Найти в Дзене

Как флюороз мешал улыбаться: история нашей пациентки

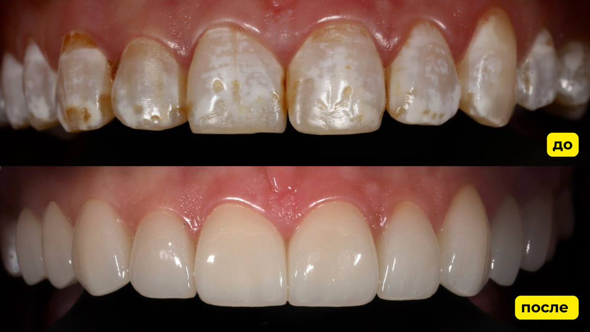
Фтор — один из важных элементов, необходимых для развития зубов. Вместе с кальцием и фосфором он помогает формировать крепкую эмаль. Однако, если в период развития зачатков зубов в челюсти (детский возраст до 8 лет) баланс элементов нарушился, и фторидов накопилось слишком много, то возникает флюороз — некариозное поражение зубной эмали. Оно характеризуется появлением пятен на зубах: от белесых - на ранних стадиях до коричневых и шероховатых - на более поздних. Откуда берётся флюороз — читайте в этом материале. Именно флюороз привёл нашу пациентку в ПРАЙМ. Полина стеснялась улыбаться из-за внешнего вида своих зубов и мечтала вернуть эстетику улыбке. Для данной формы флюороза нашей пациентке были рекомендованы керамические виниры, которые выглядят очень натурально и максимально похожи на настоящие зубы. Изначально Полина прошла комплексное лечение и установку имплантов, а затем врач-стоматолог ортопед ПРАЙМа Егоров Илья Васильевич выполнил установку керамических конструкций. Всего было

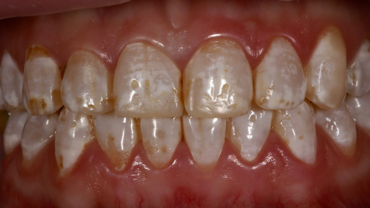
Фтор — один из важных элементов, необходимых для развития зубов. Вместе с кальцием и фосфором он помогает формировать крепкую эмаль. Однако, если в период развития зачатков зубов в челюсти (детский возраст до 8 лет) баланс элементов нарушился, и фторидов накопилось слишком много, то возникает флюороз — некариозное поражение зубной эмали. Оно характеризуется появлением пятен на зубах: от белесых - на ранних стадиях до коричневых и шероховатых - на более поздних.

Откуда берётся флюороз — читайте в этом материале.

Так выглядит флюороз.
Так выглядит флюороз.

Именно флюороз привёл нашу пациентку в ПРАЙМ. Полина стеснялась улыбаться из-за внешнего вида своих зубов и мечтала вернуть эстетику улыбке.

Для данной формы флюороза нашей пациентке были рекомендованы керамические виниры, которые выглядят очень натурально и максимально похожи на настоящие зубы.

Изначально Полина прошла комплексное лечение и установку имплантов, а затем врач-стоматолог ортопед ПРАЙМа Егоров Илья Васильевич выполнил установку керамических конструкций. Всего было использовано 25 коронок e-max.

«Изначально я очень боялась имплантации, боялась установки виниров, но всё прошло очень классно и безболезненно. Результат оправдал все мои ожидания: мои зубы выглядят естественно и красиво. Поэтому, я больше не стесняюсь улыбаться! Спасибо докторам «Прайм-стоматологии»! – поделилась своими впечатлениями наша пациентка.

Наша пациентка: фото до (слева) и после (справа)
Наша пациентка: фото до (слева) и после (справа)

Стесняетесь улыбаться и давно мечтаете вернуть красоту вашей улыбке ? Записывайтесь на консультацию в ПРАЙМ — (4912)292-000

_________________________________

Наши клиники в г. Рязань:

Есенина, 110

Советской армии, 9

Бирюзова, 28а

Интернациональная, 23

Полетаева, 34 (клиника корпоративного университета)

https://www.prime-med.ru/