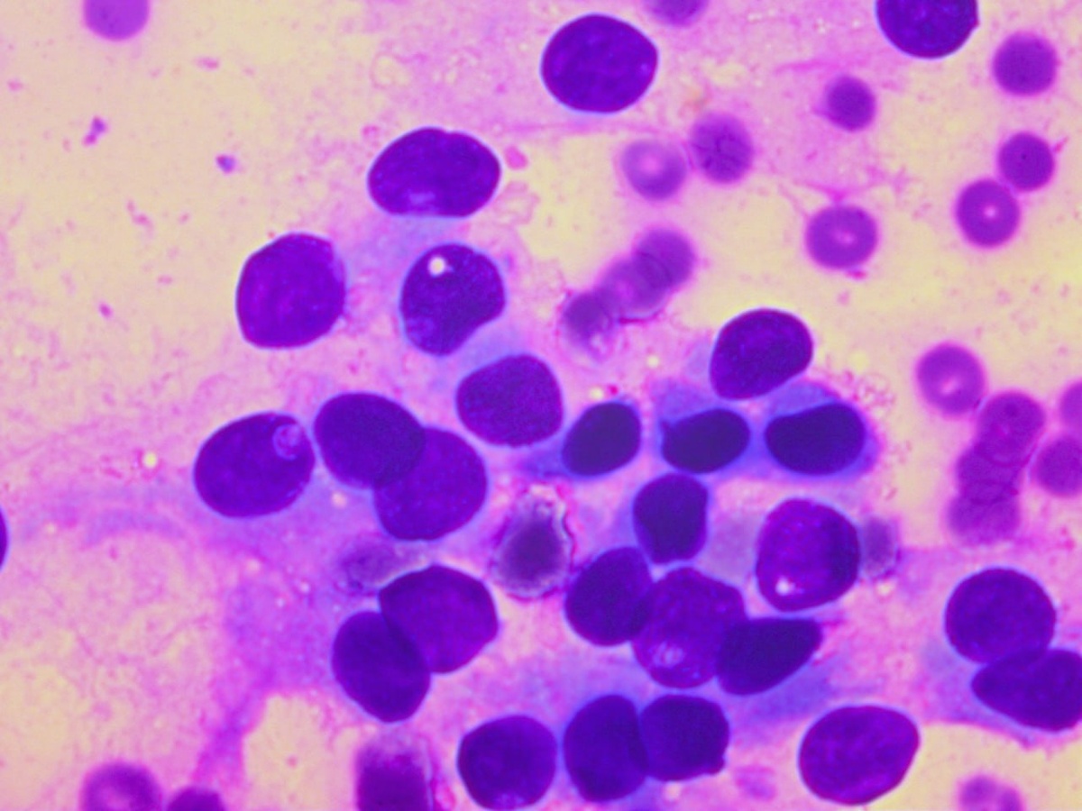
КЕЙС 1: Пациентка 48 лет УЗИ Правая доля ЩЖ: Контур: четкий, ровный Эхогенность: нормальная; Структура: неоднородная узловая; Образования: выявлены, в н/3 доли, овальный, гипоэхогенный, солидно-кистозный узел, с четким ровным контуром, с горизонтальным типом ориентации, размером 20*16*16 мм, EU TIRADS – 4 Гистология 1) 19.07.2024. Инфильтративный рак молочной железы неспецифического типа G2. Материала для ИГХ исследования достаточно. 2) 13.09.2024. Инвазивный протоковый рак левой молочной железы, G2, с метастазами в регионарных лимфатических узлах. 3) 07.07.2025. Светлоклеточный почечноклеточный рак G2 почки. Опухолевая ткань инфильтрирует паренхиму почки и прорастает капсулу с инвазией в паранефральную клетчатку. В краях резекции опухолевый рост не выявлен. рТ3а. Заключение Светлоклеточный почечноклеточный рак G2 правой почки. Какой цитологический диагноз по результатам ТИАБ правой доли ЩЖ: TBS I. TBSII, TBSIII, TBS IV, TBS V или TBS VI ?

КЕЙС 1: Пациентка 48 лет

УЗИ

Правая доля ЩЖ: Контур: четкий, ровный

Эхогенность: нормальная; Структура: неоднородная узловая; Образования: выявлены, в н/3 доли, овальный, гипоэхогенный, солидно-кистозный узел, с четким ровным контуром, с горизонтальным типом ориентации, размером 20*16*16 мм, EU TIRADS – 4

Гистология

1) 19.07.2024. Инфильтративный рак молочной железы неспецифического типа G2. Материала для ИГХ исследования достаточно.

2) 13.09.2024. Инвазивный протоковый рак левой молочной железы, G2, с метастазами в регионарных лимфатических узлах.

3) 07.07.2025. Светлоклеточный почечноклеточный рак G2 почки. Опухолевая ткань инфильтрирует паренхиму почки и прорастает капсулу с инвазией в паранефральную клетчатку. В краях резекции опухолевый рост не выявлен. рТ3а.

Заключение

Светлоклеточный почечноклеточный рак G2 правой почки.

Какой цитологический диагноз по результатам ТИАБ правой доли ЩЖ: TBS I. TBSII, TBSIII, TBS IV, TBS V или TBS VI ?

-2
-3
-4
-5