Добавить в корзинуПозвонить
Найти в Дзене

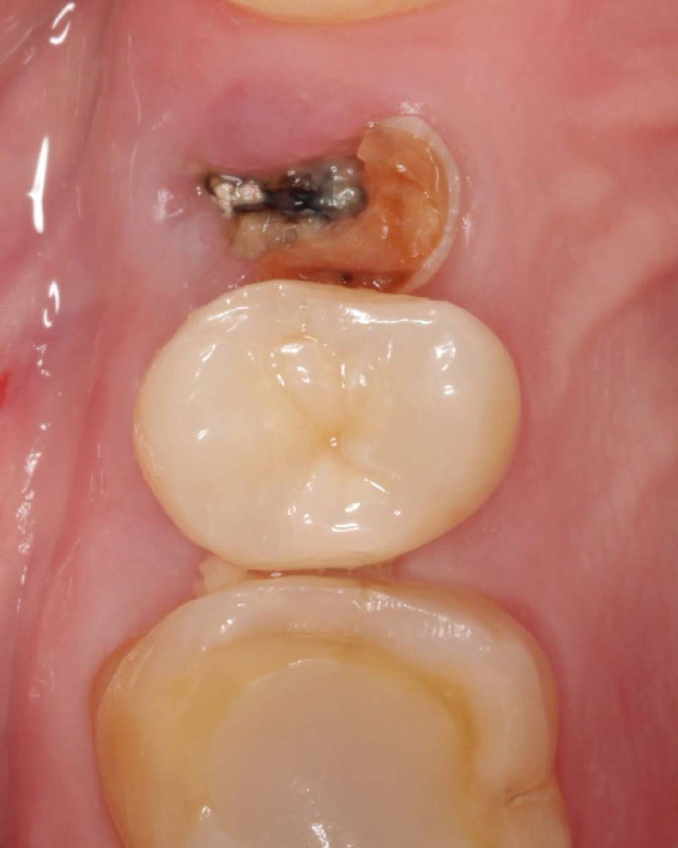
Клинический случай от Дмитрия Николаева @d_nicolaev

Клинический случай от Дмитрия Николаева @d_nicolaev До/После Работа выполнена за одно посещение: лечение пульпита с последующей прямой реставрацией. Препарирование каналов выполнено инструментами T flex (Eurofile). Основной канал отпрепарирован на всю длину до 35/02, второй - до точки схождения, ограничился 15/06. Для активации гипохлорита натрия использовал сочетание звукового активатора (Dialog) и ультразвука (Irri, Acteon). Обтурация - в гибридной технике с эпоксидным силером (АН plus). Прямая реставрация использовал адгезивную систему Prime&Bond Universal (DentsplySirona) в технике тотального травления. Композиты - Estelite bulk-fill (Tokuyama), NeoSpectra A3 (DentsplySirona), Asteria WE (Tokuyama). На контрольном снимке обратите внимание на низкую рентгеноконтрастность Estelite bulk-fill - из него выполнено ядро зуба, по неопытности можно ошибиться и принять его за очень неглубоко поставленный СВШ. После завершения работы, пациентка пересела в кресло хирурга для консультации и пла

Клинический случай от Дмитрия Николаева @d_nicolaev

До/После

Работа выполнена за одно посещение: лечение пульпита с последующей прямой реставрацией.

Препарирование каналов выполнено инструментами T flex

(Eurofile). Основной канал отпрепарирован на всю длину до 35/02, второй - до точки схождения, ограничился 15/06. Для активации гипохлорита натрия использовал сочетание звукового активатора (Dialog) и ультразвука (Irri, Acteon).

Обтурация - в гибридной технике с эпоксидным силером (АН

plus).

Прямая реставрация использовал адгезивную систему

Prime&Bond Universal (DentsplySirona) в технике тотального

травления. Композиты - Estelite bulk-fill (Tokuyama),

NeoSpectra A3 (DentsplySirona), Asteria WE (Tokuyama).

На контрольном снимке обратите внимание на низкую рентгеноконтрастность Estelite bulk-fill - из него выполнено ядро зуба, по неопытности можно ошибиться и принять его за очень неглубоко поставленный СВШ.

После завершения работы, пациентка пересела в кресло хирурга для консультации и планирования удаления зуба 24 с последующей имплантацией.

-2
-3
-4
-5
-6
-7
-8
-9
-10