Π”ΠΎΠ±Π°Π²ΠΈΡ‚ΡŒ Π² ΠΊΠΎΡ€Π·ΠΈΠ½ΡƒΠŸΠΎΠ·Π²ΠΎΠ½ΠΈΡ‚ΡŒ
Найти Π² Π”Π·Π΅Π½Π΅

πŸ”¬ Π‘Π»ΡƒΡ‡Π°ΠΉ Π»Π°ΠΊΡ‚ΠΈΡ€ΡƒΡŽΡ‰Π΅ΠΉ Π°Π΄Π΅Π½ΠΎΠΌΡ‹

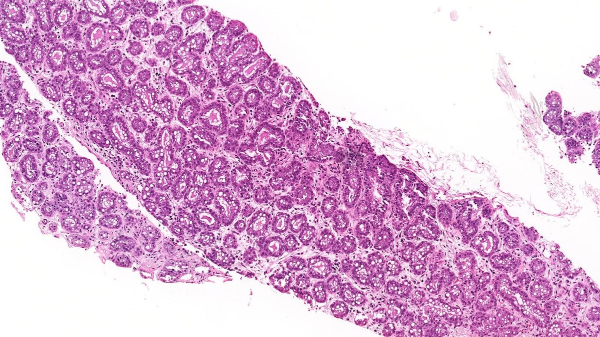
πŸ”¬ Π‘Π»ΡƒΡ‡Π°ΠΉ Π»Π°ΠΊΡ‚ΠΈΡ€ΡƒΡŽΡ‰Π΅ΠΉ Π°Π΄Π΅Π½ΠΎΠΌΡ‹ Π›Π°ΠΊΡ‚ΠΈΡ€ΡƒΡŽΡ‰Π°Ρ Π°Π΄Π΅Π½ΠΎΠΌΠ° β€” Π½Π°ΠΈΠ±ΠΎΠ»Π΅Π΅ распространённая доброкачСствСнная ΠΎΠΏΡƒΡ…ΠΎΠ»ΡŒ Ρƒ Π±Π΅Ρ€Π΅ΠΌΠ΅Π½Π½Ρ‹Ρ… ΠΈ Ρ€ΠΎΠ΄ΠΈΠ²ΡˆΠΈΡ… ΠΆΠ΅Π½Ρ‰ΠΈΠ½, состоящая ΠΈΠ· ΠΏΠ»ΠΎΡ‚Π½ΠΎ располоТСнных ΡΠ΅ΠΊΡ€Π΅Ρ‚ΠΈΡ€ΡƒΡŽΡ‰ΠΈΡ… ΠΆΠ΅Π»Π΅Π·. #молочнаяТСлСза #гистология

πŸ”¬ Π‘Π»ΡƒΡ‡Π°ΠΉ Π»Π°ΠΊΡ‚ΠΈΡ€ΡƒΡŽΡ‰Π΅ΠΉ Π°Π΄Π΅Π½ΠΎΠΌΡ‹

Π›Π°ΠΊΡ‚ΠΈΡ€ΡƒΡŽΡ‰Π°Ρ Π°Π΄Π΅Π½ΠΎΠΌΠ° β€” Π½Π°ΠΈΠ±ΠΎΠ»Π΅Π΅ распространённая доброкачСствСнная ΠΎΠΏΡƒΡ…ΠΎΠ»ΡŒ Ρƒ Π±Π΅Ρ€Π΅ΠΌΠ΅Π½Π½Ρ‹Ρ… ΠΈ Ρ€ΠΎΠ΄ΠΈΠ²ΡˆΠΈΡ… ΠΆΠ΅Π½Ρ‰ΠΈΠ½, состоящая ΠΈΠ· ΠΏΠ»ΠΎΡ‚Π½ΠΎ располоТСнных ΡΠ΅ΠΊΡ€Π΅Ρ‚ΠΈΡ€ΡƒΡŽΡ‰ΠΈΡ… ΠΆΠ΅Π»Π΅Π·.

#молочнаяТСлСза #гистология