Найти в Дзене
Parodoctor

Месяц в элайнерах. Сепарация эмали ("распил") в ортодонтии - мой честный опыт и зачем это вообще нужно

"Ты что, хочешь распугать всех потенциальных пациентов?!" - смеётся моя ортодонт, пока я снимаю на телефон, как металлическая штрипса застряла у меня между зубами и не хочет вылезать обратно. Мне не страшно, мне тоже очень весело. Я, хирург-пародонтолог и главный врач стоматологии, в свои 35 решилась на элайнеры. Хотела и раньше, да ортодонты отговаривали активно, не хотели связываться с моим прикусом - симпатичным и лёгким (на вид) для обывателя, но жутчайшим для профи, которому потом ответственность нести за вмешательство. Сегодня ровно месяц с начала лечения, третья замена кап и… сепарация (IPR). Рассказываю без прикрас - что чувствовала, зачем это всё надо, сколько эмали снимают и почему это не про “спилить зубы”, а про разумный минимализм. Первую неделю язык хотел "выйти из чата", речь с капами барахлила знатно - шепелявость заметная ощущалась. Что имеем к месяцу - боли нет в зубах, язык успокоился, разница в дикции остаётся, но она не ужасна. Меня все понимают и никто не отверну
Оглавление

"Ты что, хочешь распугать всех потенциальных пациентов?!" - смеётся моя ортодонт, пока я снимаю на телефон, как металлическая штрипса застряла у меня между зубами и не хочет вылезать обратно. Мне не страшно, мне тоже очень весело.

Я, хирург-пародонтолог и главный врач стоматологии, в свои 35 решилась на элайнеры. Хотела и раньше, да ортодонты отговаривали активно, не хотели связываться с моим прикусом - симпатичным и лёгким (на вид) для обывателя, но жутчайшим для профи, которому потом ответственность нести за вмешательство.

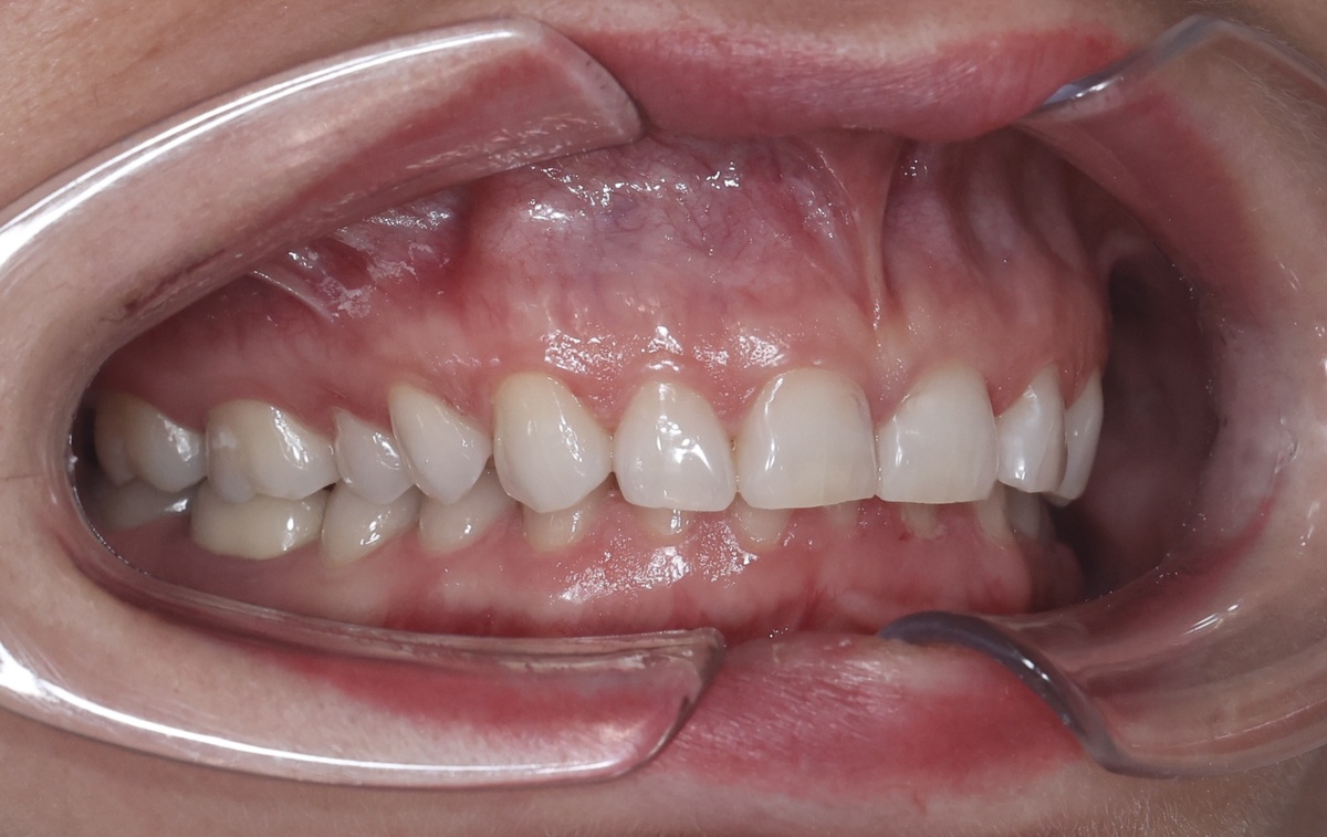
Мой прикус до исправления - жуть
Мой прикус до исправления - жуть

Сегодня ровно месяц с начала лечения, третья замена кап и… сепарация (IPR). Рассказываю без прикрас - что чувствовала, зачем это всё надо, сколько эмали снимают и почему это не про “спилить зубы”, а про разумный минимализм.

Месяц в элайнерах - ощущения и реальность

Первую неделю язык хотел "выйти из чата", речь с капами барахлила знатно - шепелявость заметная ощущалась. Что имеем к месяцу - боли нет в зубах, язык успокоился, разница в дикции остаётся, но она не ужасна. Меня все понимают и никто не отвернулся =) Пациенты вежливо не замечают, но я-то слышу! Хорошо, что я пародонтолог, а не логопед.

Даже первые минуты в новых капах обходятся без боли, вот это шок-контент. Все говорили, что боль будет. Но третья смена кап и ничего подобного. Ладно, подождём. За месяц у меня отклеились два аттачмента (один на нижних резцах с язычной, второй - с металлокерамической старой коронки); ещё два подстёрлись. Сегодня всё переустановили и, по плану, перешли к сепарации.

А что с движением зубов за месяц? Если очень внимательно присматриваться и сравнивать "до" - да, что-то происходит, я это ощущаю языком даже. Но это не "вау, за месяц всё встало на место". Это медленное, аккуратное перемещение. Как и должно быть. Торопиться некуда - мне ж потом с этими зубами жить.

Почему мне понадобилась сепарация? Межзубных промежутков почти нет, нить рвётся, не пролезает. А я исправляю прикус и в таком сценарии место нужно не «на глазок», а рассчитанное - куда моим зубам двигаться, если они подпирают друг-друга? Так как исправление на элайнерах идёт, то все шаги в цифровом плане заранее заложили: где и сколько эмали нужно убрать, чтобы перемещения шли мягко и предсказуемо.

У меня межзубные промежутки настолько плотные, что флосс рвётся в 50% случаев. Это хорошо для профилактики кариеса (бактериям негде спрятаться), но плохо для ортодонтии.

Что такое сепарация - по-человечески

IPR (Interproximal Reduction) - это тонкая шлифовка контактных поверхностей эмали между зубами на доли миллиметра. Не трогаем нерв, не «стачиваем ползуба», а создаём микро-пространство там, где оно безопасно и нужно биомеханике:

  • разгружаем скученность без лишнего расширения и без удалений;
  • корректируем несоответствие размеров (диспропорция Болтона — одни зубы шире/уже пары);
  • улучшаем форму контактов, чтобы меньше рисковать «чёрными треугольниками» в финише.

Сколько тканей снимают на самом деле

  • Обычно 0,1–0,25 мм с одной стороны контакта за приём - это толщина визитки.
  • Иногда до 0,3–0,5 мм — только по строгим показаниям и не везде.
  • В сумме по дуге чаще всего выходит 2–4 мм (иногда больше, но это редкие, тщательно спланированные случаи).

Принцип - чуть-чуть и пошагово, лучше несколько микроподходов, чем один героический.

Почему это безопасно (если всё по протоколу)

Безопасность — это не «повезёт/не повезёт», а алгоритм:

  1. План. Цифровой расчёт, где и сколько нужно пространства, с учётом корней, формы коронок и пародонта.
  2. Техника. Полоски, осциллирующие файлы; водяное охлаждение; работа под контролем.
  3. Финиш. Полировка до гладкости.

При таком подходе риск кариеса не растёт, а чувствительность - редкость и, если возникает, короткая. У меня никаких ощущений лишних не возникло.

А вот что бывает с теми, кому не повезло:

-2

Бррр... Спасибо моему терапевту за контент, к нему из другой клиники приходила такая пациентка, бедолага. Как же знатно попортили эмаль неправильно выбранным инструментарием...

Как это чувствуется - мои минуты на кресле

Честно - ожидала жуткую жуть, мясо и кровь. Кровь была, но мизер. Когда полируют межзубные пространства после пломбировки - десне хуже, а тут мелочи. Самое «ой» - первые попытки провести штрипсу: контакты у меня будто суперклеем залиты, приходилось терпеливо раскачивать зазор. Да, местами застревала, да, мы с ортодонтом попыхтели, очень сочувствую такой работёнке. Я даже сняла это на телефон - и получила шутку в ответ, что таким контентом можно распугать потенциальных желающих заняться элайнерами. Зато я, на волне сочувствия, заказала новую осциллирующую систему для IPR - рынок сейчас щедр, грех не облегчить работу врачу и жизнь пациенту. В остальном всё терпимо и быстро. Весело, в общем.

«Чёрные треугольники» - можно ли их избежать

У взрослых зубы часто имеют «треугольные» проксимальные поверхности - контактная точка слишком высоко, папилле некуда подняться и появляется тёмный треугольник. Лёгкая сепарация делает эти поверхности чуть более “прямоугольными”, контактная зона удлиняется и опускается, сосочек получает шанс закрыть просвет. Это миллиметры формы, которые решают эстетику.

Элайнеры vs брекеты - есть ли разница в сепарации

Смысл один и тот же, но с элайнерами объём и точки IPR закладывают в цифровом плане заранее и дробят на этапы. С брекетами чаще опираются на клинику по ходу лечения. В обоих случаях работает правило - делаем ровно столько, сколько нужно сейчас, а не «про запас».

Когда сепарация не нужна или противопоказана

  • Активный кариес, плохая гигиена, кровоточащие карманы — сперва лечим и стабилизируем.
  • Сильно истончённая эмаль, выраженные эрозии/абфракции именно в зоне планируемого IPR.
  • Вам нужно много места (не «чуть-чуть»), и по биомеханике разумнее удаление/другая тактика.
  • Не закрываем глаза на пародонт: при активном воспалении, сначала, решаем вопрос воспаления. Только в ремиссии возможно заниматься ортодонтией.

Мифы и факты (коротко, но по делу)

«Сепарация - это спилить ползуба»
Нет. Мы говорим о
0,1–0,25 мм с одной стороны контакта. Это как подпилить ноготь, а не «спилить фалангу».

«После IPR обязательно будет кариес»
Нет, если соблюдён протокол:
полировка + фтор дома + гигиена. Риск не выше, чем при исходном состоянии эмали.

«Можно обойтись без сепарации - просто расширим дугу»
Иногда - сработает. Но зубы могут разойтись веером, это повлияет на профиль лица, на пародонт и стабильность итогового результата.
IPR - щадящая альтернатива там, где «чуть-чуть места» решает всё.

«Я боюсь боли»
Понимаю. Реальность - терпимо, без анестезии. Самое неприятное - завести штрипсу в сверхплотный контакт, но даже это проходит быстро.

Мой вывод после месяца в элайнерах

Жизнь не стала хуже (даже похудеть не вышло - вот за это обидно). План идёт, сепарация выполнена, аттачменты обновлены, капы меняются по графику. Зеркало пока без «вау» и это правильно - мы двигаемся аккуратно, а не «рыбачим лебёдкой». Сепарация для меня - не про «спил», а про контроль формы, места и стабильности.

Если вы стоите на пороге сепарации - не пугайтесь. Это инструмент, который при грамотном плане даёт лучший финиш и меньше компромиссов. А дальше - дисциплина, щётка, нить, и аккуратно с капами.

Всё будет ровно - в прямом и переносном смысле.

-3

Начало моей истории, этапы и много других статей по ортодонтии в подборке:

Ортодонтические варианты | Parodoctor | Дзен

Ответы на вопросы, актуальные истории и новости, наши работы в моём тг канале:

Parodoctor

С уважением, Лежачёва Наталия Александровна, хирург-пародонтолог и главный врач стоматологии Parodent, СПб.