Добавить в корзинуПозвонить
Найти в Дзене
Ильинская больница

Жалоба: трудности прохождения твердой пищи и жидкости

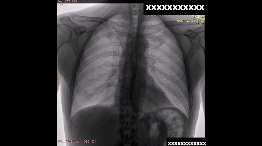
В отделение экстренной помощи обратился пациент с жалобами на трудности прохождения твердой пищи и жидкости. Накануне вечером проглотил непережеванный кусок люля-кебаб, после чего и появились трудности с приемом пищи. Заподозрено наличие инородного тела в пищеводе. Выполнена компьютерная томография, однако инородного тела не обнаружено. Принято решение о проведении рентгеноскопии с глотком водорастворимого контраста. На исследовании видно, что пищевод не расширен, дефектов наполнения нет. Перистальтика живая, однако эвакуация из пищевода замедлена. Клиническая ситуация расценена как эзофагоспазм, начата консервативная терапия (ингибиторы протонной помпы, спазмолитики и нитраты) и запланировано проведение эзофагогастроскопии (ЭГДС) на следующий день. На фоне консервативной терапии пациент отметил значительное улучшение, беспрепятственно начал пить. При выполнении ЭГДС диагностирована комбинация изменений, характерных для эозинофильного эзофагита (см. рисунок) и формирующейся компенсиро

В отделение экстренной помощи обратился пациент с жалобами на трудности прохождения твердой пищи и жидкости. Накануне вечером проглотил непережеванный кусок люля-кебаб, после чего и появились трудности с приемом пищи.

Заподозрено наличие инородного тела в пищеводе. Выполнена компьютерная томография, однако инородного тела не обнаружено. Принято решение о проведении рентгеноскопии с глотком водорастворимого контраста.

На исследовании видно, что пищевод не расширен, дефектов наполнения нет. Перистальтика живая, однако эвакуация из пищевода замедлена. Клиническая ситуация расценена как эзофагоспазм, начата консервативная терапия (ингибиторы протонной помпы, спазмолитики и нитраты) и запланировано проведение эзофагогастроскопии (ЭГДС) на следующий день. На фоне консервативной терапии пациент отметил значительное улучшение, беспрепятственно начал пить.

При выполнении ЭГДС диагностирована комбинация изменений, характерных для эозинофильного эзофагита (см. рисунок) и формирующейся компенсированной пептической стриктуры в области пищеводно-желудочного перехода. Выполнена мультифокальная и таргетная биопсия из подозрительных участков.

-2

Пациент выписан с клиническим улучшением и наблюдением у гастроэнтеролога.

Автор: анестезиолог-реаниматолог, заведующий отделением экстренной помощи Эзугбая Бека Сосоевич.