Добавить в корзинуПозвонить
Найти в Дзене
Зубная фея

Болит зуб! Но зуб целый..

Болит зуб. Но визуально он целый. Такое не редкость. А все потому, что кариес развивается под поверхностным слоем эмали. Что это значит? Так как эмаль- самая сильная часть зуба, нарушения происходят в ее структуре. Но сам кариес развивается в дентине(следующий слой после эмали). Это значит, что пока кариес не заметен визуально. Как только кариозный процесс станет большим, эмаль не выдержит и провалиться. Так визуально будет видна кариозная полость. Что насчет боли? Как может болеть? Может ли вообще болеть? Жалобы могут и отсутствовать. Но почему? Если жалобы имеются, нужно их дифференцировать. То есть выяснить, на что конкретно реагирует зуб. Такие жалобы, как на сладкое или холодное, на накусывание могут относиться к разным диагнозам. Это может затруднить процесс диагностики стоматологу.

Болит зуб. Но визуально он целый.

Такое не редкость. А все потому, что кариес развивается под поверхностным слоем эмали. Что это значит?

Так как эмаль- самая сильная часть зуба, нарушения происходят в ее структуре. Но сам кариес развивается в дентине(следующий слой после эмали). Это значит, что пока кариес не заметен визуально. Как только кариозный процесс станет большим, эмаль не выдержит и провалиться. Так визуально будет видна кариозная полость.

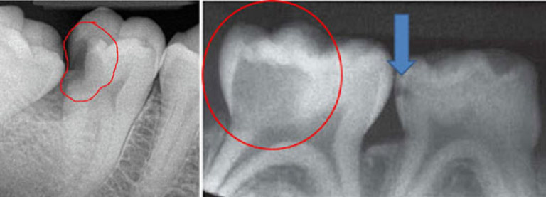
Рис.1 контактные кариозные полости.
Рис.1 контактные кариозные полости.

Что насчет боли? Как может болеть? Может ли вообще болеть?

Жалобы могут и отсутствовать. Но почему?

  • если кариес средний или начальный.
  • хроническая стадия процесса:пульпит, периодонтит.

Если жалобы имеются, нужно их дифференцировать. То есть выяснить, на что конкретно реагирует зуб. Такие жалобы, как на сладкое или холодное, на накусывание могут относиться к разным диагнозам. Это может затруднить процесс диагностики стоматологу.