Найти в Дзене
Прайм-Стоматология

Белые пятна на зубах: стоит ли бить тревогу?

Если на зубной эмали появились белесые пятна, пропал естественный блеск и прозрачность, то это прямой признак флюороза. Со временем эти пятна могут менять оттенок, становиться всё заметнее и полностью нарушить эстетику улыбки. Что это за патология, и можно ли избавиться от пятен — читайте далее. ЧТО ТАКОЕ ФЛЮОРОЗ Это некариозное поражение зубов, которое возникает из-за систематического поступления фтора в организм человека. В результате, фтора накапливается так много, что начинают страдать зубы. Первые случаи флюороза были описаны ещё в конце XIX века, изменения на зубах назвали «пятнистая эмаль», и никто не знал причину их возникновения. ОТКУДА БЕРЁТСЯ ПАТОЛОГИЯ Причин несколько: Оптимальное содержанием фтора в воде ~ 1 мг/л. Более низкая концентрация может стать причиной развития кариеса, более высокая вызывает флюороз. Также к причинам развития патологии можно отнести генетическую предрасположенность и чрезмерное использование фторсодержащих паст в детском возрасте. КАК РАЗВИВАЕТ

Если на зубной эмали появились белесые пятна, пропал естественный блеск и прозрачность, то это прямой признак флюороза. Со временем эти пятна могут менять оттенок, становиться всё заметнее и полностью нарушить эстетику улыбки.

Что это за патология, и можно ли избавиться от пятен — читайте далее.

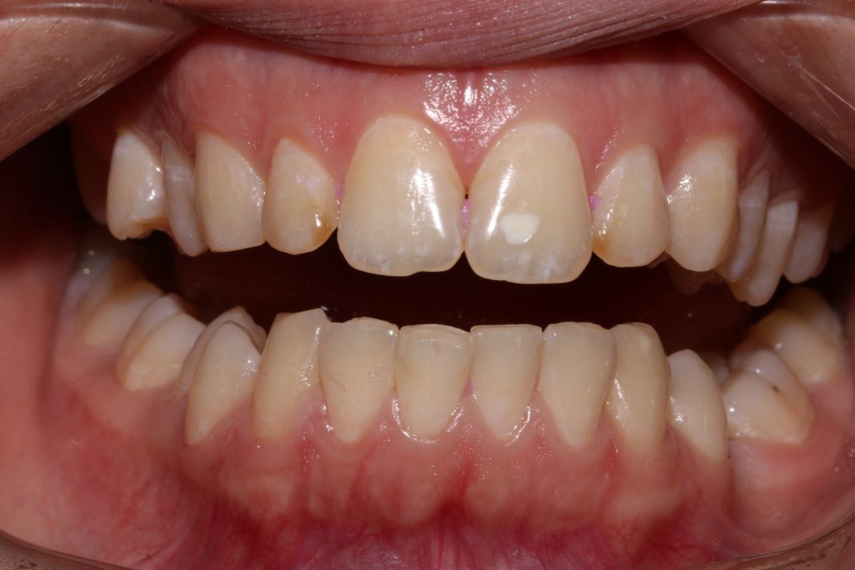
Как правило, патология начинается с появлением белесых пятен на эмали.
Как правило, патология начинается с появлением белесых пятен на эмали.

ЧТО ТАКОЕ ФЛЮОРОЗ

Это некариозное поражение зубов, которое возникает из-за систематического поступления фтора в организм человека. В результате, фтора накапливается так много, что начинают страдать зубы.

Первые случаи флюороза были описаны ещё в конце XIX века, изменения на зубах назвали «пятнистая эмаль», и никто не знал причину их возникновения.

Пациент клиники ПРАЙМ с флоюрозом.
Пациент клиники ПРАЙМ с флоюрозом.

ОТКУДА БЕРЁТСЯ ПАТОЛОГИЯ

Причин несколько:

  • самая распространённая — употребление воды с высоким содержанием фтора. Если Вы в детстве жили в регионе с природно высоким уровнем фтора в подземных водах, то риск возникновения флюороза очень высок.
Оптимальное содержанием фтора в воде ~ 1 мг/л. Более низкая концентрация может стать причиной развития кариеса, более высокая вызывает флюороз.

  • пищевые продукты. Морепродукты, рыба и даже чай могут накапливать фтор из воды или почвы.
  • ещё одна популярная причина — воздействие промышленных выбросов. Например, работники алюминиевой промышленности неизбежно контактируют с высокой концентрацией фтора в воздухе, что может привести к развитию флюороза.

Также к причинам развития патологии можно отнести генетическую предрасположенность и чрезмерное использование фторсодержащих паст в детском возрасте.

Только в 30-х годах прошлого века была найдена связь между флюорозом и высоким содержанием фтора в воде.
Только в 30-х годах прошлого века была найдена связь между флюорозом и высоким содержанием фтора в воде.

КАК РАЗВИВАЕТСЯ ФЛЮОРОЗ

Патология развивается постепенно, по данным ВОЗ есть 5 степеней тяжести:

  1. очень лёгкая, изменения практически не заметны,
  2. лёгкая, появляются небольшие белые пятна/штрихи,
  3. умеренная, пятна начинают распространяться и занимают более 50% от площади зуба,
  4. средняя тяжесть, крапчатое распространение желтых и коричневых пятен,
  5. тяжёлая, появление эрозий, мутный оттенок эмали, боли при употреблении пищи.

КАК ИЗБАВИТЬСЯ ОТ ПЯТЕН

На ранних стадиях заболевания могут помочь реминерализация, микроабразия или отбеливание зубов. На поздних стадиях проблема, как правило, решается с помощью керамических коронок и виниров.

Отбеливание поможет избавиться от лёгкой формы флюороза.
Отбеливание поможет избавиться от лёгкой формы флюороза.

И, конечно, самое лучшее лечение — это профилактика. Постарайтесь употреблять очищенную воду, избегать фторсодержащих зубных паст и дышать свежим воздухом.

При флюорозе рекомендуются зубные пасты для реминерализации, насыщенные фосфором и кальцием, которые помогут укрепить эмаль.

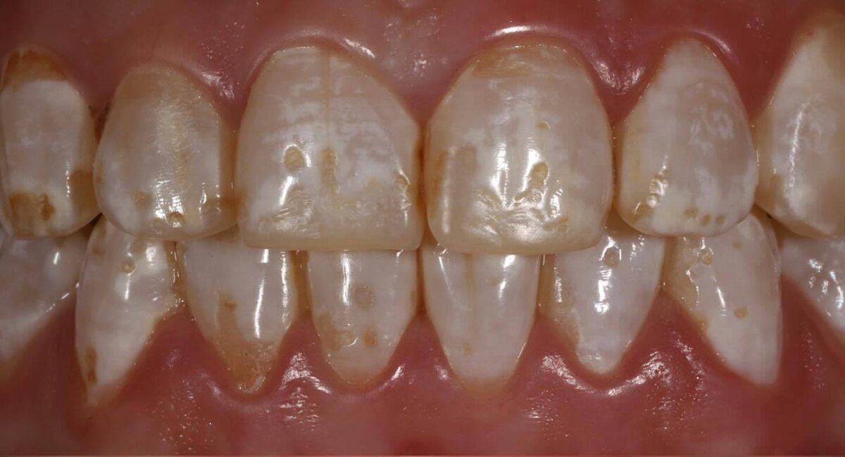
Поздняя стадия флюороза и вариант решения проблемы — керамические виниры.
Поздняя стадия флюороза и вариант решения проблемы — керамические виниры.

Если Вы заметили странные пятна на зубной эмали, то не откладывайте визит к стоматологу. Согласитесь: гораздо проще восстановить эстетику зубов на ранних стадиях!

Записаться на консультацию в ПРАЙМ можно по телефону - 8(4912)292-000

______________________________

Наши клиники в г. Рязань:

  • Есенина, 110
  • Советской армии, 9
  • Бирюзова, 28а
  • Интернациональная, 23
  • Полетаева, 34 (клиника корпоративного университета)

https://www.prime-med.ru/