Добавить в корзинуПозвонить
Найти в Дзене

Когда не нужно удалять инородное тело из пищеварительного тракта

На прошлой неделе в отделение экстренной помощи Ильинской больницы обратился пациент, который за час до поступления проглотил инородное тело — зубной имплантат со штифтом во время еды. При поступлении сразу была выполнена КТ органов грудной клетки и брюшной полости: имплантат уже находился в пилорическом отделе желудка и не вызывал симптомов. В данном случае была выбрана выжидательная тактика, поскольку проглоченное инородное тело обладало следующими характеристиками: Через 6 суток после поступления инородное тело самостоятельно вышло естественным путём, пациент чувствовал себя удовлетворительно. Важно помнить, что данные критерии не применимы к магнитам и батарейкам, которые требуют немедленного эндоскопического удаления!
Оглавление

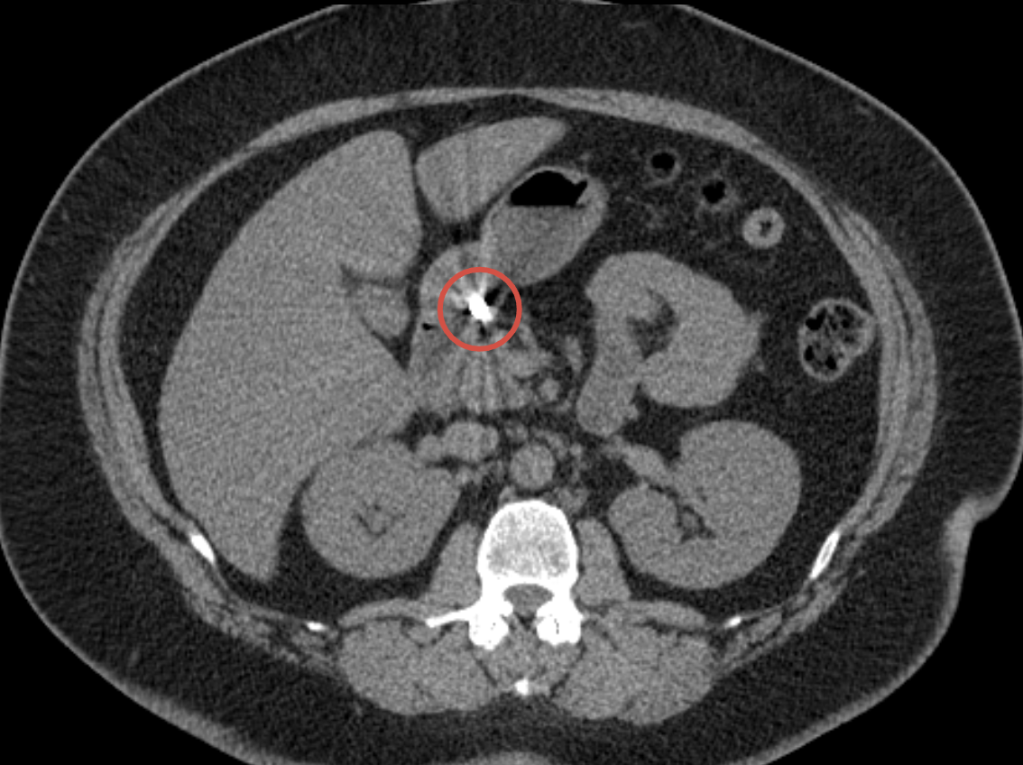
На прошлой неделе в отделение экстренной помощи Ильинской больницы обратился пациент, который за час до поступления проглотил инородное тело — зубной имплантат со штифтом во время еды.

При поступлении сразу была выполнена КТ органов грудной клетки и брюшной полости: имплантат уже находился в пилорическом отделе желудка и не вызывал симптомов.

В данном случае была выбрана выжидательная тактика, поскольку проглоченное инородное тело обладало следующими характеристиками:

  • не имело острых контуров;
  • не превышало 2,5 см в диаметре;
  • не превышало 5 см в длину.

Через 6 суток после поступления инородное тело самостоятельно вышло естественным путём, пациент чувствовал себя удовлетворительно.

Что важно знать

  • В большинстве случаев гладкие и небольшие предметы выходят самостоятельно.
  • Если после проглатывания появляются сильные боли в животе, рвота, кровь в стуле или высокая температура, нужно срочно обратиться к врачу.

Важно помнить, что данные критерии не применимы к магнитам и батарейкам, которые требуют немедленного эндоскопического удаления!

Иллюстрации к случаю:

  1. КТ органов брюшной полости в день поступления — инородное тело в желудке.
  2. Рентген органов брюшной полости через сутки — инородное тело в правой подвздошной кишке.
  3. Рентген органов брюшной полости через 6 суток — инородное тело не визуализируется.
-2
-3

Автор: анестезиолог-реаниматолог Эзугбая Бека Сосоевич.