Найти в Дзене
Фельдшер

Neo г. м.?

— Сегодня доктора не будет, поэтому ты вместо врача на врачебной машине, — заявила мне диспетчер утром, когда я пришел на смену. — Какая редкость за врача работать, — съязвил я. — Да ладно язвить! Зато тебе в помощницы Лену дадим! — Ваааауууу!!! — тут уже с неподдельной радостью отреагировал я. — Вот это очень хорошая новость с утра! Спасибо! Работать одному в бригаде не только тяжело, но и скучно. А Лена реанимационная медсестра нашей районной больницы. В реанимации она проработала уже около десяти лет, поэтому работу свою знает и всё умеет. — Ты рад? — спросила Лена, увидев, что я довольно улыбаюсь. — Неимоверно! — Я укладки уже проверила, пополнила. — Ну вот как тут не радоваться? Первый вызов поступил через несколько минут. Всего диалога диспетчера и вызывающего мы, конечно же, не услышали, поскольку диспетчер принимает вызов, надев гарнитуру. — Скорая помощь!... Здравствуйте... Где вы находитесь?... Что случилось?.... Как давно она себя так ведёт?... Почему два дня назад не вызв

— Сегодня доктора не будет, поэтому ты вместо врача на врачебной машине, — заявила мне диспетчер утром, когда я пришел на смену.

— Какая редкость за врача работать, — съязвил я.

— Да ладно язвить! Зато тебе в помощницы Лену дадим!

— Ваааауууу!!! — тут уже с неподдельной радостью отреагировал я. — Вот это очень хорошая новость с утра! Спасибо!

Работать одному в бригаде не только тяжело, но и скучно. А Лена реанимационная медсестра нашей районной больницы. В реанимации она проработала уже около десяти лет, поэтому работу свою знает и всё умеет.

— Ты рад? — спросила Лена, увидев, что я довольно улыбаюсь.

— Неимоверно!

— Я укладки уже проверила, пополнила.

— Ну вот как тут не радоваться?

Первый вызов поступил через несколько минут. Всего диалога диспетчера и вызывающего мы, конечно же, не услышали, поскольку диспетчер принимает вызов, надев гарнитуру.

— Скорая помощь!... Здравствуйте... Где вы находитесь?... Что случилось?.... Как давно она себя так ведёт?... Почему два дня назад не вызвали?... Фамилия, имя, отчество больной...

Скорую вызывал пьяный мужчина, сын больной. Он утверждал, что его мать два дня назад перестала разговаривать, а сегодня он пришел с работы и обнаружил, что она и вовсе перестала кого-либо узнавать.

Мы с Леной молча ждали, кому же выпадет этот вызов.

— Ну и что вы на меня смотрите? — не отвлекаясь от заполнения информации в компьютере, сказала диспетчер. — На вызов! У вас, похоже, инсульт.

Вызов был в частный сектор. Старенький неухоженный домик, покосившийся невысокий забор. Через этот самый заборчик было видно, что во дворе дома был стол, за которым уже в изрядном подпитии восседало несколько алкоголиков непонятного возраста и пола. Когда мы подъехали, то они, увидев скорую, не вставая из-за стола, замахали нам руками.

— Сюда скорую? — спросил водитель, открыв окно.

— Да-да! Сейчас я её выведу! — сказал один из алкоголиков и крикнул в дом:

— Ма! Скорая приехала! Выходи!

— Ну и какой же тут инсульт? — спросил водитель. — Она же сама ходит!

— Всякое может быть, — ответил я.

На вид женщине было около шестидесяти пяти лет. Выглядела она весьма и весьма неопрятно. Грязные и нечёсаные волосы с проседью, немытое дурнопахнущее тело, длинные скрюченные ногти с забившейся под них грязью. Из одежды на ней была только замызганная ночная сорочка, местами проношенная до дыр, и даже обуви не было на её ногах.

— Ну, то, что сама передвигается, это уже хорошо, — отметил я.

Больную усадили в салон Газели, я сел напротив, сын больной с озабоченным видом остался стоять на улице.

— Здравствуйте, — обратился я к больной.

Она посмотрела на меня каким-то уставшим и безэмоциональным взглядом.

— Слышите меня?

Больная промолчала, все также глядя на меня.

— Слышите меня или нет? — повторил я.

Немой унылый взгляд.

— Моргните, если слышите.

Женщина моргнула.

Значит, всё-таки она слышит и понимает, что ей говорят.

— Всё же попробуйте сказать, что вас беспокоит?

Женщина сильно сморщила лицо, прижала одну руку к голове, зажмурила глаза:

— Не-е... мо-огу-у..., — протянула она.

— Что не можете?

— Не-е... мо-огу-у... вы-ыйти-и...

Лицо её побледнело, она тяжело и часто задышала. Видно было, что эти обрывки слов дались ей с неимоверным трудом.

— Откуда ты не можешь выйти, мам? — вмешался сын. — Ты уже вышла. Всё, ты в скорой. Сейчас всё нормально будет!

— Да погоди ты! — перебил я сына. — Не лезь! Ты лучше мне расскажи, давно она такая?

Мне необходимо было собрать анамнез. Но так как больная сама не вступала в адекватный контакт, то, значит, надо опрашивать родственников или свидетелей произошедшего.

— Да, всё нормально было с ней.

— Она пила?

— Нет, — категорично ответил сын. — Она не бухала, отвечаю!

— И всё нормально, говоришь, было два дня назад? Она за собой следила, ухаживала?

— Да, даже жрать нам готовила!

— И ногти за два дня такими стали? — я взял больную за руку и поднёс её кисть к лицу сына

— Му..., — промычал он и замолчал, опустив глаза.

— Что ты мне тут сказки рассказываешь? — вспылил я. — Не уследил за больной матерью, так хоть признай это! А ты же наоборот, даже сейчас, когда она в таком тяжелом состоянии, нагло врёшь!

— Я на работе был..., — он попытался как-то оправдаться, — У нас объект..., стройка там...

Но я его уже не слушал, потому что приступил к тщательному осмотру больной. Информация о шабашке сына-алкоголика сейчас мне была абсолютно ни к чему.

— Посмотрите на меня?

Она подняла на меня глаза.

— Ручку видите? — я поднёс авторучку напротив её глаз. — Следите за ней глазами! Голову не поворачивать!

Мне надо было проверить, есть ли у больной нистагм. Я медленно повел ручку в сторону, но больная так и продолжила смотреть мне в глаза. Я несколько раз попытался сфокусировать её взгляд на ручке, но это было бесполезно. Тогда я резко щелкнул пальцами возле её левого уха. Больная даже не моргнула.

— Возьмите меня за пальцы, — я протянул к ней руки, вытянув указательные пальцы.

Больная с трудом, но всё же перевела взгляд на мои руки, и даже перевернула свои ладони вверх, положив их на колени, но за пальцы меня так и не взяла.

— Мам, делай, что доктор говорит..., — виноватым голосом промямлил сын.

— Она понимает, что от неё хотят, но не может этого выполнить, — сказал я ему. — Скажи всё-таки, как давно у неё такое? Полгода? Год?

Уже на этом этапе осмотра было понятно, что у женщины какое-то явное нарушение в головном мозге. Она слышала, видела, пыталась выполнять команды. Создавалось впечатление, что сигнал от слуховых рецепторов всё же доходил до нервных центров, ответственных за принятие решения, но вот уже путь от них до органов и конечностей был нарушен. На инсульт в чистом виде это не походило, а вот на какую-нибудь опухоль головного мозга, либо на деменцию, которая развивалась на протяжении длительного времени, очень даже.

— Ну..., наверное, с полгода она как-то "моросить" начала..., — ответил сын.

— Бухала? — я перешел на его жаргон, чтоб он меня понимал.

— Ну.., чу-чуть...

— Ясно. Болела чем-то?

— Только давление у неё бывало, таблетки какие-то пила она.

— Сто сорок на девяносто, пульс восемьдесят два, сатурация девяносто семь, — сказала Лена. — Систему собирать?

— Да, Лен, собирай. И ещё сахар измерить надо. А то вдруг она просто "гипону́ла"*? И плёнку протянуть (записать ЭКГ) ещё.

— Вы её заберёте? — спросил сын.

— Да. Ты, я так понимаю, с ней не поедешь?

— Не-е, — ответил он. — Мне некогда!

— Ну конечно! "Поляна остынет", пока ты с нами катаешься! — я кивнул в сторону двора, где за столом сидели его дружки-алкоголики и уже о чем-то горячо спорили, абсолютно не обращая на нас никакого внимания.

— Да не-е. Мне на работу надо... Завтра...

— Документы её давай, — сказал я. — В больнице нужны будут.

— Ага, сейчас. Мам, где твой паспорт лежит?

— Иди ищи! — повысив голос, сказал я. — Вопросы он тут задаёт! Не ответит она тебе при всём желании!

— Сахар пять и семь [5,7 ммоль/л], — сказала Лена.

— Нормальный сахар. Значит, все же нарушение [мозгового кровообращения] или опухоль...

*Гипону́ла — (мед. сленг) глагол, образованный от слова гипогликемия — пониженный уровень сахара в крови. Проявляется гиперемией и повышенной влажностью кожных покровов, неадекватным поведением, в особо сложных случаях развивается грозное осложнение — гипогликемическая кома.

Пока сын бегал в дом, за паспортом, мы сделали электрокардиограмму, но и на ней тоже не было каких-то острых нарушений работы сердца.

Сын вернулся через пару минут с паспортом матери.

— Вот! — протянул он документы и икнул "свежачком".

— Замахну́л, пока бегал? — спросил я, заполняя сопроводительный лист. — Молоде-ец! Шустрый, когда не надо!

— Ну, дак... Не нашел бы, если б не хряпнул! — попытался пошутить он.

— Говори, давай, свой номер телефона!

— Зачем?

— Тебе из больницы позвонят и скажут, что с матерью, и что тебе делать надо.

— А-а.., записывайте тогда...

Предварительный диагноз, который я выставил на нашем этапе, был всё же "ОНМК*. Синдром моторной афазии*, синдром когнитивных нарушений"*. И в конце всё же подписал под вопросом "Neo г. м?"*

Подключив капельницу с препаратами, улучшающими мозговое кровообращение, мы повезли больную в центральную районную больницу соседнего района, потому что ей необходимо было произвести компьютерную томографию, а томограф в нашей ЦРБ не работал уже давно. Доехали без происшествий.

— Ой, это опять вы? — скорчив недовольную физиономию, пренебрежительно проворчала медсестра приемного отделения.

Это была та самая медсестра, что хотела заставить меня брить голову больного, которого мы привезли с ДТП. Зря она нас встретила так негостеприимно, потому что я ещё не остыл от общения с сыном-алкоголиком больной.

— А как я-то рад вас видеть! — натягивая искреннюю улыбку, воскликнул я. — Вы себе представить не можете ввиду слабой фантазии и инфантилизма!

Медсестра возмущённо вдохнула, но, видимо, не найдя, что ответить, только злобно скрипнула зубами.

— Мы на КТ! — не давая ей опомниться, сказал я, закатывая каталку с больной в коридор. — И невролога вызовите, пожалуйста!

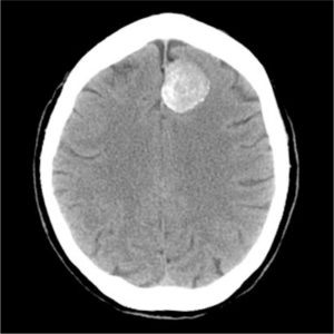
На компьютерной томограмме нашей больной действительно обнаружилось и новообразование в левой лобной доле, и зоны ишемии в других отделах головного мозга, что говорило о том, что оба моих предположительных диагноза оказались верными.

Картинка взята из интернета для представления об опухолевом процессе.
Картинка взята из интернета для представления об опухолевом процессе.

Подошедшая врач-невролог, осмотрев больную, сказала коротко: "Оставляйте". Что значило, что женщину госпитализируют в стационар.

— У неё из родных только сын-алкоголик, — сказал я ей. — На сопроводительном направлении я написал его номер телефона.

— Хорошо, спасибо. Можете ехать.

Мы возвращались на подстанцию.

***

На момент написания этих строк дальнейшая судьба женщины мне неизвестна, но если вдруг я узнаю, то обязательно расскажу вам, дорогие читатели.

Берегите себя, берегите своих близких. Будьте здоровы.

С уважением, фельдшер.

____________

*ОНМК — острое нарушение мозгового кровообращения.
*Моторная афазия — это нарушение речи, при котором человек испытывает трудности в формировании и произношении слов. Оно связано с повреждением речедвигательных центров головного мозга, в частности, зоны Брока, расположенной в лобной доле левого полушария.
*Когнитивные нарушения — расстройства познавательных функций мозга, проявляющиеся снижением способности человека воспринимать и обрабатывать информацию, обучаться, запоминать, принимать решения, сосредотачиваться.
*Neo г. м — имеется ввиду новообразование (опухоль) головного мозга.