Найти в Дзене

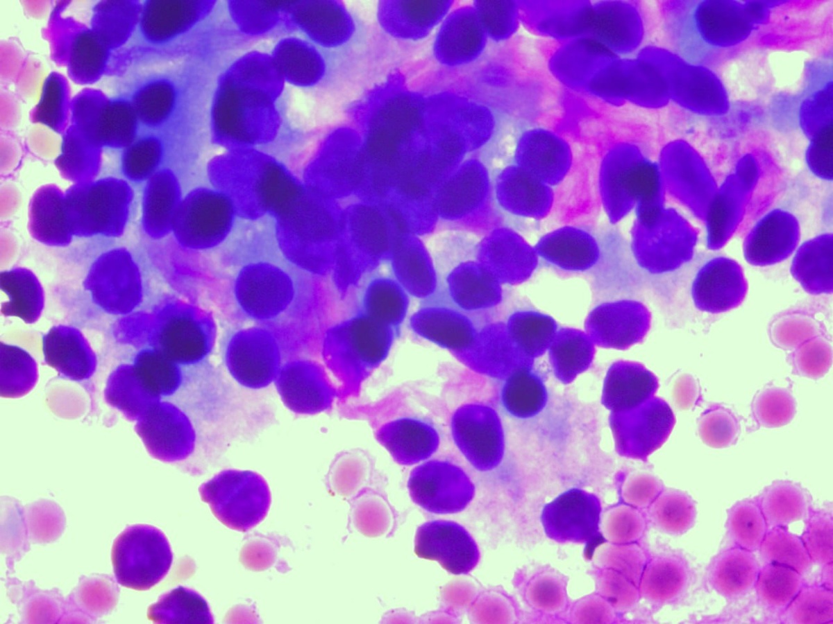
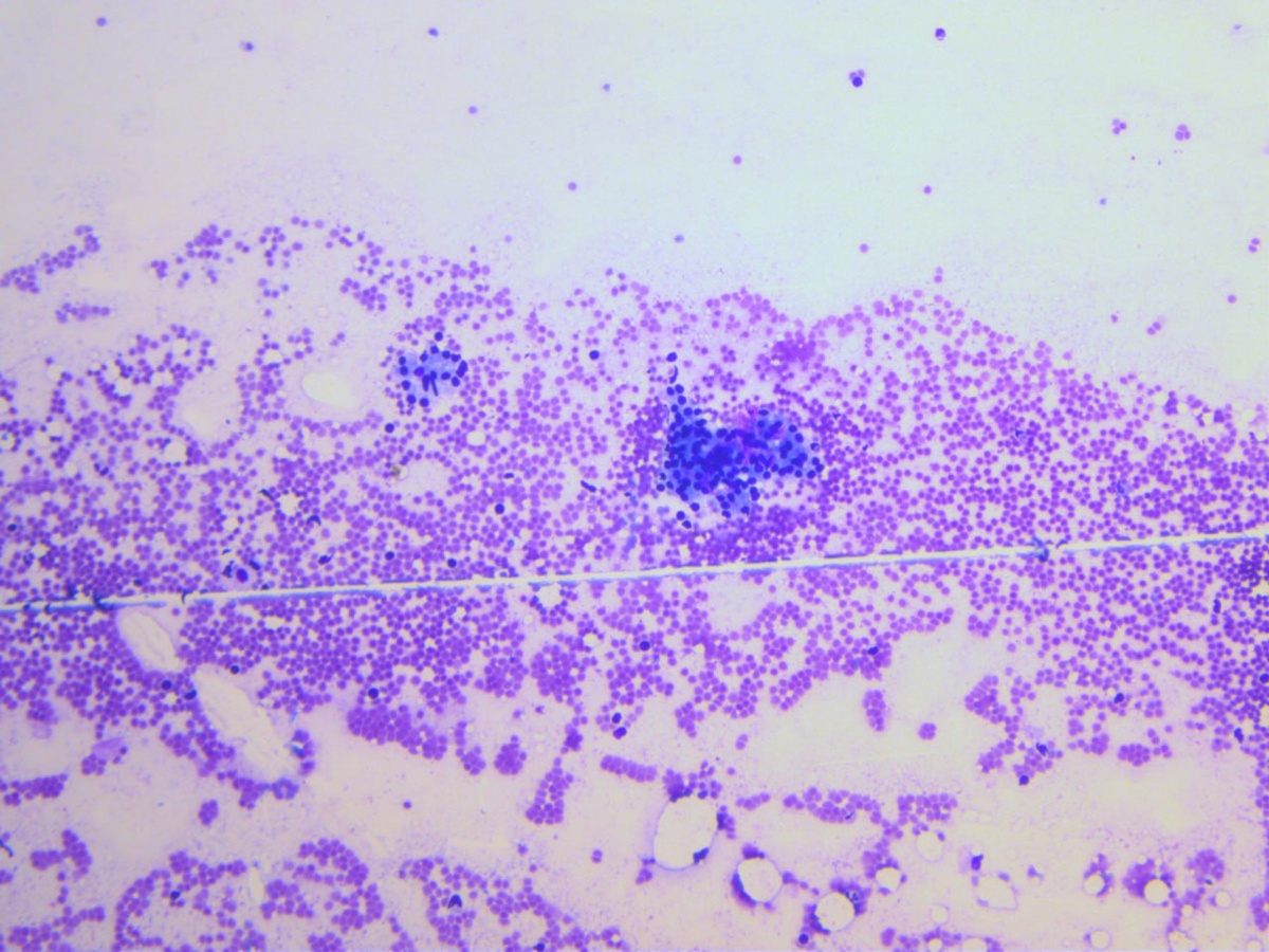
Умеренно дифференцированная аденокарцинома Фатерова сосочка панкреато-билиарного типа

Умеренно дифференцированная аденокарцинома Фатерова сосочка панкреато-билиарного типа. Объективы 10x, 100x. Окрашивание МГГ. #цитология #жкт

Умеренно дифференцированная аденокарцинома Фатерова сосочка панкреато-билиарного типа.

Объективы 10x, 100x. Окрашивание МГГ.

#цитология #жкт

-2
-3