Добавить в корзинуПозвонить
Найти в Дзене

💥 Клинический случай на приеме у невролога: ветеран СВО с последствиями непроникающего осколочного ранения головы

📌 Характер повреждений: • Осколочное ранение с переломом теменной кости, полученное весной 2022 года в ходе выполнения боевой задачи • Ушиб мозга легкой степени с контузионным очагом • Субарахноидальное кровоизлияние (гематома) • Слабость в правой ноге 📌 Состояние через 3 года: • Сохраняется слабость в правой ноге (особенно в стопе) • Осколок и костные фрагменты остаются в тканях • Болевой синдром отсутствует • Кистозно-глиозная трансформация в области гематомы 📌 Почему принято решение не оперировать: • Высокий риск повреждения мозга при удалении осколка • Отсутствие непосредственной угрозы жизни и здоровью • Относительная стабильность неврологического статуса и жизненных функций Пациент продолжает курсы реабилитации для улучшения двигательных функций. Этот случай наглядно показывает, что в медицине иногда лучшее решение — не вмешиваться без крайней необходимости. #ВоеннаяМедицина #Неврология #Реабилитация
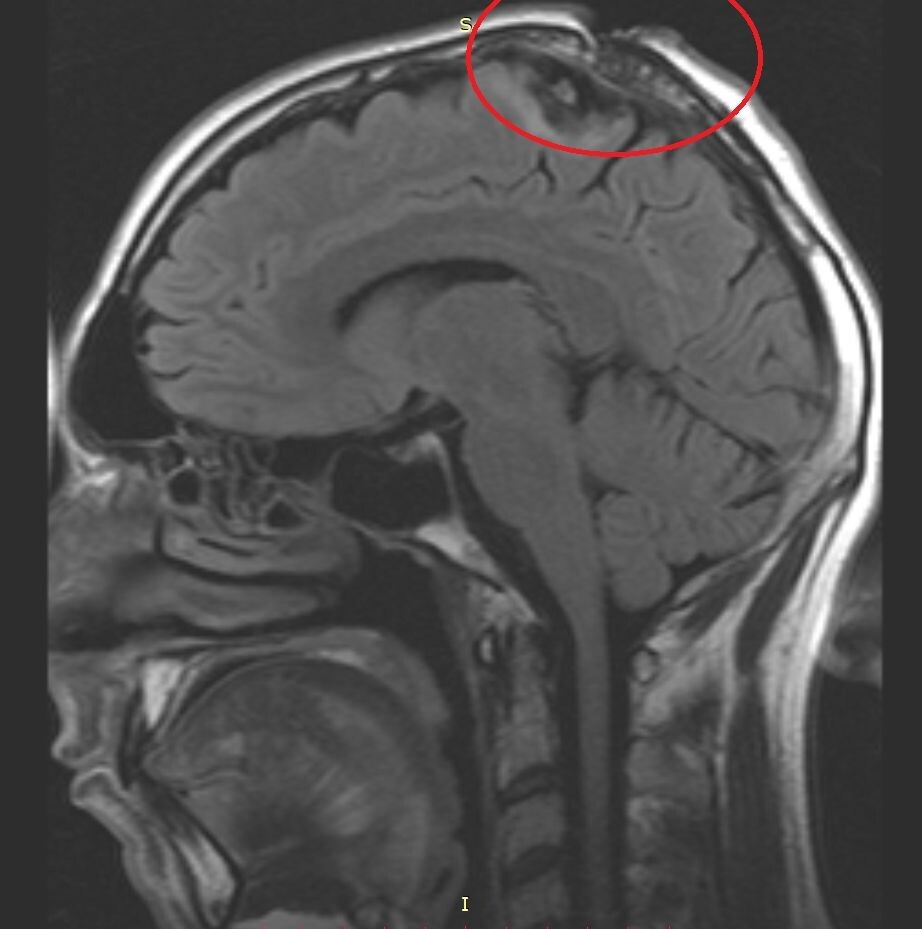
МРТ головы в боковой проекции. На МРТ-снимке визуализируются последствия боевого ранения: металлический осколок и костные фрагменты в теменной области слева (практически по продольной щели головного мозга). При таком серьезном ранении твердая мозговая оболочка осталась неповрежденной — это во многом определило тактику лечения.
МРТ головы в боковой проекции. На МРТ-снимке визуализируются последствия боевого ранения: металлический осколок и костные фрагменты в теменной области слева (практически по продольной щели головного мозга). При таком серьезном ранении твердая мозговая оболочка осталась неповрежденной — это во многом определило тактику лечения.

📌 Характер повреждений:

• Осколочное ранение с переломом теменной кости, полученное весной 2022 года в ходе выполнения боевой задачи

• Ушиб мозга легкой степени с контузионным очагом

• Субарахноидальное кровоизлияние (гематома)

• Слабость в правой ноге

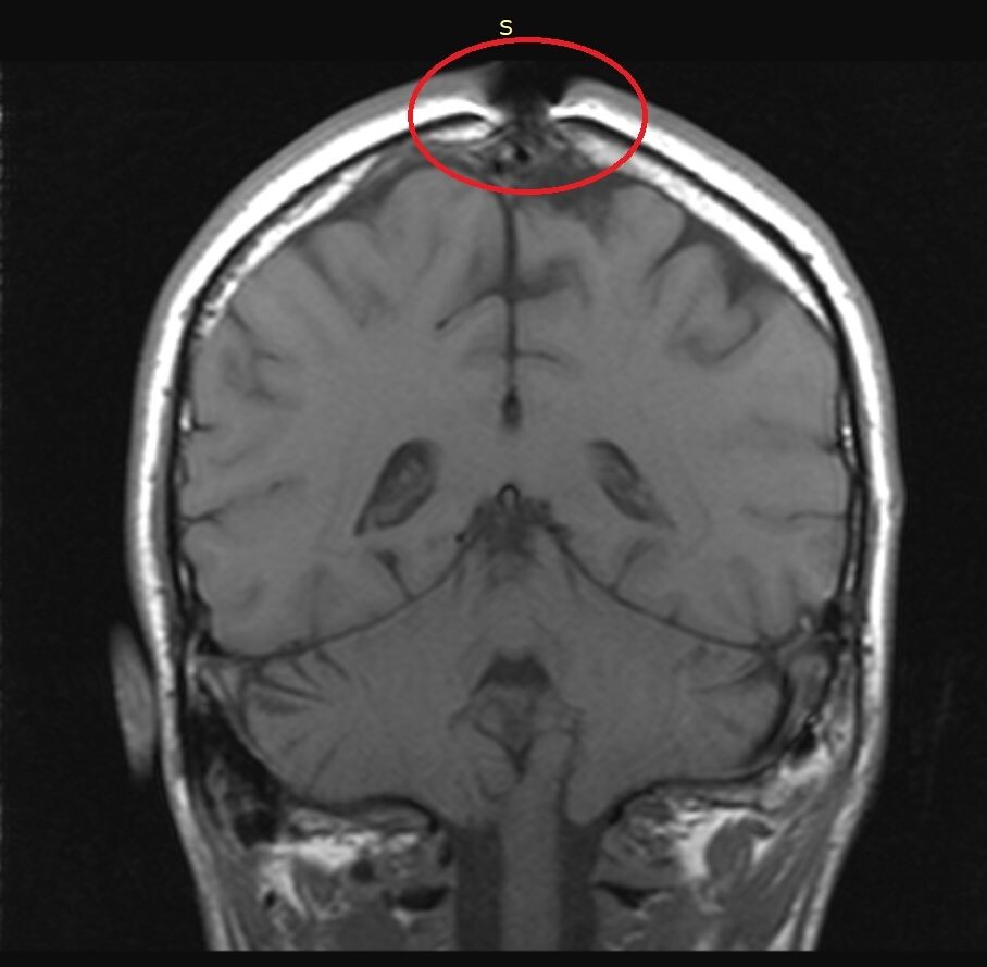
МРТ головы в прямой проекции.
МРТ головы в прямой проекции.

📌 Состояние через 3 года:

• Сохраняется слабость в правой ноге (особенно в стопе)

• Осколок и костные фрагменты остаются в тканях

• Болевой синдром отсутствует

• Кистозно-глиозная трансформация в области гематомы

📌 Почему принято решение не оперировать:

• Высокий риск повреждения мозга при удалении осколка

• Отсутствие непосредственной угрозы жизни и здоровью

• Относительная стабильность неврологического статуса и жизненных функций

Пациент продолжает курсы реабилитации для улучшения двигательных функций. Этот случай наглядно показывает, что в медицине иногда лучшее решение — не вмешиваться без крайней необходимости.

#ВоеннаяМедицина #Неврология #Реабилитация