Найти в Дзене

ДО / ПОСЛЕ

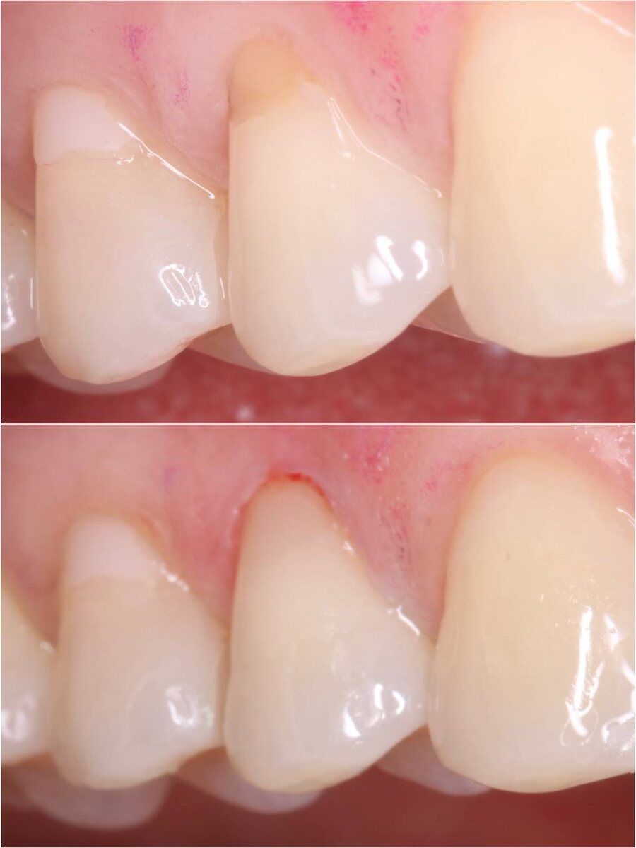
ДО / ПОСЛЕ Работа нашего врача стоматолога-ортопеда, терапевта 🔜Майсарова Руслана Нусретовича 🟦Лечение клиновидного дефекта (область у десны) Запись на прием возможна по телефону 📲 +7(495)-021-89-29

ДО / ПОСЛЕ

Работа нашего врача

стоматолога-ортопеда, терапевта

🔜Майсарова Руслана Нусретовича

🟦Лечение клиновидного дефекта (область у десны)

Запись на прием возможна по телефону 📲

+7(495)-021-89-29