Добавить в корзинуПозвонить
Найти в Дзене
Ormco Россия

Дорогие коллеги! В рубрике #клиническая_среда делимся сложным и многоплановым кейсом Иванова Алексея Анатольевича

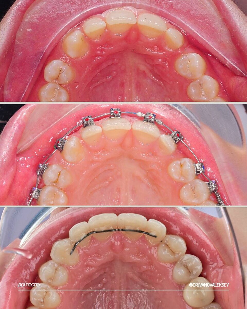
Дорогие коллеги! В рубрике #клиническая_среда делимся сложным и многоплановым кейсом Иванова Алексея Анатольевича @dr.ivanovaleksey 📍Клиническая ситуация: Первичная адентия верхнего левого клыка с нарушением эстетики и окклюзии. План лечения: • Внедрение боковой и передней группы зубов в первом сегменте для коррекции наклона окклюзионной плоскости и устранения десневой улыбки • Коррекция положения центра верхнего зубного ряда путём создания места для протезирования • Протезирование в боковом отделе: замещение 23 зуба 24-ым • Мезиализация нижних боковых зубов для получения I класса справа • Возможная десневая пластика в области 23 и 24 зубов • Имплантация в области 25 зуба • Удаление зубов мудрости при необходимости Срок лечения: 3 года Брекет-система: Damon Q2 ✨ Результат: Проведена комплексная ортодонтическая и ортопедическая подготовка с учётом всех функциональных и эстетических запросов пациентки. 💬 Как вам результат? Делитесь своими комментариями!

Дорогие коллеги! В рубрике #клиническая_среда делимся сложным и многоплановым кейсом Иванова Алексея Анатольевича

@dr.ivanovaleksey

📍Клиническая ситуация: Первичная адентия верхнего левого клыка с нарушением эстетики и окклюзии.

План лечения:

• Внедрение боковой и передней группы зубов в первом сегменте для коррекции наклона окклюзионной плоскости и устранения десневой улыбки

• Коррекция положения центра верхнего зубного ряда путём создания места для протезирования

• Протезирование в боковом отделе: замещение 23 зуба 24-ым

• Мезиализация нижних боковых зубов для получения I класса справа

• Возможная десневая пластика в области 23 и 24 зубов

• Имплантация в области 25 зуба

• Удаление зубов мудрости при необходимости

Срок лечения: 3 года

Брекет-система: Damon Q2

✨ Результат: Проведена комплексная ортодонтическая и ортопедическая подготовка с учётом всех функциональных и эстетических запросов пациентки.

💬 Как вам результат? Делитесь своими комментариями!

-2
-3
-4